看到你在苏州有牙周炎问题,还考虑种牙,这确实是个需要认真对待的事情,我能理解你希望找到可靠信息的心情,毕竟种植牙不是小事,尤其牙周炎患者更需要专业指导,贴吧这类平台信息量大,但真伪难辨,我来帮你梳理一下关键点,让你少走弯路:
📍 核心要点(必须牢记!)
-
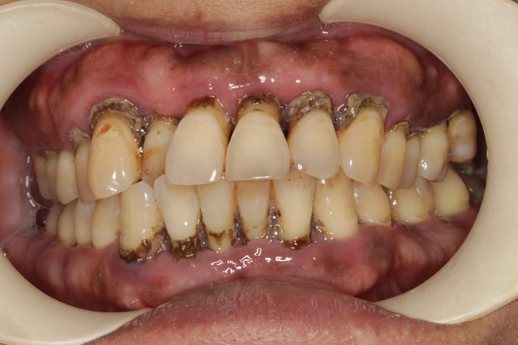
牙周炎是种牙的前提,必须先控制!
(图片来源网络,侵删)- 这是最重要的一点! 牙周炎是牙齿周围组织的炎症,如果不先彻底治疗并控制好炎症,种植牙的长期成功率会大大降低,甚至可能导致种植体周围炎、种植体松动脱落。
- 治疗流程: 需要专业的牙周科医生进行系统治疗,包括龈上洁治(洗牙)、龈下刮治、根面平整、必要时牙周手术等,直到牙周炎症得到控制、口腔卫生维护良好、牙周状况稳定(通常需要数周甚至数月)。
- 种牙前评估: 牙周稳定后,医生会评估你的牙槽骨条件(高度、宽度、密度),如果骨量不足,可能需要先进行植骨手术(GBR)或上颌窦提升等,等待骨结合(通常3-6个月)后才能种牙。
-
贴吧信息的局限性:
- 非专业平台: 贴吧是网友交流社区,信息良莠不齐,充斥着大量个人经验分享、广告、甚至误导性信息。
- 缺乏资质验证: 无法发帖者是否为正规医疗机构、医生资质如何、案例是否真实可靠。
- 信息过时: 医学技术发展快,贴吧里过时的经验可能不再适用。
- 广告混杂: 很多帖子可能是诊所或医生的软广告,需极度警惕。
- 个体差异大: 别人的成功或失败经验,不一定适用于你,牙周炎种牙尤其需要个体化方案。
📍 如何利用贴吧(谨慎使用)
-
寻找本地线索:
- 搜索关键词:
苏州 种植牙、苏州 牙周炎、苏州 种植牙医院、苏州 种植牙医生、苏州 牙科吧、苏州 口腔吧等。 - 目标: 了解有哪些医院/诊所在苏州做种植牙,有哪些医生被提及(注意甄别广告和真实评价)。
- 注意: 只把这些作为初步名单,切勿仅凭贴吧信息做决定。
- 搜索关键词:
-
观察讨论焦点:
- 看大家讨论哪些医院、医生的技术、服务、价格、口碑(但需辨别真假)。
- 看是否有关于牙周炎患者种牙的特殊讨论或经验分享(同样需谨慎甄别)。
- 看是否有关于种植体品牌(如ITI, Nobel, Osstem, Dentium等)的讨论,了解不同品牌的特点和价格区间(但最终选择应遵医嘱)。
-
警惕陷阱:
(图片来源网络,侵删)- 绝对低价诱惑: 远低于市场均价的种植牙广告,很可能有猫腻(使用劣质种植体、包含项目不全、后期加价等)。
- 过度承诺: 宣称“无痛”、“即刻种牙”、“100%成功”等,尤其是对牙周炎患者不切实际的承诺。
- 模糊收费: 只说“一颗牙XXXX元”,但未说明是否包含检查、麻醉、种植体、基台、牙冠、植骨、拍片等所有费用。务必要求详细报价单!
