树脂种牙是否需要磨牙”,这个问题需要明确几个关键点:
-
“树脂种牙”的表述可能不够准确:
(图片来源网络,侵删)- 种植体本身: 种植牙的核心是植入牙槽骨的种植体(人工牙根),其材料通常是钛合金或氧化锆等生物相容性极高的材料,不是树脂,树脂材料无法承受口腔内的咀嚼力和长期稳定性要求。
- 牙冠材料: “树脂”通常指的是制作牙冠的材料,种植牙完成后,需要在种植体上安装一个牙冠来恢复牙齿的外形和功能,这个牙冠可以用树脂材料制作,但更常见、更耐用的材料是全瓷、金属烤瓷或氧化锆。
-
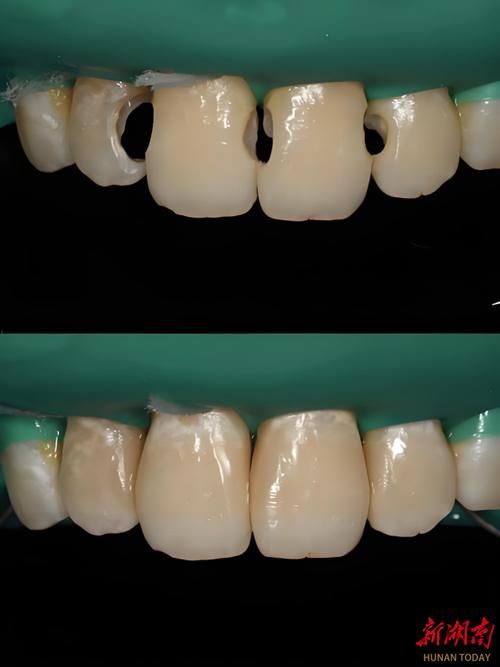
磨牙的必要性取决于牙冠类型和修复方式:
- 制作牙冠(无论是树脂、全瓷还是金属烤瓷)都需要磨牙: 这是最核心的答案。
- 为什么需要磨牙? 为了给牙冠预留足够的空间(厚度),确保牙冠有足够的强度、美观性和固位力,如果不磨牙,牙冠会过于臃肿,无法正常咬合,也容易脱落或崩瓷。
- 磨什么牙? 磨的是种植体上方连接的基台(如果使用基台)或者种植体本身直接支持的牙冠。不是磨你自己的天然牙! 这一点非常重要。
- 磨牙量: 磨牙的量取决于牙冠的材料、设计以及种植体的位置和角度,树脂牙冠通常比全瓷或金属烤瓷牙冠稍薄一些,磨牙量可能相对少一点,但仍然是必须的。
- 制作牙冠(无论是树脂、全瓷还是金属烤瓷)都需要磨牙: 这是最核心的答案。
-
特殊情况(但磨牙仍不可避免):
- 即刻修复/临时修复: 在种植体植入后,有时会制作一个临时的树脂牙冠(称为“即刻负重”或“临时修复冠”),这个临时冠同样需要磨牙(磨基台或种植体)来制作,只是磨牙量可能比最终的永久冠少一些,并且材料强度较低。
- 特殊设计的种植系统: 极少数情况下,可能使用特殊设计的种植体和基台组合,理论上可以减少对基台的预备量,但最终安装永久牙冠时,为了精确的咬合和边缘密合,通常仍需要一定的磨牙预备,完全不需要磨牙的种植修复非常罕见且不常见。
- 种植体本身(人工牙根)不需要磨牙,它由钛合金或氧化锆制成。
- “树脂种牙”如果指的是使用树脂材料制作种植牙的牙冠,那么制作这个树脂牙冠的过程,是绝对需要磨牙的。
- 磨的对象是:种植体上方的基台(如果使用)或者种植体本身直接支持的牙冠连接部分。 绝对不是磨你自己的天然牙齿! 这是为了给牙冠创造空间和固位力。
- 无论是树脂、全瓷还是金属烤瓷牙冠,只要是固定在种植体上的牙冠,制作时都需要进行相应的磨牙预备。 树脂牙冠只是众多牙冠材料中的一种,其制作流程中的磨牙步骤是标准且必要的。
安装种植牙的牙冠(包括树脂牙冠)时,需要磨的是种植体或基台,不是你自己的真牙。 这是制作任何类型牙冠(树脂、全瓷、金属烤瓷)的必要步骤,以确保牙冠合适、稳固、美观并能正常咀嚼。
(图片来源网络,侵删)
如果你考虑使用树脂材料制作种植牙的牙冠,你需要了解并接受制作这个牙冠时需要对种植体/基台进行磨牙预备,选择牙冠材料时,应与你的牙医充分沟通,了解不同材料的优缺点(树脂相对便宜但强度和耐磨性较差,适合后牙或临时修复;全瓷/氧化锆更坚固耐用、美观,适合前牙或永久修复)。


