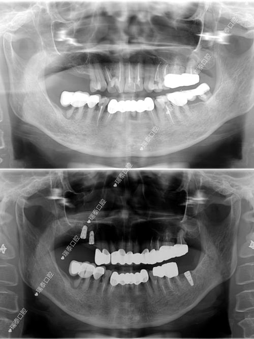
是的,绝大多数情况下,种植牙本身(种植体)是可以安全进行核磁共振(MRI)检查的。 关键在于种植牙的牙冠部分使用的材料。
以下是详细解释:

🦷 1. 种植体(植入牙槽骨的部分)
- 材料: 绝大多数现代种植体采用纯钛或钛合金制成。
- 磁性: 钛是弱顺磁性或无磁性的,这意味着在强磁场中,它不会像铁磁性物质(如铁)那样被强烈吸引或产生大量热量。
- 安全性: 钛种植体在MRI检查中非常安全,不会因磁场产生位移或发热风险。
- 伪影: 虽然钛种植体本身不会产生大量伪影,但它仍然会在MRI图像上产生一定程度的伪影(图像变形或信号缺失),尤其是在种植体周围,伪影的大小和范围取决于种植体的尺寸、形状、位置以及MRI的场强和序列,这可能会影响对种植体周围骨组织或邻近结构的清晰观察,但通常不会导致检查无法进行。
🦷 2. 牙冠(暴露在口腔中的可见部分)
- 材料: 这是影响MRI安全性和图像质量的关键因素,牙冠材料多种多样:
- 全瓷牙冠: 最佳选择,陶瓷(如氧化锆、二硅酸锂玻璃陶瓷等)是无磁性的,在MRI检查中极其安全,不会产生伪影或发热,这是最推荐用于需要频繁或进行MRI检查患者的材料。
- 金属烤瓷牙冠: 内层是金属(如贵金属金合金、钴铬合金、镍铬合金等),外层覆盖陶瓷。
- 贵金属(金合金): 通常弱磁性或无磁性,在MRI中相对安全,伪影较小,发热风险极低。
- 非贵金属(钴铬、镍铬合金): 具有铁磁性,这些金属在强磁场中:
- 产生显著伪影: 会导致严重的图像变形和信号丢失,可能完全掩盖种植体周围及邻近重要结构(如神经、血管、其他牙齿),严重影响诊断准确性。
- 存在发热风险: 在特定MRI序列(如梯度场切换)下,金属可能因感应电流而产生热量,有灼伤口腔软组织(如牙龈、舌头)的风险,虽然现代种植牙设计会尽量减少这种风险,但风险依然存在。
- 全金属牙冠: 较少见,但如果是铁磁性金属(如普通钢),则绝对不适合进行MRI检查,风险很高。
📌 总结与建议
- 种植体本身(钛)是安全的: 你不必担心种植体本身会在MRI中被吸走或过热。
- 牙冠材料是关键:
- 如果你的牙冠是全瓷的, 那么进行MRI检查完全没有问题,安全性最高,伪影最小。
- 如果你的牙冠是金属烤瓷的:
- 贵金属(金合金): 相对安全,但仍可能产生一定伪影,检查前务必告知放射科医生你有这种牙冠。
- 非贵金属(钴铬、镍铬等铁磁性合金): 存在伪影干扰和潜在发热风险,检查前必须详细告知放射科医生你有这种牙冠,医生会评估风险,可能需要调整检查方案(如选择特定序列、避免某些部位扫描),或者在极端情况下(如检查种植体周围或邻近关键结构时),建议更换为全瓷牙冠后再做MRI。
- 如果你的牙冠是全金属且含铁磁性物质: 风险较高,应避免进行MRI检查,或与医生充分沟通评估风险。
- 务必告知医生: 无论你种植牙的牙冠是什么材料,在进行MRI检查前,都必须明确告知放射科医生你有种植牙,并尽可能提供牙冠的材料信息(可以咨询你的种植医生),这是为了安全起见,也是为了确保MRI图像质量。
- 伪影问题: 即使是钛种植体和全瓷牙冠,种植体区域仍可能产生伪影,如果检查目的正是要观察种植体周围情况(如评估骨结合),医生会了解并接受这种伪影的存在,如果检查的是远离种植体的部位,伪影影响通常很小。
可以。 种植牙的钛种植体本身在MRI检查中是安全的。最大的风险和影响来自牙冠部分:
- 全瓷牙冠:安全,首选。
- 贵金属烤瓷牙冠:相对安全,可能有轻微伪影。
- 非贵金属(铁磁性)烤瓷牙冠:有伪影干扰和潜在发热风险,检查前必须告知医生并评估。
- 铁磁性全金属牙冠:风险较高,应避免或严格评估。
最稳妥的做法是:
- 在做MRI前,咨询你的种植医生,确认你的牙冠具体是什么材料。
- 在进行MRI检查时,务必如实告知放射科技术人员你有种植牙,并说明牙冠材料(如果知道的话)。
这样,医生才能根据具体情况做出最安全的判断和安排。💪🏻

