- 为什么拔下颌4颗牙? 主要目的是获得足够的间隙,用于:
- 解除严重拥挤: 当下颌牙弓空间严重不足,牙齿排列不齐、重叠、扭转时,拔除4颗前磨牙(通常是对称的左右侧各拔除第一和第二前磨牙)可以提供大量间隙,让所有牙齿排列整齐。
- 纠正前牙前突(龅牙): 对于下颌前牙过于前突(Bimaxillary Protrusion 或下颌前突)的病例,拔除下颌4颗牙并配合上颌拔牙(通常是上颌第一前磨牙)或非拔牙治疗,可以整体内收上下颌前牙,改善侧貌突度。
- 改善咬合关系: 拔牙有助于建立更稳定、更协调的尖牙引导和咬合接触,改善咀嚼功能。
- 调整牙弓形态: 有助于建立更协调的上下颌牙弓形态和宽度匹配。
- 拔哪几颗? 最常见的是拔除下颌第一前磨牙(下颌4号牙)和第二前磨牙(下颌5号牙),通常是对称拔除(左右侧各拔除一颗4号和一颗5号),这4颗牙位于牙弓中段,拔除后提供的间隙相对均衡,对牙弓形态影响相对可控。
- 风险与考量: 拔牙是重大决策,需要正畸医生严格评估适应症,权衡利弊,需要考虑面型变化(通常内收前牙会改善突面型,但过度内收可能显“瘪”)、关节健康、长期稳定性等,专业医生会通过模型、X光片(头影测量)、照片等综合分析。
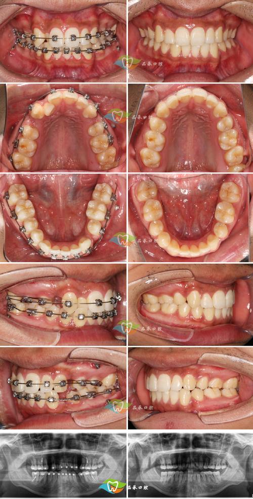
典型病例展示:正畸拔除下颌4颗前磨牙(4号、5号牙)

患者信息: (为保护隐私,使用化名) 小李,男,16岁 主诉: 下牙拥挤不齐,感觉“地包天”(实际是下颌前牙前突,非真性反颌),希望改善。 初始检查:
- 口内照:
- 下颌牙列: 严重的牙列拥挤,下颌前牙(尤其是中切牙)明显前突、扭转、重叠,下颌第一磨牙为中性关系。
- 上颌牙列: 上颌前牙也稍显前突,牙列轻度拥挤。
- 咬合: 前牙深覆盖(上切牙盖过下切牙较多),前牙深覆合(上切牙盖过下切牙垂直距离大),下颌尖牙咬在上颌第一前磨牙颊尖的远中,存在部分Ⅱ类磨牙关系(下颌第一磨牙近中颊尖咬在上颌第一磨牙的近中颊沟)。
- 中线: 上下颌中线基本一致。
- 面部照片:
- 正面:面型偏长,下唇前突,颏部形态尚可。
- 侧面:典型的凸面型,鼻唇颏关系不协调,上唇及下唇均前突,颏部后缩感明显。
- X光片(全景片 & 头颅侧位片):
- 全景片: 下颌牙弓严重拥挤,下颌智齿已萌出或近中阻生,牙根形态良好。
- 头颅侧位片:
- SNA角(上颌位置)正常。
- SNB角(下颌位置)正常或稍大。
- ANB角(上下颌关系)偏小(接近0度或负值),提示上下颌骨关系协调,但前牙前突明显。
- U1-NA, L1-NB(上下切牙突度)均过大,表明上下颌前牙均前突。
- FMIA(下颌中切牙与下颌平面的角度)过小,提示下颌切牙过于直立或舌倾。
- IMPA(下颌中切牙与下颌平面的角度)过大,提示下颌切牙唇倾(前突)。
- Overjet(覆盖)和 Overbite(覆合)均过大。
- 模型分析: 下颌牙弓拥挤度约 10-12mm, Bolton指数分析显示下颌牙量相对上颌偏大。
诊断:
- 安氏Ⅱ类错颌(Angle Class II Division 1):磨牙关系为中性或轻度Ⅱ类,前牙深覆盖、深覆合。
- 骨性Ⅰ类:上下颌骨关系基本协调。
- 牙列拥挤: 上颌轻度拥挤,下颌重度拥挤。
- 双颌前牙前突(Bimaxillary Protrusion):上下颌前牙均明显前突。
- 高角或均角型面型(根据头影测量具体判断)。
治疗方案:
- 拔牙模式: 拔除下颌第一前磨牙(34, 44)和第二前磨牙(35, 45),共拔除下颌4颗前磨牙。
- 上颌拔牙模式: 拔除上颌第一前磨牙(14, 24),共拔除上颌2颗前磨牙。
- 矫治器: 直丝弓矫治器(如 Damon Q, SmartClip, Victory Series 等)。
- 治疗目标:
- 解除上下颌牙列拥挤,排列整齐。
- 内收上下颌前牙,改善前突面型,减少覆盖和覆合。
- 建立稳定的尖牙引导和磨牙中性关系。
- 协调上下颌牙量(Bolton指数)。
- 改善面部美观,尤其是侧貌突度。
治疗过程展示:

