拜博口腔网

  • 南京鼓楼医院种牙靠谱吗?费用和流程是怎样的?

    南京鼓楼医院种牙靠谱吗?费用和流程是怎样的?

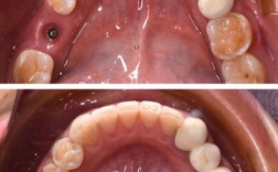
    是的,南京鼓楼医院完全可以进行种植牙手术,以下是关于在南京鼓楼医院种植牙的详细信息:医院资质与实力:南京鼓楼医院是江苏省内顶尖的三级甲等综合医院,拥有强大的综合医疗实力和先进的医疗设备,其口腔科(或口腔颌面外科)是医院的重点科室之一,技术...

    2025-12-04
    3 0 0
  • 1 / 1
  • 1