牙齿矫正过程中,拔牙是部分患者需要面对的决策,尤其是涉及拔上门牙时,往往因其位于“美学区”而引发更多关注,拔上门牙并非“洪水猛兽”,而是医生在综合评估口腔状况、面部美学、咬合功能等多重因素后,为达成矫正目标可能采取的必要手段,本文将详细解析拔上门牙的原因、考量因素、流程、风险及替代方案,帮助患者全面了解这一过程。
为什么可能需要拔上门牙?
牙齿矫正的核心目标是建立稳定的咬合关系、协调的面部轮廓及健康的口腔功能,当口腔存在以下问题时,拔上门牙可能成为优化方案:

牙齿严重拥挤,空间不足
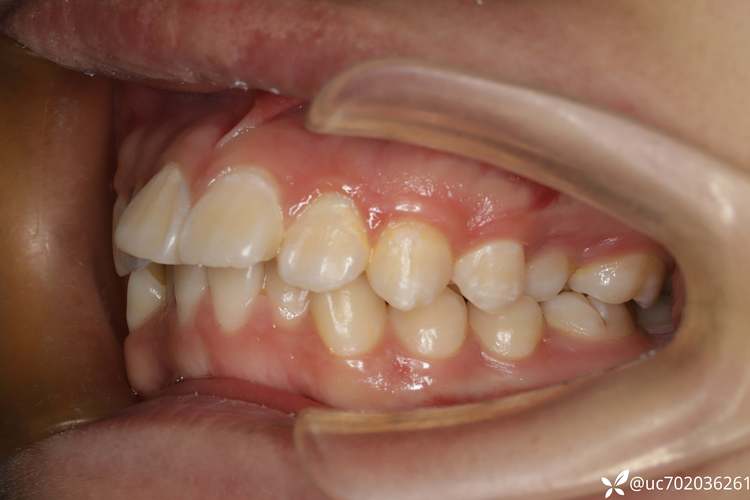
这是拔牙最常见的指征之一,若上颌牙弓空间不足以容纳所有牙齿(如天生牙弓狭窄、牙齿过大、或多生牙占据空间),牙齿便会排列拥挤、重叠,甚至扭转,通过拔除1-2颗上门牙(通常为第一前磨牙,少数情况拔切牙),可释放足够空间,将拥挤的牙齿排齐,避免“排齐后仍前突”的尴尬。
前牙深覆盖或深覆合,改善侧貌
“龅牙”(上颌前牙突出下颌)是常见的牙齿畸形,不仅影响美观,还可能导致咬合创伤、唇部闭合困难,若患者上颌前牙过度前突,单纯靠移动牙齿难以内收至理想位置,此时拔除上门牙(如第一前磨牙)后,可以利用拔牙间隙将前牙整体向后移动,从而改善“凸嘴”问题,使侧面部轮廓更协调。
中线偏斜,调整咬合对称性
若因牙齿拥挤、乳牙早失或不良习惯导致上下颌中线不一致(如上门牙向左偏,下颌向右偏),可能需要拔除偏斜侧的牙齿,通过移动对侧牙齿恢复中线对称,确保咬合受力均匀。
面部美学需求
对于“短面型”或上唇丰满的患者,上门牙过长会加重“上唇前突”感,拔除部分牙齿并内收前牙,可减少上唇突度,使面部比例更和谐,反之,若患者面部凹陷,则会尽量避免拔牙,以维持前牙对唇部的支撑。

拔上门牙的考量因素:医生如何决策?
