拜博口腔网

  • 正畸推簧为何会把门牙顶歪?原因分析与应对方法

    正畸推簧为何会把门牙顶歪?原因分析与应对方法

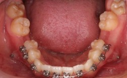
    看到你的门牙被推簧顶歪了,我能理解你的焦虑!这种情况在正畸治疗中确实可能发生,但请别太担心,及时联系你的正畸医生是解决问题的第一步,推簧(螺旋弹簧)是正畸中常用的工具,用于打开间隙或移动牙齿,但如果力量控制不当、方向偏差或牙齿本身反应异常,...

    2025-12-06
    18 0 0
  • 1 / 1
  • 1