拜博口腔网

  • 陶瓷半隐形矫正牙齿,半隐形效果如何?

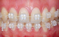
    陶瓷半隐形矫正牙齿,半隐形效果如何?

    陶瓷半隐形矫正牙齿是目前口腔正畸领域兼顾美观与效果的主流选择之一,它通过采用与牙齿颜色相近的陶瓷材质托槽,结合金属弓丝或弹性结扎圈施加矫治力,在实现牙齿移动、排列整齐的同时,显著降低了传统金属矫正“铁齿钢牙”的视觉突兀感,尤其受到对美观有较...

    2026-01-20
    28 0 0
  • 牙齿矫正托槽有哪些类型?

    牙齿矫正托槽有哪些类型?

    牙齿矫正托槽是固定矫治技术中的核心部件,通过粘接在牙齿表面,与弓丝配合施加持续力量,引导牙齿移动至理想位置,根据材质、技术设计和粘接位置的不同,托槽可分为多种类型,每种类型各有特点,适用于不同的矫正需求,以下从材质、技术设计、粘接位置等维度...

    2026-01-20
    29 0 0
  • 牙齿矫正用什么材料

    牙齿矫正用什么材料

    牙齿矫正材料的选择是矫正方案设计中的核心环节,直接关系到矫正效果、舒适度、治疗周期及美观需求,目前主流的牙齿矫正材料可分为固定矫正材料、隐形矫正材料及辅助材料三大类,每种材料在材质特性、适用场景上各有差异,需根据个体情况综合选择,固定矫正材...

    2026-01-20
    23 0 0
  • 口腔正畸托槽分类

    口腔正畸托槽分类

    口腔正畸治疗中,托槽作为固定矫治器的核心部件,通过粘接于牙齿表面,与弓丝协同作用传递矫治力,引导牙齿按预定方向移动至理想位置,托槽的分类方式多样,依据材质、结构形态、粘接部位及技术特点等维度可分为不同类型,不同类型的托槽在生物相容性、美观度...

    2026-01-06
    39 0 0
  • 正畸陶瓷牙托脱落

    正畸陶瓷牙托脱落

    陶瓷托槽是正畸治疗中常用的美学修复材料,因其接近牙齿本色、隐蔽性好,受到许多成人及对美观要求较高患者的青睐,但在矫正过程中,陶瓷托槽脱落是较为常见的并发症,不仅可能延长治疗周期,还可能影响矫正效果,本文将从脱落原因、处理方法、预防措施等方面...

    2026-01-04
    41 0 0
  • 正畸拖槽常用型号

    正畸拖槽常用型号

    正畸托槽作为固定矫治器的核心部件,通过与弓丝配合传递矫治力,引导牙齿移动至理想位置,临床上托槽型号多样,不同材质、形态及设计特点决定了其适用场景,选择合适的托槽对矫正效果和患者体验至关重要,以下从材质、形态及品牌系统等维度,详细介绍常用托槽...

    2026-01-03
    33 0 0
  • 正畸用什么牙套好

    正畸用什么牙套好

    正畸治疗中选择合适的牙套是决定治疗效果、舒适度和体验的关键环节,目前市面上主流的牙套类型包括传统金属牙套、陶瓷牙套、隐形牙套、舌侧牙套及自锁托槽牙套等,每种牙套在材料、性能、适用人群上各有特点,需结合牙齿畸形程度、预算、美观需求及个人习惯综...

    2026-01-02
    29 0 0
  • 牙齿正畸材料有哪些

    牙齿正畸材料有哪些

    牙齿正畸材料是矫正牙齿排列、改善咬合功能的核心载体,随着技术发展,材料种类日益丰富,从传统的金属固定矫治器到现代隐形矫治器,不同材料在生物相容性、机械性能、美观度等方面各具特点,需根据患者牙齿状况、年龄、美观需求及经济条件综合选择,固定矫治...

    2025-12-30
    29 0 0
  • 柯帝夫正畸陶瓷托槽

    柯帝夫正畸陶瓷托槽

    柯帝夫正畸陶瓷托槽是现代口腔正畸领域中兼顾功能性与美观性的重要矫治装置,其采用先进陶瓷材料制成,通过精密设计实现牙齿排列的精准调整,同时满足患者对“隐形矫治”的审美需求,已成为成人及青少年正畸的热门选择之一,柯帝夫陶瓷托槽以高纯度单晶或多晶...

    2025-12-28
    22 0 0
  • 牙科正畸陶瓷托槽价格多少?不同品牌差价大吗?

    牙科正畸陶瓷托槽价格多少?不同品牌差价大吗?

    牙科正畸陶瓷托槽作为一种兼顾美观与治疗效果的矫治器,近年来受到越来越多正畸患者的青睐,与传统金属托槽相比,陶瓷托槽采用透明或牙色材质,能与牙齿颜色自然融合,在矫正过程中不易被察觉,尤其适合对美观有较高需求的人群,如成年人、职场人士等,其价格...

    2025-12-21
    26 0 0
  • 1 / 2
  • 1
  • 2