牙齿与面相的关系,远比“牙齿整齐=好看”更复杂,从解剖学角度看,牙齿是颌骨的“支架”,与面部肌肉、骨骼共同构成面部轮廓的立体框架,牙齿排列异常不仅影响咀嚼功能,更会通过改变颌骨位置、牵拉软组织形态,对面部的突度、高度、对称度产生连锁反应,而矫正牙齿,本质是通过移动牙齿、调整咬合关系,重建面部“支架”的平衡,进而优化面相的整体协调性。
面部骨骼中,上颌骨、下颌骨与牙齿紧密相连,上颌牙列支撑着面中部的饱满度,下颌牙列则影响下颌线的流畅度,当牙齿位置正常时,咬合力均匀分布,颌骨和肌肉处于平衡状态,面部轮廓自然和谐;若出现龅牙、地包天等问题,牙齿会“牵制”颌骨异常生长,比如龅牙导致上前牙过度前突,上颌骨被迫向前,下颌骨相对后缩,形成“凸面型”,侧面看嘴凸明显,下巴后缩,显得缺乏立体感;地包天则相反,下前牙包住上前牙,下颌骨过度前伸,上颌骨发育不足,面中凹陷,形成“凹面型”,侧脸线条生硬,显得固执。

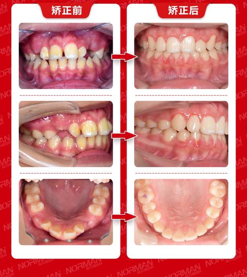
临床中,常见的牙齿问题对应着不同的面相表现,牙齿拥挤不仅导致排列不齐,还可能因单侧咀嚼习惯造成面部不对称,咬肌发达一侧显得脸大,另一侧则凹陷;深覆合(上牙盖住下牙过多)会使面下1/3高度不足,显得人中短、笨拙;开颌(上下牙无法咬合)则可能导致唇部闭合困难,露龈笑明显,面部比例失调,矫正牙齿的核心在于“力学移动”——通过托槽、弓丝等装置施加持续、轻柔的力量,引导牙齿移动到理想位置,这一过程不仅能排齐牙齿,更能调整颌骨关系:比如龅牙矫正中,通过“推磨牙向后”“内收上前牙”,减少牙弓长度,使上前牙回收,上颌骨前突改善,下颌骨相对前移,侧脸线条从“凸”变“直”,下巴后缩问题随之缓解;地包天矫正则可能通过“上颌前方牵引”或“下颌后退”,调整上下颌骨的相对位置,改善面中凹陷,让面部轮廓更柔和。
矫正方式的选择也会对面相产生影响,传统金属托槽虽坚固,但露齿时明显,可能影响社交中的美观;隐形矫正器透明可摘,矫正期间几乎不影响面相展示,适合对外观要求高的人群;舌侧矫正将托槽粘在牙齿内侧,完全隐形,但对医生技术要求高,价格也更高,是“对面相零影响”的选择之一。
矫正时机对面相改善效果有重要影响,青少年时期(8-14岁)是颌骨生长发育的“黄金期”,若存在颌骨发育异常(如严重龅牙、地包天),可通过功能矫正器(如前方牵引器、扩弓器)引导颌骨正常生长,从源头改善面相,效果事半功倍;成人矫正因颌骨已停止发育,主要通过移动牙齿和调整软组织适应,对面相的改善集中在牙齿排列和咬合功能带来的面部协调,虽无法改变骨骼结构,但通过改善“凸面型”“凹面型”等软组织形态,仍能显著提升面相美观度。
需要注意的是,矫正牙齿并非“换脸”,而是“优化”,它不会改变面部骨骼的基本结构,也无法改变眉眼、鼻梁等天生特征,但通过调整牙齿和颌骨的平衡,能让面部轮廓更协调、笑容更自信,这种由内而外的气质提升,才是矫正对“面相”的最大贡献。

常见牙齿问题对应的面相影响及矫正改善方向
| 牙齿问题 | 面相表现 | 矫正改善方向 |
|---|---|---|
| 龅牙(上颌前突) | 嘴凸、侧脸线条突兀、下巴后缩 | 内收上前牙、调整牙弓长度、改善突度 |
| 地包天(反颌) | 面中凹陷、下颌前突、侧脸线条生硬 | 调整上下颌位置、上颌前方牵引、改善凹面型 |
| 牙齿拥挤 | 面部不对称、笑容不自信、咬肌发达 | 排齐牙齿、调整咬合平衡、改善对称性 |
| 深覆合 | 面下1/3短小、人中短、显笨拙 | 打开咬合、恢复垂直高度、改善面部比例 |
| 开颌 | 露龈笑、唇部无法闭合、面部失调 | 压低上前牙、关闭前牙间隙、减少露龈笑 |
相关问答FAQs
问题1:矫正牙齿真的能改善面相吗?原理是什么?
解答:矫正牙齿确实能在一定程度上改善面相,其原理基于牙齿、颌骨与面部软组织的解剖关系,牙齿是颌骨的“支架”,排列异常会牵拉颌骨偏离正常位置,进而影响面部轮廓(如龅牙导致嘴凸、地包天导致面中凹陷),矫正通过移动牙齿、调整咬合关系,重建颌骨平衡:例如内收前突的上前牙可改善上颌前突,使侧脸线条更流畅;调整咬合高度可恢复面下1/3比例,让面部更协调,牙齿排齐后,咀嚼功能恢复正常,肌肉张力平衡,面部表情也会更自然柔和,这些变化共同构成了“面相改善”的实际效果。
问题2:成人矫正和青少年矫正对面相改善有什么区别?
解答:成人矫正和青少年矫正对面相改善的主要区别在于“颌骨调控能力”,青少年处于生长发育期,颌骨可塑性强,若存在颌骨发育异常(如严重骨性龅牙、地包天),可通过功能矫正器引导颌骨正常生长,从源头调整面部骨骼结构,对面相的改善更根本、效果更显著;成人因颌骨已停止发育,矫正主要通过移动牙齿和调整软组织适应来改善面相,例如通过内收牙齿改善“凸面型”、调整咬合高度改善面部比例,无法改变骨骼结构,但能通过牙齿和软组织的协调显著提升面相美观度,成人矫正周期较长(通常2-3年),需更注重美观性(如选择隐形矫正、舌侧矫正),而青少年矫正可能更侧重功能与生长调控的结合。
