正畸带环(通常称为带环粘接或带环固定)是固定矫治器(如方丝弓矫治器、直丝弓矫治器)安装过程中的关键第一步,它主要将金属带环固定在第一恒磨牙(通常是上下颌的6号牙)上,作为整个矫治器的强有力支抗,并为后续的颊管、舌侧管等附件提供附着基础。
以下是正畸带环固定的详细方法和步骤:

📍 一、 准备工作
-
选择合适尺寸的带环:
- 医生会使用带环选择器或预成带环试戴,选择与患者第一磨牙最匹配的尺寸。
- 标准尺寸通常分为不同号数(如:10, 11, 12, 13, 14, 15等),医生会根据牙齿大小、形态和牙弓位置选择。
- 目标是带环紧密贴合牙齿颈部(牙龈边缘上方),既不能太松(易脱落、刺激牙龈),也不能太紧(压迫牙龈、疼痛)。
-
牙齿清洁与隔湿:
- 彻底清洁目标牙齿(第一磨牙)的表面,去除牙菌斑和软垢。
- 使用橡皮障或棉卷、吸唾器进行严格隔湿,唾液和血液会严重影响粘接材料的粘接力,导致带环脱落,这是成功粘接的关键环节。
-
酸蚀:
- 使用磷酸酸蚀剂(通常是30%-37%的磷酸凝胶或液体)涂布在带环将要粘接的牙齿表面(主要是颊面和舌面,避开咬合面和接触点)。
- 酸蚀时间通常为15-30秒(具体时间遵照厂家说明或医生经验)。
- 酸蚀的目的是使牙齿表面脱矿,形成微孔结构,增加表面积,从而显著增强粘接剂与牙齿的结合力。
- 酸蚀完成后,用大量水气枪或三用枪彻底冲洗干净酸蚀剂,并彻底干燥,干燥后的酸蚀表面应呈现均匀的白色或灰白色,这表示酸蚀成功。
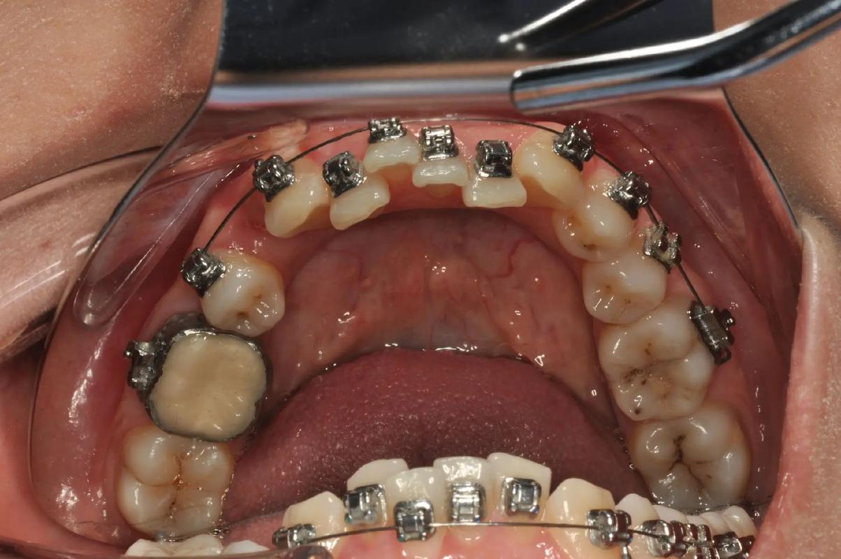
📍 二、 带环试戴与调整
-
试戴:
(图片来源网络,侵删)- 将选好的带环套在目标牙齿上,检查其就位情况。
- 检查要点:
- 就位度: 带环是否能顺利滑向牙齿颈部,到达最终位置?
- 密合度: 带环边缘是否与牙齿颈部紧密贴合?有无明显缝隙?
- 位置: 带环是否位于牙齿中央?有无颊舌向或近远中向的扭转?
- 咬合: 带环是否干扰咬合?是否导致早接触?
- 牙龈刺激: 带环边缘是否压迫或刺激牙龈?边缘是否光滑?
