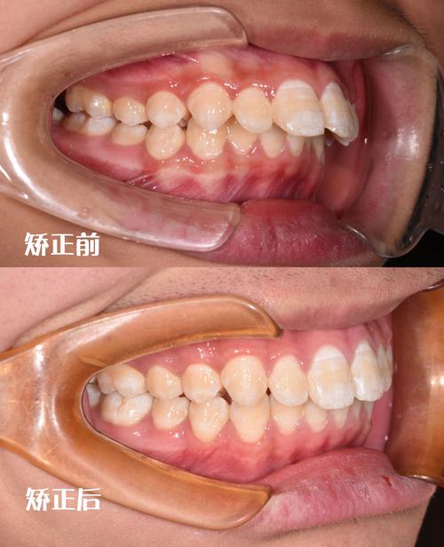
龅牙(医学上称上颌前突或双颌前突)不仅影响面部美观,可能导致“凸嘴”外观,还可能引发咬合功能障碍,如咀嚼效率低、发音不清,甚至因牙齿拥挤增加龋齿和牙周病风险,在上海这样注重生活品质的城市,越来越多龅牙患者选择通过牙齿矫正改善口腔健康与面部轮廓,本文将详细介绍上海龅牙矫正的方式、流程、费用及注意事项,帮助患者全面了解矫正过程。
上海龅牙矫正的常见方式
目前上海主流的龅牙矫正方式包括传统金属托槽矫正、陶瓷托槽矫正、隐形矫正及舌侧矫正,每种方式在美观度、舒适度、适用人群和价格上存在差异,具体对比如下:

| 矫正方式 | 优点 | 缺点 | 适用人群 | 价格参考(元) |
|---|---|---|---|---|
| 传统金属托槽 | 技术成熟,性价比高,适应性强 | 美观性差,易刮嘴,清洁难度大 | 青少年、复杂错颌畸形患者 | 15000-30000 |
| 陶瓷托槽 | 托槽颜色接近牙齿,美观度提升 | 强度略低于金属,易染色 | 对美观有要求的患者 | 20000-35000 |
| 隐形矫正(如隐适美) | 完全隐形,可自行摘戴,舒适度高 | 价格高,对复杂病例效果有限 | 轻中度龅牙、成年职场人士 | 35000-60000 |
| 舌侧矫正 | 完全隐藏在牙齿内侧,美观度最高 | 技术难度大,适应期长,价格昂贵 | 对美观要求极高、经济条件好者 | 50000-80000 |
矫正流程详解
上海正规口腔机构的龅牙矫正流程通常分为四个阶段,需患者严格配合以确保效果:
- 初诊检查:包括口腔检查(牙齿排列、龋齿、牙周情况)、拍摄X光片(全景片、头颅侧位片)分析颌骨关系、取牙模制作数字化模型,医生综合评估后制定个性化方案。
- 戴牙套:根据方案选择矫正器,传统矫正需粘接托槽并结扎钢丝,隐形矫正则通过3D打印技术定制多副牙套,患者需分阶段佩戴。
- 定期复诊:传统矫正每4-6周调整一次力度,更换钢丝或橡皮圈;隐形矫正每6-8周复诊,医生检查牙齿移动进度并更换下一副牙套,整个矫正周期通常为1.5-3年。
- 保持阶段:拆除牙套后需立即佩戴保持器(透明压膜保持器或 Hawley 保持器),前6个月需全天佩戴,之后逐渐过渡至夜间佩戴,持续1-3年以防止复发。
费用参考与机构选择
上海龅牙矫正费用因医院等级、医生资历和矫正方式差异较大,公立医院(如上海第九人民医院、瑞金医院口腔科)价格透明,传统矫正约1.5万-3万元,隐形矫正3.5万-5万元;私立高端口腔机构(如拜博、瑞尔齿科)服务更细致,价格上浮20%-30%,舌侧矫正可达8万元,建议选择有正畸专科资质的医生,查看其案例数量和复杂病例处理经验,避免因低价选择非正规机构导致矫正失败。
注意事项
- 口腔卫生维护:戴传统托槽需使用正畸牙刷、牙缝刷,避免食物残留引发龋齿;隐形矫正需每日清洁牙套,饮食时摘下,避免染色或变形。
- 饮食调整:避免过硬(坚果、骨头)、黏性(口香糖、年糕)食物,减少托槽脱落风险;隐形矫正饮食时可摘下牙套,但需注意进食后及时清洁牙齿再佩戴。
- 复诊依从性:按时复诊是确保矫正进度的关键,延误可能导致牙齿移动异常,延长矫正时间。
- 心理准备:矫正初期可能出现牙齿酸痛、口腔溃疡等不适,通常1周内缓解;需耐心等待牙齿缓慢移动,避免频繁要求加快进度。
相关问答FAQs
龅牙矫正的最佳年龄是什么时候?
答:矫正年龄因个体情况而异,儿童青少年(8-14岁)处于生长发育高峰期,对于骨性龅牙(上颌骨发育过度),可通过功能矫治器(如上颌前方牵引)引导颌骨生长,降低成年后正颌手术概率;成年患者(18岁以上)颌骨已定型,主要通过移动牙齿改善,矫正时间可能稍长(约1.5-3年),但效果稳定,建议尽早咨询专业正畸医生评估,尽早干预可缩短疗程、降低难度。
隐形矫正和传统矫正怎么选?
答:选择需结合美观需求、错颌严重程度和经济条件,隐形矫正美观度高、可自行摘戴,适合轻中度龅牙、职场人士或对形象要求高者,但价格较高,且对复杂病例(如严重拥挤、骨性问题)效果有限;传统矫正性价比高、适应性强,适合青少年或复杂错颌畸形患者,但美观性较差,建议医生面诊后,通过数字化模拟牙齿移动效果,再结合个人需求选择合适方案。


