拜博口腔网

  • 正畸后倾曲弯制6

    正畸后倾曲弯制6

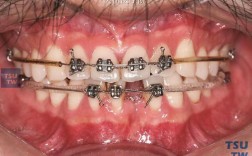
    正畸治疗中,后倾曲是方丝弓矫治器中常用的弯制形态,主要用于控制牙齿的倾斜角度、压低或远中移动牙齿,尤其在第一磨牙(临床常称“6号牙”)的移动中应用广泛,后倾曲的弯制精度直接影响矫治效果,需结合牙齿解剖特点、生物力学原理及临床目标综合设计,以...

    2026-01-02
    36 0 0
  • 1 / 1
  • 1