拜博口腔网

  • 正畸前牙颌垫图片

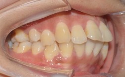
    正畸前牙颌垫图片

    正畸前牙颌垫是口腔正畸治疗中常用的辅助装置,主要用于调整前牙咬合关系、缓解肌肉紧张、保护牙齿及颞下颌关节,其设计和形态需根据患者具体口腔状况定制,通过观察正畸前牙颌垫的图片,可直观了解其结构特点、材质特性及临床应用场景,为患者和医生提供直观...

    2026-01-04
    38 0 0
  • 清远哪里做正畸好

    清远哪里做正畸好

    正畸不仅是改善牙齿排列的美学需求,更关系到口腔功能、咬合健康及长期生活质量,清远作为粤北地区重要城市,近年来口腔医疗发展迅速,但面对众多机构,如何选择专业、靠谱的正畸服务成为不少市民的困扰,选择正畸服务时,需综合考量医生资质、技术设备、案例...

    2026-01-04
    38 0 0
  • 刘兮老师正畸视频

    刘兮老师正畸视频

    刘兮老师作为国内知名的正畸专家,深耕口腔正畸领域十余年,凭借其扎实的专业功底和通俗易懂的讲解风格,在各大平台发布的正畸视频深受患者及同行的关注,这些视频不仅系统普及了正畸知识,更通过真实案例解析、技术原理拆解和互动答疑,帮助无数人打破对正畸...

    2026-01-04
    54 0 0
  • 河北和平医院正畸

    河北和平医院正畸

    河北和平医院作为河北省内集医疗、教学、科研于一体的大型三级甲等综合医院,其口腔科正畸依托医院雄厚的综合医疗实力和先进的诊疗设备,多年来在牙齿矫正领域积累了丰富的临床经验,形成了以“精准诊断、个性化设计、舒适化治疗”为核心的正畸诊疗体系,为不...

    2026-01-04
    47 0 0
  • 广州博济牙科正畸

    广州博济牙科正畸

    广州博济牙科正畸作为华南地区口腔医疗领域的重要分支,依托广州博济医疗机构的整体资源优势,在牙齿矫正领域积累了十余年的临床经验,形成了集技术、服务、个性化方案于一体的正畸体系,机构始终以“精准矫正、舒适体验”为核心,结合数字化技术与前沿正畸理...

    2026-01-04
    37 0 0
  • 昆山口腔正畸医生

    昆山口腔正畸医生

    在昆山选择口腔正畸医生时,需综合考量专业资质、临床经验、技术擅长及患者口碑等多维度因素,正畸治疗周期长(通常1-3年),医生的专业水平直接关系到矫正效果与口腔健康,昆山作为经济发达城市,口腔医疗资源丰富,既有公立医院资深专家,也有连锁齿科及...

    2026-01-04
    39 0 0
  • 儿童龅牙看正畸科

    儿童龅牙看正畸科

    儿童龅牙在医学上称为上颌前突,是指上前牙或上颌骨向前突出,导致嘴唇无法自然闭合或呈现“龇牙”外观的一种错颌畸形,根据病因可分为牙性龅牙(主要是牙齿排列问题)和骨性龅牙(与颌骨发育相关),前者通过正畸矫正即可改善,后者可能需要结合正畸-正颌联...

    2026-01-04
    44 0 0
  • 北京正畸牙科医院

    北京正畸牙科医院

    北京作为国内医疗资源集中的城市,正畸牙科医院的选择丰富多样,但不同医院在资质、技术、服务及费用上存在差异,选择时需综合考量,正畸治疗周期长、专业性强,涉及牙齿健康、咬合功能及面部美观,因此选择一家靠谱的医院至关重要,选择北京正畸牙科医院的核...

    2026-01-04
    102 0 0
  • 北京康圆口腔正畸

    北京康圆口腔正畸

    北京康圆口腔正畸作为北京地区专注于牙齿矫正的专业机构,始终以“精准矫正、美学设计、全程关怀”为核心,致力于为不同年龄段的患者提供个性化的正畸解决方案,依托先进的数字化设备、经验丰富的医疗团队以及人性化的服务流程,康圆口腔正畸在解决牙齿拥挤、...

    2026-01-04
    47 0 0
  • 郑州正畸哪里有卖

    郑州正畸哪里有卖

    牙齿矫正(正畸)是改善口腔功能与美观的重要医疗手段,随着人们对口腔健康的重视,郑州作为河南省会,正畸需求持续增长,许多市民关心“郑州正畸哪里有做”——其实正畸并非“商品销售”,而是专业的医疗服务,选择正规机构和医生是矫正效果与安全的核心保障...

    2026-01-04
    31 0 0