拜博口腔网

  • 拜博口腔超声刀拔牙优势有哪些?

    拜博口腔超声刀拔牙优势有哪些?

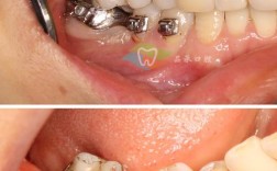
    告别传统拔牙恐惧,开启微创舒适新体验提到“拔牙”,很多人脑海中会浮现出“锤子敲、钳子拧”的紧张场景,以及术后肿痛难忍的恢复期,但随着口腔医疗技术的进步,超声刀拔牙已逐渐成为越来越多患者的“拔牙新选择”,而作为国内口腔医疗领域的领军品牌,拜博...

    2025-12-02
    2 0 0
  • 1 / 1
  • 1