正畸矫治器的固位方式是指矫治器(牙套)如何稳定地固定在牙齿上,以传递矫治力,不同的矫治器类型有不同的固位原理,主要分为两大类:固定矫治器和活动矫治器。
固定矫治器的固位方式
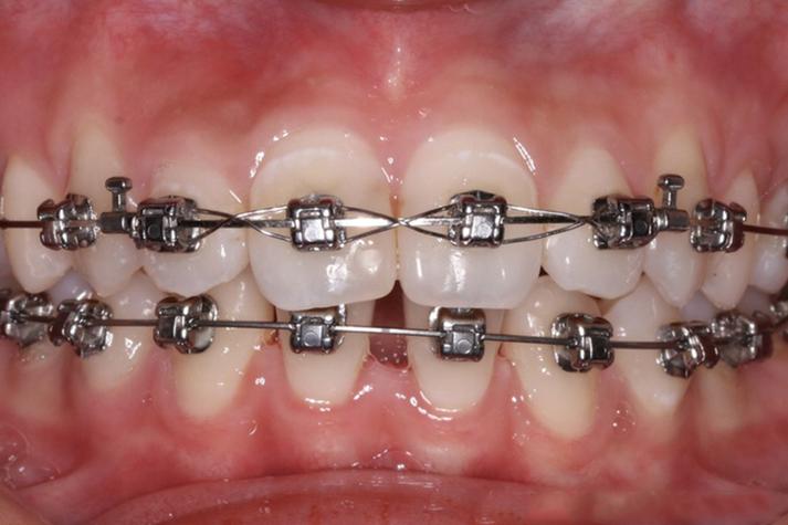
固定矫治器通过粘接剂直接固定在牙齿表面,患者不能自行摘戴,其固位主要依靠:

-
直接粘接技术(托槽粘接):
- 原理: 这是目前最主流的固位方式,将托槽(通常是金属或陶瓷小方块)或颊面管(主要用于磨牙)通过正畸粘接剂(通常是光固化树脂)直接粘接在牙齿的颊面(唇面)或舌面(腭面)。
- 固位力: 粘接剂本身与牙齿釉质和托槽基底形成的化学结合力和机械锁合力提供强大的固位力。
- 特点:
- 固位极其稳定可靠,能精确传递复杂的三维力。
- 患者无法自行摘戴,保证了矫治的连续性和效果。
- 需要专业医生操作粘接和后续调整。
- 日常清洁需要更仔细(使用正畸牙刷、牙缝刷、冲牙器等)。
- 相关技术:
- 结扎方式: 托槽粘接后,需要用结扎丝(不锈钢丝)或橡皮圈(弹性结扎圈)将弓丝固定在托槽的槽沟内,这虽然主要是固定弓丝,但也间接保证了整个矫治系统的稳定。
- 自锁托槽: 托槽本身带有锁闭装置(金属盖或塑料滑盖),无需结扎丝或橡皮圈固定弓丝,弓丝直接放入槽沟内锁闭,简化了操作,减少了摩擦力,但托槽本身的粘接固位原理不变。
- 间接粘接: 在模型上预先将托槽定位好,用光固化树脂形成“托梯”,再整体粘接到患者口内,提高了定位精度和效率。
-
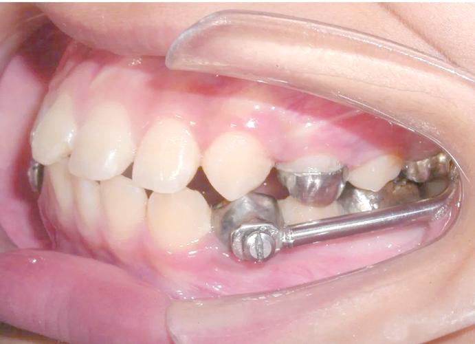
带环粘接:
- 原理: 将金属制成的带环(通常为不锈钢或预成金属)紧密套在磨牙(大牙)上,然后用粘接剂粘接固定,带环上焊接有颊面管(用于插入弓丝末端)和拉钩(用于挂橡皮圈或牵引钩)。
- 固位力: 主要依靠带环与牙齿高度密合的机械摩擦力和粘接剂的粘接力,带环边缘需要高度密合以防止脱落。
- 特点:
- 主要用于后牙(磨牙),因为磨牙牙冠较大,能提供更好的固位基面。
- 提供非常强大的固位力,适合需要强大支抗或复杂附件(如拉钩、舌侧扣)的情况。
- 相比直接粘接托槽,操作更复杂,对牙齿形态要求高(需要良好就位)。
- 边缘可能刺激牙龈,需要更精细的边缘抛光。
- 目前有逐渐被预成金属托槽替代的趋势,但在某些复杂病例或需要额外附件时仍使用。
-
舌侧矫治器:
- 原理: 将托槽粘接在牙齿的舌侧面(靠近舌头的一面),固位方式同样是直接粘接技术。
- 固位力: 同样依赖粘接剂的粘接力。
- 特点:
- 最大优点是美观,完全隐藏在牙齿后面。
