拜博口腔网

  • 四环素牙美白,哪种方法更有效?

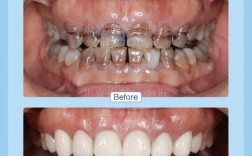
    四环素牙美白,哪种方法更有效?

    四环素牙是指在牙齿发育和钙化期间(通常为8岁前),机体摄入四环素类药物,导致药物与牙本质、釉质中的钙结合,形成四环素钙复合物,从而引起牙齿颜色改变的一种疾病,其颜色可从浅黄、灰黄到深棕、灰黑色不等,部分患者还伴有釉质发育不全,牙齿表面粗糙、...

    2025-12-20
    55 0 0
  • 1 / 1
  • 1