牙齿间隙大,即我们常说的“牙缝大”,是口腔中常见的牙齿排列问题,不仅影响笑容美观,还可能对口腔健康和咀嚼功能造成潜在威胁,随着人们对口腔健康和美观需求的提升,牙齿间隙大矫正逐渐成为关注的焦点,牙齿间隙大究竟是什么原因导致的?有哪些矫正方法?矫正过程中需要注意什么?本文将围绕这些问题展开详细说明。
牙齿间隙大的原因
牙齿间隙大的形成既有先天因素,也有后天因素,先天因素主要包括牙量骨量不调,即牙齿本身大小正常,但牙槽骨(容纳牙齿的牙槽)过大,导致牙齿排列稀疏;或牙齿过小,如侧切牙(门牙旁边的牙齿)天生体积较小,与邻牙之间出现空隙;遗传因素也可能导致家族中多人存在牙缝问题,后天因素则更为多样,例如牙周病是导致牙缝增大的常见原因,牙周组织发炎导致牙槽骨吸收,牙齿失去支撑后逐渐移位、散开;长期不良习惯如咬唇、吐舌、用牙签剔牙等,可能对牙齿施加异常力量,使牙缝变大;缺牙后邻牙倾斜移位,也会在缺牙处形成间隙;替牙期障碍(如乳牙早失、恒牙萌出异常)也可能导致牙齿排列不齐,出现牙缝。

牙齿间隙大的影响
牙齿间隙大带来的影响不仅限于美观,开唇露齿时明显的牙缝会影响笑容自信,甚至可能对社交心理产生负面影响,牙缝过大导致牙齿排列稀疏,咀嚼时食物无法被充分磨碎,长期可能增加胃肠负担,引发消化问题;咬合关系紊乱还可能颞下颌关节(连接下巴和颅骨的关节)不适,导致疼痛、弹响等,更重要的是,牙缝容易嵌塞食物残渣,若清洁不到位,会滋生细菌,引发龋齿(蛀牙)、牙龈炎、牙周炎等口腔疾病,而牙周病的进一步发展又会加剧牙缝增大,形成恶性循环。
牙齿间隙大的矫正方法
针对牙齿间隙大,目前有多种成熟的矫正方法,可根据牙缝大小、口腔状况、美观需求及经济条件选择,以下是常见矫正方式的详细对比:
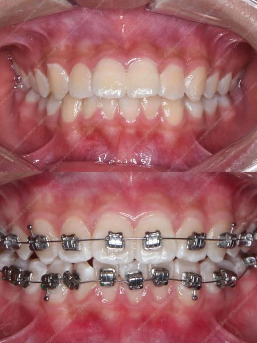
传统金属托槽矫正
通过金属托槽和弓丝施加力量,缓慢移动牙齿至理想位置关闭牙缝。
- 特点:技术成熟,适用范围广,可解决复杂牙缝问题(如伴有牙齿排列不齐、咬合异常)。
- 适用人群:青少年及成人,各类牙缝问题,尤其是需要同时调整咬合的患者。
- 优点:性价比高,费用相对较低;矫正效果稳定,对医生技术依赖度适中。
- 缺点:美观性差(金属托槽明显);口腔舒适度较低,初期可能磨嘴;需注意口腔清洁,避免食物残渣堆积。
- 矫正时间:1-3年(根据牙缝大小和复杂程度调整)。
- 费用参考:5000-15000元(根据地区、医院等级差异)。
陶瓷托槽矫正
托槽为陶瓷材质,颜色接近牙齿,美观性优于金属托槽。

- 特点:半隐形矫正,兼顾美观与功能。
- 适用人群:对美观有一定要求,轻中度牙缝问题,无需复杂调整咬合的患者。
- 优点:美观性较好,不易察觉;强度较高,不易变形。
- 缺点:脆性较大,咀嚼硬物时可能崩瓷;费用高于金属矫正;初期可能存在轻微磨嘴。
- 矫正时间:1-3年。
- 费用参考:8000-20000元。
自锁托槽矫正
托槽自带锁闭结构,减少钢丝与托槽的摩擦力,矫正效率更高。
- 特点:摩擦力低,牙齿移动速度更快,复诊间隔延长。
- 适用人群:对矫正效率要求高,或对疼痛敏感者;轻中度至重度牙缝问题。
- 优点:复诊间隔可延长至6-8周,节省时间;舒适度较高(疼痛感轻);矫正时间可能缩短(比传统矫正缩短3-6个月)。
- 缺点:费用较高;对医生技术要求更高。
- 矫正时间:1-2.5年。
- 费用参考:10000-25000元。
隐形矫正
通过一系列透明牙套(如隐适美、时代天使等)逐步移动牙齿,牙套可自行摘戴。
- 特点:完全隐形,美观度高,便捷性强。
- 适用人群:轻中度牙缝问题,注重美观和便利性;能严格佩戴牙套(每天20小时以上)的患者。
- 优点:美观度极佳(几乎看不出戴牙套);可自行摘戴,便于进食和清洁;舒适度高,无托槽摩擦。
- 缺点:费用高;严重牙缝或伴有咬合异常者可能不适用;对患者依从性要求高(若佩戴不足,影响矫正效果)。
- 矫正时间:1-2年。
- 费用参考:20000-50000元。
树脂修复
通过树脂材料直接填充牙缝,无需移动牙齿,快速关闭小间隙。
- 特点:微创(无需磨牙或仅少量磨牙),操作简便。
- 适用人群:牙缝较小(1-2mm),且牙齿无明显移位、排列基本整齐者。
- 优点:治疗时间短(单次1-2小时);费用低;即刻改善美观。
- 缺点:树脂材料易变色(长期饮用咖啡、茶等可能染色);强度较低,易磨损或脱落;仅适用于小间隙,大牙缝修复后效果不自然。
- 矫正时间:单次就诊完成。
- 费用参考:500-2000元/颗(根据牙缝大小和树脂品牌)。
贴面修复
在牙齿表面粘贴薄层瓷贴面或树脂贴面,通过改变牙齿形态关闭牙缝。