- 粘接技术要求极高,操作难度大,费用昂贵。
- 对患者舌头的刺激较大,初期适应期长。
- 清洁难度最大。
活动矫治器的固位方式
活动矫治器可以由患者自行摘戴,其固位主要依靠:

-
卡环:
- 原理: 这是最核心、最主要的固位装置,卡环是由金属丝弯制而成的弹性固位体,通常由固位臂(弹性卡抱在牙齿的倒凹区)、连接体(连接到基托)和对抗臂(提供力量平衡)组成。
- 固位力: 利用卡环臂的弹性变形,使其末端紧紧卡抱在牙齿的倒凹区(牙齿外形最凹入的区域),当摘戴矫治器时,卡环臂被压缩变形,越过高点后依靠自身弹性恢复原位,产生固位力。
- 特点:
- 固位力主要来源于卡环臂的弹性和牙齿倒凹区的形态。
- 设计和制作精度要求高,倒凹区的深度和位置直接影响固位效果。
- 常见类型:单臂卡、双臂卡、箭头卡、邻间钩、连续卡环等,针对不同牙齿和固位需求设计。
- 可能影响美观(金属暴露)。
-
基托:
- 原理: 基托是覆盖在牙齿和牙槽嵴上的塑料部分(通常是丙烯酸树脂)。
- 固位力来源:
- 吸附力: 基托与牙齿、牙槽嵴粘膜紧密贴合,排出中间的空气,在大气压力作用下产生吸附力。
- 大气压力: 基托与组织面形成的负压区,外部大气压力将其压向牙齿和组织。
- 表面张力: 基托与唾液之间产生的表面张力。
- 机械摩擦力: 基托与牙齿、组织表面的摩擦力。
- 特点:
- 基托的面积、密合度、边缘伸展范围对固位力影响很大,覆盖面积越大、边缘越密合、伸展范围适当(避开妨碍区域),固位力越强。
- 对于覆盖在牙槽嵴上的部分,其吸附力和大气压力是重要的辅助固位力。
- 需要良好的边缘封闭性。
-
附加固位装置:
- 原理: 在卡环和基托之外,增加一些结构来增强固位。
- 常见类型:
- 弹簧夹: 类似于改良的卡环,利用弹簧的弹力提供额外固位。
- 邻间钩: 放置在相邻牙齿邻接处,利用邻间隙的倒凹固位。
- 磁性固位体: 在牙齿和矫治器上分别嵌入磁体,利用磁力固位(较少见)。
- 特点: 用于在特定位置增强固位,弥补卡环或基托固位的不足。
- 固定矫治器的核心固位是直接粘接(托槽/颊面管)和带环粘接,依赖强大的化学粘接力和机械锁合力,固位极其稳定。
- 活动矫治器的核心固位是卡环(利用弹性卡抱倒凹)和基托(利用吸附力、大气压力、表面张力、摩擦力),固位相对较弱,高度依赖患者配合摘戴和口腔卫生维护。
选择哪种固位方式取决于具体的矫治目标、牙齿状况、患者年龄、美观要求、配合度以及医生的技术和经验,现代正畸技术中,直接粘接的固定矫治器因其高效、精确和稳定的优势,已成为主流选择,活动矫治器则在早期矫治、保持阶段或特定病例中仍有应用价值。

