拜博口腔网

  • 天津巿正畸哪儿好

    天津巿正畸哪儿好

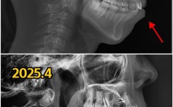
    天津市作为北方重要的医疗城市,口腔正畸资源丰富,但选择时需综合考量医生资质、技术设备、服务体验及价格等多方面因素,正畸不仅是改善美观,更涉及咬合功能、口腔健康乃至面部骨骼发育,因此选择专业可靠的机构和医生至关重要,从机构类型来看,天津市的正...

    2026-01-04
    12 0 0
  • 1 / 1
  • 1