拜博口腔网

  • 矫正门牙缝大,是什么原因?如何有效解决?

    矫正门牙缝大,是什么原因?如何有效解决?

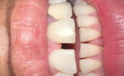
    门牙缝大是口腔中常见的牙齿问题,不仅可能影响面部美观,还可能导致食物嵌塞、牙周健康受损,甚至影响自信心,无论是先天因素还是后天原因导致的门牙缝大,如今通过现代正畸技术都能得到有效矫正,本文将详细解析门牙缝大的成因、矫正方法、注意事项及术后维...

    2026-01-20
    41 0 0
  • 1 / 1
  • 1