- 特点:兼顾关闭牙缝和改善牙齿颜色、形态。
- 适用人群:牙缝较大(2-4mm),同时伴有牙齿发黄、缺损、形态不整者。
- 优点:美观度高(瓷贴面色泽、通透度接近天然牙);耐磨性强,不易变色;可同时解决多种牙齿问题。
- 缺点:需磨除少量牙体组织(可能引发牙齿敏感);费用较高;对医生技术要求高(需精确匹配牙齿形态)。
- 矫正时间:2-3次就诊(包括取模、试戴、粘接)。
- 费用参考:3000-8000元/颗(瓷贴面高于树脂贴面)。
正畸联合修复
对于牙缝过大(如4mm以上)或伴有严重牙齿排列不齐者,可先通过正畸(如托槽矫正、隐形矫正)移动牙齿关闭主要间隙,再配合树脂修复或贴面修复剩余小间隙,兼顾功能与美观。
- 特点:分阶段治疗,效果更稳定、理想。
- 适用人群:牙缝过大,同时存在牙齿排列不齐、咬合异常等复杂问题。
- 优点:正畸解决根本问题(牙齿位置),修复完善细节(牙缝关闭后牙齿形态);长期效果好,复发率低。
- 缺点:治疗周期长(正畸1-3年+修复1-2周);费用较高(正畸+修复总费用约15000-40000元)。
牙齿间隙大矫正的流程
无论选择哪种矫正方式,通常需经历以下步骤:
- 初诊检查:医生进行口内检查,取牙齿模型,拍摄X光片(曲面断层片、头颅侧位片等),评估牙缝大小、牙齿排列、牙槽骨状况及咬合关系。
- 方案设计:结合检查结果和患者需求,制定个性化矫正方案,包括选择矫正方法、预估矫正时间、费用及可能风险,与患者沟通确认后开始治疗。
- 戴牙/治疗:传统托槽矫正需粘接托槽,隐形矫正需佩戴首副牙套,树脂/贴面修复需进行牙体预备或直接粘接。
- 复诊调整:传统托槽矫正每4-6周复诊调整弓丝;隐形矫正每1-2个月更换下一副牙套;树脂/贴面修复一般无需复诊,若出现问题(如脱落)需及时处理。
- 保持阶段:矫正结束后,需佩戴保持器(如透明压膜保持器、 Hawley保持器)1-2年,夜间长期佩戴,防止牙齿复发移位。
矫正期间的注意事项
- 口腔卫生:矫正期间牙齿移动,牙缝易嵌塞食物,需使用正畸牙刷(如小头牙刷)、牙缝刷、冲牙器彻底清洁,避免龋齿和牙周炎。
- 饮食禁忌:避免过硬(坚果、骨头)、黏性(口香糖、年糕)食物,防止托槽脱落或牙套损坏;隐形矫正者需摘下牙套进食,避免染色。
- 复诊重要性:按时复诊可确保矫正进度,若托槽脱落或牙套损坏,需及时联系医生处理,避免影响矫正效果。
- 保持器佩戴:矫正结束后牙齿位置不稳定,必须严格佩戴保持器,这是防止复发的关键。
相关问答FAQs
问题1:牙齿间隙大矫正需要多久?
解答:矫正时间因人而异,主要取决于牙缝大小、矫正方法、患者年龄和配合度,传统托槽矫正(金属/陶瓷/自锁)需要1-3年,隐形矫正1-2年,树脂或贴面修复仅需单次或几次就诊(1-2周),青少年因骨骼生长活跃,矫正速度可能更快;成年人牙槽骨稳定,矫正时间相对较长,若存在牙周病等口腔问题,需先治疗牙周病,再进行矫正,时间会相应延长。
问题2:成年人矫正牙齿间隙大效果好吗?
解答:成年人矫正牙齿间隙大效果通常很好,但与青少年相比存在一些特点:成年人骨骼已停止发育,牙槽骨改建速度较慢,矫正时间可能稍长,但通过现代正畸技术(如自锁托槽、隐形矫正),仍可达到理想效果,成年人口腔情况更复杂,可能伴有牙周病、牙齿磨耗等问题,需先进行牙周治疗或修复,再开始矫正,成年人配合度高,能严格遵守医嘱(如保持器佩戴、口腔清洁),因此矫正效果稳定,复发率低,成年人正畸已成为主流,案例众多,效果满意度较高。
