拜博口腔网

  • 正畸带状弓是什么

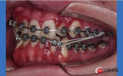
    正畸带状弓是什么

    正畸带状弓是口腔正畸领域中一种特殊的矫治技术工具,属于固定矫治器的重要组成部分,其核心是通过特定形态和材质的弓丝设计,实现对牙齿移动的精准生物力学控制,与传统的圆形弓丝或方形弓丝相比,带状弓的最大特征在于其“宽而薄”的截面形态——宽度通常为...

    2026-01-03
    56 0 0
  • 1 / 1
  • 1