- 恐吓营销: 夸大其他医院的风险,推销自家技术。
📍 更可靠的信息来源和行动建议(强烈推荐)
-
首选正规医疗机构:
- 公立三甲医院口腔科/牙周科/种植科: 如苏州大学附属第一医院口腔科、苏州市立医院本部口腔科、苏州市口腔医院(专科医院) 等,这些医院技术力量雄厚,流程规范,收费相对透明,尤其擅长处理复杂病例(如牙周炎患者种牙),是最稳妥的选择。
- 大型连锁口腔品牌(全国性或区域性): 如瑞尔齿科、美维口腔、华西牙科、佳美口腔等(需确认其在苏州的机构是否正规、有资质),选择时注意考察其具体院区的医生团队和口碑。
- 本地知名口腔诊所: 选择在苏州本地经营多年、口碑良好、有正规资质、医生团队经验丰富的诊所,可通过卫健委官网查询机构资质。
-
关键行动步骤:
- 第一步:看牙周科医生! 这是最重要的!带上你的口腔X光片(如全景片、CBCT),去公立三甲医院牙周科或大型口腔医院的牙周科进行全面评估和系统治疗,告诉医生你有种牙的意愿,医生会制定详细的牙周治疗计划,并判断你何时达到种牙条件。
- 第二步:咨询种植医生。 牙周稳定后,去正规口腔医院/诊所的种植科咨询,带上你的牙周治疗记录和最新的口腔检查资料(CBCT等)。
- 第三步:充分沟通,获取方案和报价。
- 告诉医生你的牙周病史和当前状况。
- 详细了解种植方案:种植体品牌、型号、数量、位置、是否需要植骨、手术方式(是否微创)、基台类型、牙冠类型(全瓷/烤瓷)。
- 务必要求提供详细的、书面的费用清单,包含所有可能的费用项目(检查费、种植体费、基台费、牙冠费、手术费、麻醉费、植骨费、拍片费、复诊费等)。
- 了解术后维护要求和保修政策。
- 第四步:选择医生。 医生的技术和经验是种牙成功的关键! 重点考察:
- 资质: 是否有正规执业医师证,是否有种植专科培训认证(如ITI, ICOI等)。
- 经验: 尤其是处理牙周炎患者种植的经验,可以询问医生类似案例的数量和成功率(虽然具体数字可能不透露,但医生应能说明处理复杂情况的能力)。
- 沟通: 是否耐心解答你的疑问,是否让你感到信任和安心。
- 案例: 如果可能,查看医生的真实案例(注意保护隐私)。
- 第五步:决定并治疗。 综合考虑医生、方案、价格、服务、地理位置等因素,做出选择,签署知情同意书后进行手术。
- 第六步:严格术后维护。 种植牙后,比天然牙更需要精心的维护! 必须严格按照医生要求进行口腔清洁(使用专用牙刷、冲牙器、牙线等),并定期(至少每半年到一年)复查,尤其是牙周炎患者,要密切监控种植体周围健康状况,良好的口腔卫生习惯是种植牙长期成功的基石。
📍 关于苏州牙周炎种牙的额外建议
- 费用范围: 苏州地区,由于牙周炎可能需要额外的牙周治疗和植骨手术,种植牙总费用通常会比牙周健康患者高,单颗种植牙(包含种植体、基台、牙冠)的总费用,在正规机构,根据种植体品牌和牙冠材料不同,大致可能在 8000元 - 20000元人民币甚至更高(复杂病例),务必获取详细报价。
- 耐心是关键: 牙周炎治疗和可能的植骨需要时间,整个治疗周期可能较长(半年到一年以上),要有心理准备,不要急于求成。
- 不要贪图便宜: 牙周炎患者种牙,选择技术过硬、经验丰富的医生和正规机构,远比价格更重要,失败的风险和后期修复成本远高于前期多花的钱。
贴吧可以作为寻找苏州本地医院/诊所/医生线索的起点,但绝对不能作为决策依据!
对于牙周炎患者想种牙,最可靠、最安全的路径是:
- 先去公立三甲医院或大型正规口腔医院的牙周科进行系统治疗和评估。
- 牙周稳定后,再去同级别或更专业的机构种植科咨询,选择经验丰富的种植医生。
- 充分沟通,获取详细方案和报价。
- 重点考察医生资质、经验(尤其牙周炎种植经验)和沟通。
- 选择后严格遵医嘱治疗和术后维护。
别让贴吧上的零散信息干扰你的判断,专业的事交给专业的人。 牙周炎种牙是个精细活,多花点时间前期准备,远比后期后悔强,希望你能找到靠谱的医生,早日恢复口腔健康!💪🏻
