拜博口腔网

  • 正畸矫正凸嘴,究竟能改善几毫米?

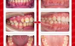
    正畸矫正凸嘴,究竟能改善几毫米?

    凸嘴是常见的口腔颌面问题,不仅影响面部美观,还可能伴随咬合异常、发音障碍等,正畸治疗作为改善凸嘴的主要手段,其效果一直是患者关注的焦点,本文将从凸嘴类型、正畸改善机制、不同情况下的改善幅度及影响因素等方面展开详细说明,帮助读者全面了解正畸改...

    2025-12-31
    71 0 0
  • 1 / 1
  • 1