是否拔牙、拔哪颗牙,需通过专业评估综合判断,以下为关键考量维度:
| 考量因素 | 拔牙倾向 | |
|---|---|---|
| 拥挤度 | 用“现有牙弓长度-牙齿所需宽度”计算,拥挤度>8mm通常需拔牙。 | 拥挤度越大,拔牙概率越高;轻度拥挤可通过扩弓或去釉解决。 |
| 咬合类型 | 安氏II类(上颌前突)、III类(下颌前突)畸形,或深覆合(上牙盖下牙过多)。 | II类深覆盖常拔上颌前磨牙;III类类尽量避免拔上颌牙,以下颌拔牙为主。 |
| 面部比例 | 测量上下唇突度、鼻唇角、颏部丰满度,判断前牙位置对面型的影响。 | 上唇前突明显者倾向拔牙内收;面部凹陷者保留前牙支撑。 |
| 年龄与生长发育 | 青少年(生长发育期)可通过颌骨调整减少拔牙;成人(颌骨定型)需依赖牙齿移动。 | 青少年可能优先选择扩弓;成人拔牙概率更高。 |
| 牙周健康状况 | 牙周炎患者需先治疗炎症,若牙槽骨吸收严重,拔牙风险更高,需谨慎选择。 | 牙周健康者拔牙安全性更高;牙周病患优先考虑非拔牙方案。 |
拔牙矫正的详细流程
拔牙矫正并非“一拔了之”,而是系统治疗中的一环,需严格遵循以下步骤:
术前全面评估
包括口腔检查(牙齿数量、形态、龋坏情况)、取模(制作牙颌模型)、X光片(曲面断层片、头颅侧位片)、口内扫描(数字化牙颌模型)等,通过计算机模拟预测拔牙后的牙齿移动效果,制定个性化方案。
拔牙时机与选择
通常在矫正初期(戴矫治器后1-2周)拔牙,此时牙齿尚未大幅移动,可减少对牙根的刺激,拔牙优先选择第一前磨牙(位于尖牙与第一磨牙之间),原因有三:一是位置靠后,拔牙后前牙移动距离短,效率高;二是牙根形态规则,拔牙难度低;三是拔除后对前牙切割功能影响小,若切牙(门牙)存在严重龋坏、牙根吸收或形态异常,也可能直接拔除切牙。

矫正过程中的间隙管理
拔牙后,医生会通过矫治器(如传统托槽、隐形牙套)逐步将间隙关闭:
- 排齐阶段:利用间隙将拥挤的牙齿排齐,建立基本弓形;
- 内收阶段:通过“滑动法”或“关闭曲法”,将前牙向后移动,关闭拔牙间隙;
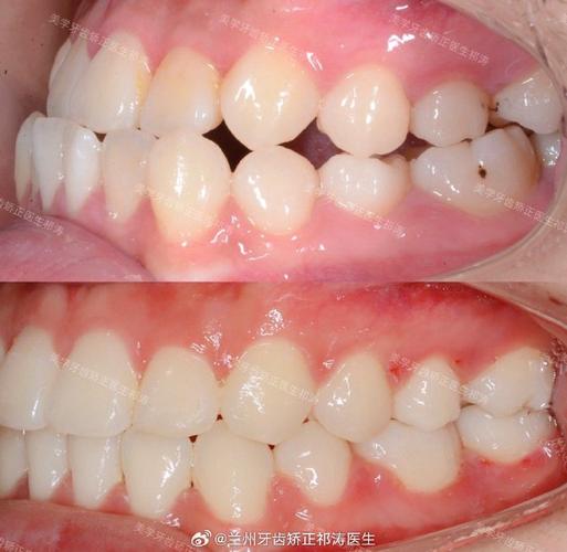
- 精细调整:调整咬合关系、改善牙轴倾斜度,确保后牙咬合稳定。
保持阶段:防止复发
矫正结束后,需佩戴保持器(如透明保持器、 Hawley 保持器)至少2年,前6个月需全天佩戴,之后逐渐减少夜间佩戴时间,这是防止牙齿复发的关键,尤其拔牙后牙齿位置易受肌肉、舌头力量影响而移动。
拔上门牙的风险与应对
尽管拔牙矫正技术成熟,但仍需关注潜在风险,并通过规范操作降低概率:
短期美观影响
拔牙后,因牙齿尚未完全移动,可能出现“门牙间缝隙”“黑三角”(牙间缝隙暴露牙龈),或因暂时性牙根吸收导致牙齿轻微松动,此类问题通常在间隙关闭后会逐渐改善,无需过度担忧。
长期面部支撑问题
上门牙(尤其是切牙)对上唇支撑作用显著,若过度内收可能导致上唇内陷、面部“瘪进去”,医生会通过头影测量精确计算前牙移动的安全范围,确保面部美学不受影响。
牙根或神经损伤
上门牙牙根较长,靠近上颌窦,但专业医生可通过X光定位牙根位置,采用微创拔牙技术,避免损伤牙神经或上颌窦,术后若出现鼻塞、流涕等上颌炎症状,需及时就医处理。
牙齿复发
若矫正后未坚持佩戴保持器,或存在不良习惯(如咬唇、吐舌),可能导致牙齿再次拥挤或前突,终身保持良好的口腔习惯是维持矫正效果的核心。
替代拔牙的方案有哪些?
