面部美观与功能是很多人关注的重点,其中面部轮廓的流畅度和牙齿咬合的整齐度直接影响整体颜值与口腔健康,当骨骼发育异常或牙齿排列不齐时,削骨手术和矫正牙齿成为常见的改善手段,两者虽然都能优化面部状态,但作用机制、适用范围和风险特征存在显著差异,需根据个人情况科学选择。
削骨手术属于颌面外科手术,通过截除、移动或重塑骨骼来调整面部轮廓,常见类型包括下颌角截骨术,针对下颌角肥大导致“国字脸”或“方脸”,通过截除部分下颌角骨骼,改善下颌线条流畅度;颧骨内推术,针对颧骨过高或外扩形成的“菱形脸”,通过颧骨颧弓骨折内推,降低面部中上部宽度;颏成形术,即下巴整形,可延长、缩短或调整下巴位置,改善下巴后缩或前突导致的面部比例失调,适应人群主要为骨骼发育异常导致的面部轮廓问题,且非手术方法(如瘦脸针、填充)无法改善者;部分患者可能存在因骨骼问题引发的咬合功能障碍,如下颌角过大导致颞下颌关节紊乱,需通过手术矫正,但削骨手术风险较高,可能涉及出血、感染、神经损伤(如下牙槽神经损伤导致下唇麻木)、骨骼愈合不良或术后不对称等,需选择正规医院和经验丰富的医生,术前需进行全面影像学检查(CT、三维重建)评估骨骼结构。

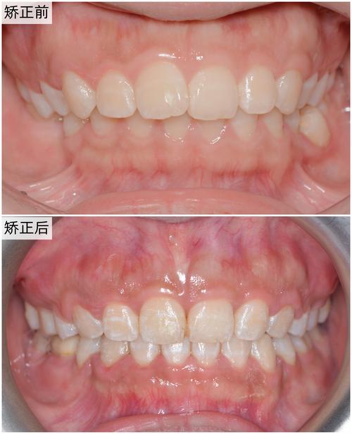
矫正牙齿是口腔正畸范畴,通过施加持续、温和的力,使牙齿在牙槽骨内缓慢移动,调整排列位置和咬合关系,常见矫正方式有传统金属托槽矫正,性价比高,适用复杂牙齿问题(如严重拥挤、深覆合);陶瓷托槽矫正,托槽颜色接近牙齿,美观度提升;隐形矫正,利用透明牙套逐步移动牙齿,可自行摘戴,方便清洁,适合轻度到中度牙齿不齐;舌侧矫正,将托槽粘在牙齿内侧,完全隐形,但对医生技术要求高,适应人群包括牙齿拥挤、稀疏、龅牙(上颌前突)、地包天(下颌前突)、深覆盖、开颌等各类牙齿排列异常及咬合问题;青少年(12-18岁,骨骼发育高峰期)和成人皆可矫正,但青少年矫正周期可能更短,效果更稳定,矫正周期通常为1-3年,期间需每月复诊调整,佩戴保持器防止复发,同时需注意口腔卫生,避免托槽周围龋坏。
削骨手术与矫正牙齿的核心差异可通过以下表格对比:
| 项目 | 削骨手术 | 矫正牙齿 |
|---|---|---|
| 性质 | 外科手术,需截骨/重塑骨骼 | 非手术/微创,通过外力移动牙齿 |
| 目标人群 | 骨骼发育异常导致的面部轮廓问题 | 牙齿排列/咬合异常(如拥挤、龅牙等) |
| 治疗周期 | 1-3个月(手术+恢复) | 1-3年(含保持期) |
| 风险等级 | 高(感染、神经损伤、不对称等) | 中(牙根吸收、牙龈萎缩、复发等) |
| 恢复期 | 3-6个月(完全消肿、骨骼稳定) | 1-2周(适应期),期间可能有口腔不适 |
| 费用范围 | 3万-10万(根据手术类型和医院等级) | 1万-5万(根据矫正方式和材料) |
相关问答FAQs
削骨手术和矫正牙齿可以同时进行吗?
通常不建议同时进行,优先顺序需根据问题类型决定:若以牙齿咬合问题为主(如严重地包天导致咀嚼困难),应先进行正畸治疗,调整牙齿排列和咬合关系,为后续骨骼手术(如下颌前突矫正)建立咬合基础;若以面部骨骼轮廓问题为主(如下颌角肥大且无咬合异常),可先进行削骨手术,待骨骼稳定后再矫正牙齿(若存在牙齿问题),两者间隔建议至少6个月,避免手术创伤相互影响,降低并发症风险。
削骨和矫正牙齿能改善哪些面部问题?
削骨手术主要改善骨骼轮廓问题:如下颌角截骨可消除“方脸”,打造V型下颌线;颧骨内推可降低颧骨高度,使面部更柔和;颏成形术可调整下巴长度,改善“短下巴”或“长下巴”导致的面部比例失调,矫正牙齿主要通过调整牙齿位置影响面部中下1/3:如龅牙矫正后,嘴唇不再前突,侧面轮廓更流畅;地包天矫正可改善“月牙脸”,使面部更对称;牙齿拥挤矫正后,嘴唇不再因牙齿外凸而显突兀,笑容更自然。


