康圆口腔作为国内知名的专业口腔连锁机构,在牙齿矫正领域深耕多年,凭借先进的数字化技术、专业的正畸团队和个性化的矫正方案,已帮助数万名患者成功实现牙齿健康与美观的重塑,牙齿矫正不仅是排列牙齿,更是对口腔功能、面部美学及长期健康的全面改善,康圆口腔始终以“精准、舒适、长效”为核心,为不同年龄段的患者提供一站式矫正服务。
康圆口腔矫正牙齿的完整流程
牙齿矫正是一个系统性工程,康圆口腔通过标准化流程确保每个环节精准可控,具体分为以下五个阶段:

-
初诊检查与数据采集
患者首次到院后,医生会进行全面口腔检查,包括牙齿排列、咬合关系、牙周状况、颞下颌关节健康等,采用数字化设备采集数据:使用3D口扫仪快速获取牙齿形态数据,拍摄全景片、头颅侧位片等X光片,分析骨骼发育情况,必要时还会进行CBCT检查(针对复杂病例),这些数据是后续方案设计的基础,能精准反映牙齿及颌骨的真实状态。 -
方案设计与沟通确认
康圆口腔的专家团队会结合患者的主观需求(如美观、功能改善)和客观数据,通过AI正畸模拟系统生成多种矫正方案,对于牙齿拥挤的患者,系统可模拟“拔牙矫正”与“不拔牙矫正”的效果对比;对于成人患者,还会结合面部美学设计牙齿的排列位置,医生会与患者一对一沟通,讲解方案细节(如矫正周期、费用、预期效果),确保患者充分理解并参与决策。 -
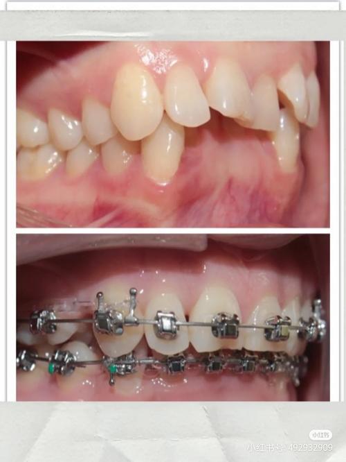
矫正器适配与治疗启动
方案确定后,根据选择矫正器类型(传统金属托槽、陶瓷托槽、隐形牙套、舌侧托槽等)进行个性化制作,传统托槽需通过专业粘接技术固定在牙齿表面;隐形牙套则基于3D数据打印每一副牙套,确保牙齿按计划移动,康圆口腔采用进口粘接材料和高精度制作工艺,保障矫正器的舒适性与稳固性。 -
定期复诊与动态调整
矫正期间,患者需每4-6周复诊一次,医生会检查牙齿移动进度、调整矫正力度(如更换弓丝、加力隐形牙套),并处理可能出现的问题(如托槽脱落、口腔溃疡),对于青少年患者,还会定期监测颌骨发育情况,及时调整方案,康圆口腔建立患者专属档案,通过数字化系统追踪牙齿移动轨迹,确保矫正过程与方案高度一致。
(图片来源网络,侵删) -
矫正完成与保持器佩戴
当牙齿排列整齐、咬合关系稳定后,进入保持阶段,医生会拆除矫正器,制作个性化保持器(透明压膜保持器或舌侧丝保持器),并指导患者正确佩戴,保持器是防止复发的关键,康圆口腔要求患者最初需全天佩戴(除进食、刷牙外),6个月后逐渐过渡到夜间佩戴,并建议终身定期复查,确保长期效果。
康圆口腔矫正的核心优势
-
数字化技术贯穿全程
康圆口腔率先引入数字化正畸体系,从初诊口扫、方案模拟到矫正器制作,全程依托3D打印、AI算法等技术,通过数字化方案设计,可提前预见矫正后的牙齿排列效果及面部变化,误差控制在0.1mm以内;隐形牙套采用医用级高分子材料,厚度仅0.1-0.2mm,兼顾美观与舒适,且可自行摘戴,方便清洁。 -
专业正畸团队保驾护航
康圆口腔的正畸医生均具备硕士及以上学历,平均临床经验10年以上,团队涵盖儿童早期矫正、成人复杂矫正、骨性畸形矫正等细分领域,针对疑难病例(如严重骨性错颌、颞下颌关节紊乱),还会联合口腔外科、牙周科等多学科专家会诊,制定综合性治疗方案。 -
个性化方案与舒适化体验