对于拔牙有顾虑的患者,医生会根据具体情况尝试非拔牙矫正,但需满足适应症:
扩大牙弓
通过扩弓器(如螺旋扩弓器、快速扩弓器)增加牙弓宽度,为拥挤牙齿创造空间,适用于轻度拥挤、牙弓狭窄的患者,但可能复发,且可能扩大上颌骨,影响面部宽度。
邻面去釉(IPR)
通过磨除少量牙齿邻面 enamel(釉质),每颗牙可释放0.25-0.5mm间隙,总间隙可达4-6mm,适用于轻度拥挤、牙齿大小比例协调的患者,需严格掌握磨除量,避免牙齿敏感。
推磨牙向后
通过矫治器(如头帽口外弓、种植钉)将第一磨牙向后移动,释放前牙间隙,适用于磨牙前倾、后牙有足够空间的患者,但移动效率较低,可能延长矫正时间。
术后注意事项与长期维护
拔牙矫正期间,患者需密切配合治疗,以确保效果:
- 拔牙后护理:24小时内避免刷牙漱口,勿用患侧咀嚼,遵医嘱服用消炎药;
- 口腔卫生:矫正期间使用正畸牙刷、冲牙器,避免食物残积导致龋坏或牙周炎;
- 饮食调整:避免过硬、黏性食物(如坚果、口香糖),防止矫治器脱落或牙齿损伤;
- 定期复诊:每4-6周复查一次,医生根据牙齿移动情况调整矫治力。
相关问答FAQs
Q1:拔上门牙后,老了牙齿会更容易松动脱落吗?
A:不会,牙齿松动脱落的主要原因是牙周病(牙槽骨吸收)或龋齿导致的牙齿缺损,与矫正拔牙无直接关系,拔牙矫正后,若保持良好的口腔卫生(每天刷牙两次、使用牙线)、定期洗牙、佩戴保持器,牙齿可稳定存留至老年,相反,若因害怕拔牙而强行排齐严重拥挤的牙齿,可能导致咬合创伤,反而加速牙周组织损伤。
Q2:拔上门牙会影响发音或笑起来不好看吗?
A:短期可能出现发音轻微变化(如“s”音),但随着牙齿位置调整和适应,通常1-2周内可恢复正常,笑起来的美观度反而可能改善:若原本因“龅牙”导致笑时牙龈暴露过多,拔牙内收后前牙位置更协调,笑容更自然;若拔牙后出现暂时性“黑三角”,可通过修复(如树脂贴面)或牙龈成形术改善,最终效果取决于医生的方案设计和患者的配合度。
拔上门牙是牙齿矫正中一项严谨的医疗决策,需在专业医生评估下权衡利弊,随着正畸技术的发展,现代拔牙矫正已兼顾功能与美学,只要选择正规机构、严格遵循治疗方案,多数患者能获得满意的矫正效果。
