牙槽骨突出通常不影响种植牙的可能性,甚至有时反而有利于种植,但这绝对不是绝对的,最终能否种牙需要由专业口腔种植医生进行详细评估后才能确定。
以下是关键点的详细分析:

🦷 1. 牙槽骨突出的原因(很重要!)
- 先天发育: 有些人天生牙槽骨就比普通人突出。
- 后天因素:
- 长期缺牙未修复: 缺牙后,没有牙齿的刺激,牙槽骨会逐渐吸收萎缩,但如果吸收不均匀,或者局部咬合力异常,反而可能在某些区域形成骨刺或骨隆突。
- 长期不良咬合习惯: 如夜磨牙、紧咬牙等,可能导致局部牙槽骨受力过大而增生突出。
- 炎症刺激: 长期的牙周炎或根尖周炎,可能导致局部牙槽骨破坏后异常增生。
- 假牙刺激: 长期佩戴不合适的活动假牙基托,可能压迫牙槽嵴导致增生。
- 肿瘤或囊肿: 虽然少见,但某些牙源性囊肿或肿瘤也可能导致骨膨隆。
🦷 2. 牙槽骨突出对种植牙的影响(关键评估点)
- 骨量评估:
- 有利面: 如果突出的部分意味着该区域骨量充足甚至过多,那么对于种植体植入来说是非常有利的!种植体需要足够高度和宽度的骨来获得初期稳定性和长期支持,突出的骨量可能意味着不需要额外植骨就能满足种植要求。
- 不利面: 突出本身通常不是问题,但需要评估:
- 突出的形态和位置: 突出的骨是否正好在理想的种植位置上?它会不会影响种植体的角度或方向?会不会压迫下牙槽神经管(下颌后牙区)或上颌窦(上颌后牙区)?📏
- 骨的质量: 突出的骨是致密坚硬的,还是相对疏松的?骨密度对种植体的初期稳定性和长期成功至关重要。
- 周围软组织: 突出的骨是否会导致牙龈形态异常,影响美观或清洁?种植体周围需要足够的健康牙龈组织包裹。
- 美观和功能:
- 如果突出的骨位于前牙区,可能会影响最终修复体的美观(比如牙龈形态不自然),可能需要在种植前或种植后进行修整。
- 如果突出的骨导致咬合干扰,也可能需要处理。
- 手术难度:
有时突出的骨可能会增加手术操作的难度,或者需要更精确的术前设计和手术技巧。
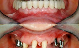
🦷 3. 常见的处理方案
- 无需特殊处理,直接种植: 如果突出的骨量充足、位置理想、骨质量良好、不影响美观和功能,那么医生可以直接在突出的骨上进行种植手术,这种情况反而是优势。
- 骨修整术: 这是最常见的情况之一。 如果突出的骨:
- 影响了种植体的理想植入位置或角度。
- 压迫重要的解剖结构(如神经管、上颌窦)。
- 导致牙龈形态不佳,影响美观。
- 形成尖锐的骨刺,可能压迫软组织或影响假牙佩戴。 医生会在种植手术前或种植手术的同时,进行牙槽骨修整术,使用专门的钻头或骨凿,将突出的部分磨平或削去,创造一个适合种植体植入和最终修复的、形态良好的牙槽嵴顶。⚒️ 这通常是一个相对简单的小手术。
- 结合其他治疗: 如果突出的骨伴随有严重的骨量不足(虽然少见,但可能存在其他区域的吸收),或者有炎症、囊肿等问题,则可能需要先处理这些基础问题(如治疗炎症、刮除囊肿),再评估是否需要植骨或进行骨修整。
🦷 4. 决定能否种牙的关键步骤
全面口腔检查: 医生会检查你的口腔整体状况,包括牙齿、牙龈、咬合等。 影像学评估(至关重要):
- 全景片(曲面断层片): 初步了解全口牙槽骨的大致情况、神经管位置、上颌窦情况。
- 锥形束CT(CBCT): 这是评估种植区域骨量和骨质的金标准! CBCT能提供三维立体图像,精确测量牙槽骨的高度、宽度、骨密度,清晰显示突出的骨形态、位置、与重要解剖结构(神经、血管、上颌窦)的距离,医生可以在电脑上进行模拟种植,评估可行性、制定最佳方案。 模型分析: 取研究模型,辅助设计和评估修复方案。 全身健康状况评估: 了解是否有糖尿病、骨质疏松、长期服用抗凝药物等可能影响种植愈合的全身性疾病。
- 牙槽骨突出本身通常不是种植牙的禁忌症。 相反,它可能意味着该区域骨量充足,对种植有利。
- 核心在于评估: 是否能种牙,取决于突出的骨量、质、形态、位置是否满足种植体的要求,以及是否影响美观、功能和重要解剖结构。
- 骨修整是常见处理: 如果突出的骨对种植或修复有不利影响,医生通常会建议在种植前进行简单的牙槽骨修整术来改善形态。
- 专业评估是前提: 必须由经验丰富的口腔种植医生进行详细检查(尤其是CBCT评估)后,才能给出个体化的、准确的判断和治疗方案。
如果你有牙槽骨突出的情况并想了解是否能种牙,最直接有效的方法是预约一位专业的口腔种植医生进行面诊和影像学检查。 医生会根据你的具体情况,告诉你是否可以种牙,以及需要采取哪些步骤(包括是否需要骨修整)来确保种植成功,不要因为“突出”而担心,现代口腔种植技术有很多方法可以处理这种情况。💪🏻