拔牙前准备 (T0 - 拔牙前)
- 照片: 展示初始的口内照(上下颌拥挤、前突)和面部照(凸面型)。
- X光片: 展示初始全景片和头颅侧位片,标记计划拔除的牙齿(下颌34, 35, 44, 45;上颌14, 24)。
- 模型: 展示初始模型,测量拥挤度。
拔牙后矫治开始 (T1 - 拔牙后1-2个月)
- 照片: 展示拔牙创口愈合良好,粘接矫治器后的口内照,可见拔牙间隙(下颌第一、二前磨牙拔除处)。
- 目的: 排齐整平上下颌牙弓,关闭拔牙间隙前的准备。
排齐整平与间隙关闭 (T2 - 治疗中期)
- 照片:
- 口内照: 上下颌牙齿逐渐排齐,扭转、倾斜的牙齿被纠正,拔牙间隙开始缩小(下颌)。
- X光片: 可见牙齿在牙槽骨中移动的轨迹,牙根平行度改善。
- 目的: 利用拔牙间隙和少量磨牙前移,彻底排齐整平牙弓,开始内收前牙,关闭拔牙间隙。
精细调整与咬合建立 (T3 - 接近结束)

- 照片:
- 口内照: 牙齿排列整齐,上下颌中线对齐,下颌拔牙间隙完全关闭,前牙覆盖、覆合显著减小,达到正常范围,尖牙建立稳定引导,磨牙达到中性关系。
- 面部照: 侧貌明显改善,鼻唇颏关系协调,下唇不再前突,颏部形态显现,面部轮廓更柔和。
- 目的: 进行精细的牙位调整,确保所有牙齿达到理想位置,咬接触广泛、稳定、无创伤。
保持器佩戴 (T4 - 保持期开始)
- 照片:
- 口内照: 拆除矫治器后,佩戴保持器(通常为上颌 Hawley 保持器 + 下颌透明压膜保持器或舌侧丝保持器),牙齿排列整齐,咬合关系良好。
- 面部照: 治疗后面型稳定美观。
- X光片: 保持期复查,牙根位置稳定,牙槽骨改建良好。
- 目的: 维持治疗效果,防止复发。
最终效果展示 (T4 - 保持期稳定后)
- 口内照对比 (初始 vs :
- 下颌: 从严重拥挤、前突、扭转变为排列整齐、整齐的牙弓,前牙位置内收,覆盖覆合正常。
- 上颌: 从轻度拥挤、前突变为排列整齐,前牙位置内收。
- 咬合: 建立了稳定的尖牙引导和磨牙中性关系,咬合广泛接触。
- 面部照对比 (初始 vs :
- 侧面: 凸面型得到显著改善,鼻唇颏关系协调,侧貌轮廓更佳,面部比例更和谐。
- 正面: 面部对称性良好,笑容更自然美观。
- X光片对比 (头颅侧位片):
- 上下颌切牙突度(U1-NA, L1-NB)显著减小,位置更直立。
- 覆盖(Overjet)和覆合(Overbite)恢复正常。
- 面部软组织轮廓改善,鼻唇颏角更协调。
- 模型对比: 上下颌模型排列整齐, Bolton指数匹配良好。
总结与关键点:
- 拔牙是手段,不是目的: 拔下颌4颗牙是为了解决严重的空间不足(拥挤)和/或前牙前突问题,最终目标是获得健康、稳定、美观的咬合和面型。
- 专业评估至关重要: 是否需要拔牙、拔哪几颗牙、如何设计治疗方案,都需要经验丰富的正畸医生通过全面检查(模型、X光、照片、功能分析等)和精确测量(头影测量)来决定。切勿自行判断或要求拔牙。
- 效果显著: 在适应症选择正确、方案设计合理、操作精细的情况下,拔下颌4颗牙(通常配合上颌拔牙)能非常有效地解决严重拥挤和双颌前突问题,显著改善咬合功能和面部美观,特别是侧貌。
- 保持是关键: 治疗结束后必须严格佩戴保持器足够长的时间(通常建议至少2年,甚至更久),以防止牙齿复发回原来的位置。
- 沟通与合作: 治疗前与患者及家属充分沟通拔牙的必要性、预期效果、风险和保持要求,取得理解与合作,是治疗成功的重要保障。
这个病例展示了拔除下颌4颗前磨牙在解决复杂错颌畸形(特别是下颌严重拥挤和前突)中的核心作用和良好效果,实际病例千差万别,但基本原理和流程是相通的,如果你有具体的病例想讨论,可以提供更多信息(当然要注意隐私保护)。
