拜博口腔网

  • 正畸牵引勾放置位置有何讲究?

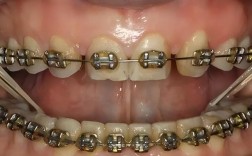
    正畸牵引勾放置位置有何讲究?

    正畸牵引钩的位置没有绝对固定的标准,它完全取决于具体的治疗目标、需要的牵引类型、使用的矫治器类型以及医生的设计意图,以下是一些常见的放置位置及其适用场景:📍一、按牙齿位置划分尖牙(Canine):最常用位置之一,尖牙牙根粗壮,位置相...

    2025-12-12
    19 0 0
  • 1 / 1
  • 1