拜博口腔网

  • 种牙和植牙是一回事吗?两者到底有啥区别?

    种牙和植牙是一回事吗?两者到底有啥区别?

    在口腔修复领域,“种牙”和“植牙”是两个常被提及的术语,很多人会混淆两者的含义,认为它们是同一概念的不同说法,但实际上,两者既有紧密联系,也存在本质区别,主要体现在定义范畴、操作流程、应用场景等多个维度,核心区别:定义与范畴的不同“植牙”严...

    2025-12-22
    1 0 0
  • KS粉丝下单0.01抖音涨赞,24小时免费下单网址是真的吗?

    KS粉丝下单0.01抖音涨赞,24小时免费下单网址是真的吗?

    创作蓬勃发展的当下,快手、抖音等平台已成为创作者展示自我、实现价值的核心阵地,无论是个人兴趣分享还是商业变现,粉丝数、点赞量等数据指标直接关系到内容的曝光度和账号的成长速度,为帮助创作者快速提升数据表现,“ks粉丝下单业务免费”“0.01抖...

    2025-12-22
    1 0 0
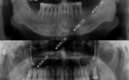
  • 种牙的牙体多少钱

    种牙的牙体多少钱

    种植牙是目前修复缺失牙的有效方式之一,其核心结构包括种植体(人工牙根)、基台和牙冠,牙体”通常指与牙槽骨直接结合的种植体部分,相当于整个种植牙的“地基”,其质量直接影响种植牙的稳定性和使用寿命,关于种植体的价格,受材料、品牌、技术、地区及医...

    2025-12-22
    1 0 0
  • dy评论自助下单平台网站-小红书业务24小时免费下单平台-自助下单平台免费刷赞抖音

    dy评论自助下单平台网站-小红书业务24小时免费下单平台-自助下单平台免费刷赞抖音

    在当前社交媒体竞争激烈的环境下,内容创作者和商家常常面临流量不足、互动数据低迷的困境,尤其是抖音和小红书这类依赖算法推荐的平台,初始阶段的评论、点赞等互动数据直接影响账号权重和自然流量获取,为此,“dy评论自助下单平台网站-小红书业务24小...

    2025-12-22
    1 0 0
  • 武大口腔正畸二科电话

    武大口腔正畸二科电话

    武汉大学口腔医院正畸二科作为国内口腔正畸领域的重点科室,汇聚了一批经验丰富的专家团队,在各类错颌畸形矫正、疑难病例诊疗方面拥有深厚的技术积累,尤其在儿童早期干预、成人隐形矫正、复杂骨性错颌矫治等领域形成了特色优势,许多患者希望通过电话直接联...

    2025-12-22
    1 0 0
  • dy点赞量自助网址便宜-梓豪代涨初心-ks自助下单服务低价下单平台

    dy点赞量自助网址便宜-梓豪代涨初心-ks自助下单服务低价下单平台

    创作蓬勃发展的今天,抖音、快手等平台已成为品牌曝光和个人IP打造的核心阵地,点赞量作为衡量内容热度与用户认可度的直观指标,直接影响着内容的推荐权重与商业价值,许多创作者尤其是新手,常面临“内容优质但点赞寥寥”的困境,传统代涨服务又存在价格虚...

    2025-12-22
    1 0 0
  • ks在线人气24小时免费下单平台-抖音业务下单免费-抖音涨赞秒下单

    ks在线人气24小时免费下单平台-抖音业务下单免费-抖音涨赞秒下单

    在当前短视频竞争激烈的环境中,许多抖音创作者都面临着内容优质却难以获得初始流量、点赞量长期停滞不前的困境,无论是刚起步的素人博主,还是希望突破瓶颈的商家账号,都迫切需要一种高效、低成本的运营辅助方式,而“ks在线人气24小时免费下单平台”正...

    2025-12-22
    1 0 0
  • 涨抖音赞24小时自助下单-全网最低自助下单网站抖音-DY点赞平台秒单24小时免费下单平台

    涨抖音赞24小时自助下单-全网最低自助下单网站抖音-DY点赞平台秒单24小时免费下单平台

    在当前短视频竞争白热化的时代,抖音点赞已成为衡量内容热度、提升账号权重的核心指标之一,无论是个人创作者追求流量曝光,还是商家账号旨在促进转化,充足的点赞量都能显著增强内容的传播力与可信度,人工点赞效率低、成本高,且难以满足批量需求,在此背景...

    2025-12-22
    1 0 0
  • 种牙需要检查什么

    种牙需要检查什么

    种牙作为修复缺失牙的有效方式,其成功与否与术前检查密切相关,全面的术前检查能评估患者是否适合种牙,确定最佳种植方案,降低手术风险,提高种植体的长期成功率,种牙前的检查涉及口腔局部、全身健康状况、影像学等多个维度,需要系统、细致地完成,口腔局...

    2025-12-22
    1 0 0
  • 杭州市口腔医院正畸科矫正效果到底好不好呀?

    杭州市口腔医院正畸科矫正效果到底好不好呀?

    杭州市口腔医院正畸科作为华东地区口腔正畸领域的重点科室,依托医院三级专科医院的平台优势,始终以“精准矫治、美学修复”为核心,为不同年龄段患者提供个性化、数字化的正畸解决方案,科室成立于上世纪80年代,经过四十余年的发展,目前已形成集临床诊疗...

    2025-12-22
    1 0 0
  • 点击查看更多