康圆口腔拒绝“流水线”矫正,强调“一人一方案”,对于儿童患者,采用早期干预技术(如MRC矫治器),利用生长发育潜力引导颌骨正常发育,避免成年后正颌手术;对于成人患者,结合职业、美观需求,推荐陶瓷托槽(半隐形)或舌侧矫正(完全隐形),实现“悄悄变美”,通过轻力矫治技术,减少牙齿移动过程中的不适感,缩短适应周期。
(图片来源网络,侵删) -
严格的质控与终身服务
康圆口腔建立完善的质控体系,矫正器制作前需经过3次数据校验,确保精准度;治疗过程中,医生每周跟踪患者牙齿移动数据,及时调整方案,矫正结束后,提供终身免费复查服务,定期评估牙齿稳定性,降低复发风险。
常见矫正方式对比
为帮助患者选择适合的矫正方式,康圆口腔整理了主流矫正器的特点,具体如下表:
| 矫正方式 | 特点 | 优势 | 不足 | 适用人群 | 参考价格(万元) |
|---|---|---|---|---|---|
| 传统金属托槽 | 金属托槽粘接于牙齿表面,通过弓丝施加力量 | 经济实惠、适用范围广(复杂病例首选) | 美观性差、口腔异物感强 | 青少年、牙齿问题复杂者 | 5-3.0 |
| 陶瓷托槽 | 托槽为透明陶瓷材质,接近牙齿颜色 | 半隐形、美观度较高 | 材质较脆、易染色(需避免咖啡、茶等) | 成年人、对美观有要求者 | 5-4.0 |
| 隐形牙套 | 可摘戴的透明牙套,每副牙套精确移动牙齿0.1-0.2mm | 完全隐形、舒适度高、方便清洁 | 价格较高、需严格佩戴(每天20小时以上) | 轻中度错颌、成人白领、学生 | 5-6.0 |
| 舌侧矫正 | 托槽粘接于牙齿舌侧面,完全隐形 | 隐形效果最佳、个性化定制 | 价格昂贵、口腔异物感强、清洁难度大 | 对美观要求极高、经济条件允许者 | 0-8.0 |
矫正期间的护理要点
- 口腔卫生维护:矫正期间食物易嵌塞,需采用“巴氏刷牙法”每天刷牙3次,每次3分钟,配合牙线、冲牙器清洁牙缝;避免使用含酒精的漱口水,以免腐蚀托槽粘接剂。
- 饮食禁忌:少吃硬食(如坚果、骨头)、粘食(如口香糖、年糕),避免托槽脱落;啃食苹果、玉米时需切成小块,防止损坏矫正器。
- 疼痛管理:初戴矫正器或复诊加力后,牙齿可能出现轻微酸胀,可通过温盐水漱口、服用布洛芬缓解;若托槽刮伤口腔,可使用正畸蜡保护。
真实案例分享
28岁的王女士因“牙齿拥挤+龅牙”影响美观,长期不敢露齿笑,在康圆口腔,医生通过3D口扫发现其存在牙列拥挤(中度)、深覆盖(上前牙突出5mm),结合面部美学分析,为其设计“隐形矫正+少量邻面去釉”方案,经过18个月矫正,牙齿排列整齐,龅牙问题改善,侧脸线条更柔和,笑容自然度显著提升,王女士表示:“隐形牙套几乎不影响生活,医生每次复诊都会耐心调整,效果超出预期!”
相关问答FAQs
Q1:矫正牙齿会不会很疼?
A:牙齿矫正过程中,初期(戴矫正器后1周内、每次复诊加力后)可能出现轻微酸胀感,属于正常现象,通常3-5天会缓解,康圆口腔采用“轻力矫治”技术,通过数字化系统精确控制牙齿移动速度,将疼痛感控制在可耐受范围内,若疼痛剧烈,可及时联系医生调整方案。
Q2:矫正后牙齿会反弹吗?如何预防?
A:牙齿矫正后存在一定反弹风险,主要与矫正效果、保持器佩戴及口腔习惯有关,康圆口腔会在矫正结束后制作个性化保持器,并要求患者严格佩戴(最初6个月全天佩戴,之后夜间长期佩戴),医生会指导患者避免不良习惯(如咬唇、吐舌),并建议每半年复查一次,通过早期干预降低反弹概率。
