拜博口腔网

  • Bicon种植牙术后可能出现哪些并发症?

    Bicon种植牙术后可能出现哪些并发症?

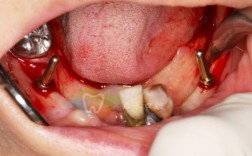
    Bicon种植牙系统以其独特的锥形设计和平台转移技术,在种植牙领域享有良好声誉,被认为在减少某些并发症方面具有优势,任何种植牙手术都存在潜在风险和并发症,了解这些风险对于患者做出知情决定至关重要,以下是Bicon种植牙可能出现的并发症,按发...

    2025-11-27
    14 0 0
  • 1 / 1
  • 1