-
调整(如果需要):
- 如果带环不合适(太紧、就位困难、边缘不贴合、刺激牙龈、干扰咬合),医生会进行相应调整:
- 调改边缘: 使用带环钳或长柄砂石轻轻修整带环边缘,使其更贴合牙齿形态,去除尖锐点。
- 扩大或缩小带环: 使用带环成形器或带环钳轻微调整带环的弧度,使其更贴合牙弓形态和牙齿大小。
- 重新选择尺寸: 如果调整后仍不理想,需更换其他尺寸的带环重新试戴。
- 调整过程需轻柔,避免过度变形导致带环报废或尺寸改变过大。
- 如果带环不合适(太紧、就位困难、边缘不贴合、刺激牙龈、干扰咬合),医生会进行相应调整:
📍 三、 粘接
-
涂布粘接剂:
- 在干燥的酸蚀牙齿表面(带环内部粘接面)均匀涂布一层粘接剂,常用的粘接剂是玻璃离子水门汀或树脂改性玻璃离子水门汀,它们具有良好的粘接性、氟释放性和生物相容性。
- 有些医生也可能使用树脂粘接剂(如复合树脂),但玻璃离子类因操作相对简便、氟释放等优点在带环粘接中更常用。
-
带环就位:
- 将涂好粘接剂的带环,对准目标牙齿,稳定、垂直、轻柔地将其推压至最终就位位置(牙齿颈部)。
- 用带环推压器或手指施加持续、均匀的压力,确保粘接剂均匀分布,带环完全就位,避免在带环就位后移动它,否则会破坏粘接。
-
去除多余粘接剂:
(图片来源网络,侵删)- 在带环就位的同时或之后,立即用探针、雕刻刀或洁治器仔细去除从带环边缘溢出的多余粘接剂。
- 确保牙齿与带环的接触点(邻间隙)没有粘接剂残留,否则会导致食物嵌塞、压迫牙龈甚至龋坏。
- 检查并清理带环内部的粘接剂,避免影响后续附件的安装。
-
固化(针对树脂类粘接剂):
- 如果使用的是树脂粘接剂,需要在带环就位后,使用光固化灯对粘接剂进行光照固化,通常需要从多个角度(颊、舌、𬌗面)照射足够的时间(通常20-40秒/面),确保树脂完全固化。
- 玻璃离子类粘接剂通常是化学固化,不需要光照,但需要保持压力直到其初步固化(通常几分钟内)。
📍 四、 检查与确认
-
再次检查:
- 粘接完成后,医生会再次全面检查:
- 固位情况: 带环是否牢固?有无松动?
- 边缘适合性: 带环边缘与牙齿是否密合?有无悬突?
- 牙龈状况: 带环边缘是否压迫牙龈?有无红肿、出血?
- 咬合关系: 带环是否干扰咬合?是否导致早接触或咬合创伤?
- 口腔卫生: 邻间隙和边缘是否清洁无残留粘接剂?
- 整体位置: 带环在牙弓中的位置是否正确?
- 粘接完成后,医生会再次全面检查:
-
患者反馈:
- 询问患者有无疼痛、明显不适或异物感(轻微酸胀是正常的)。
📍 五、 术后注意事项(患者须知)
- 避免啃咬硬物: 带环虽然坚固,但用力啃咬硬壳坚果、骨头、螃蟹壳等仍可能导致带环变形或脱落。
- 注意口腔卫生: 带环周围是清洁死角,必须使用正畸牙刷、牙缝刷、冲牙器等工具仔细清洁,特别是带环与牙龈交界处,否则容易导致牙龈炎、龋坏和牙周问题。
- 避免粘性食物: 口香糖、太妃糖、软糖等粘性食物容易粘在带环上,难以清洁,可能拉脱带环或损坏矫治器。
- 避免过甜食物饮料: 减少糖分摄入,降低龋齿风险,吃完甜食后及时漱口或刷牙。
- 定期复诊: 严格按照医生预约时间复诊,医生会检查带环状态和牙齿移动情况。
- 及时就医: 如果发现带环松动、脱落,或者牙齿出现剧烈疼痛、明显牙龈红肿出血、咬合不适等情况,应尽快联系正畸医生处理,不要自行处理或拖延。
正畸带环固定是一个技术要求高、步骤严谨的操作,其核心在于选择合适尺寸的带环、严格隔湿、充分酸蚀干燥、精准试戴调整、均匀涂布粘接剂、轻柔就位并彻底清除多余粘接剂,一个成功粘接的带环是整个固定矫治器稳固有效的基础,为后续的牙齿移动提供可靠的支抗,患者良好的口腔卫生习惯和配合对治疗成功至关重要。💪🏻
