牙齿拥挤是口腔正畸领域最常见的错颌畸形类型,表现为牙齿在牙弓内排列紊乱、相互重叠或扭转,不仅影响面部美观,还可能引发清洁困难、龋齿、牙周病、咬合功能异常等问题,据统计,我国约70%的错颌畸形患者存在不同程度的牙齿拥挤,而矫正过程中是否需要拔牙,成为许多患者和家属最纠结的核心问题,拔牙并非矫正的“必选项”,而是医生在全面评估口腔状况、面部特征及生长发育情况后,为实现长期稳定治疗效果而采取的“精准手段”。
牙齿拥挤的根源:为何“空间”成为难题?
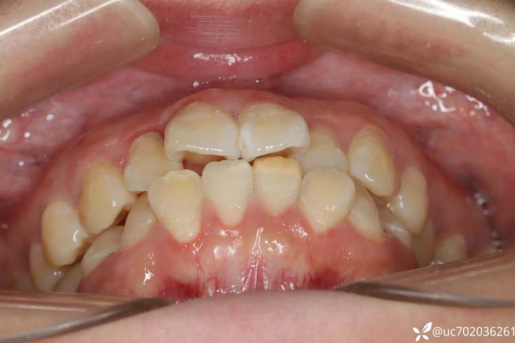
牙齿拥挤的本质是“牙量-骨量不匹配”——即牙齿总宽度超过了牙弓所能容纳的空间,就像小房间试图摆放太多家具,必然导致拥挤杂乱,这种不匹配的成因复杂:

- 遗传因素:父母牙颌骨狭窄或牙齿过大,子女可能遗传相关特征;
- 替牙期障碍:乳牙早失导致邻牙移位、恒牙萌出空间不足,或乳牙滞留阻碍恒牙正常萌出;
- 不良习惯:长期吮指、咬唇、口呼吸等,可能压迫牙弓发育,导致骨量不足;
- 牙齿形态异常:过大牙、锥形牙或多生牙,会额外占用有限空间。
当拥挤程度较轻时,可通过扩大牙弓、邻面去釉(磨除少量牙釉质)等方式“挤”出空间;但中重度拥挤(如上下牙弓总拥挤度超过10mm)、存在牙齿完全重叠或严重扭转(>45°)时,单纯靠移动现有牙齿难以实现稳定效果,此时拔牙“减数”成为更优解。
拔牙矫正的“决策逻辑”:医生如何判断是否拔牙?
拔牙并非“拍脑袋”决定,而是基于多维度数据的科学评估,正畸医生会通过临床检查、影像学资料和模型分析,综合以下关键因素:
(1)拥挤程度与间隙需求
这是最直接的考量指标,上牙弓拥挤度超过8mm、下牙弓超过6mm时,单纯靠扩大牙弓可能损伤牙周或导致面型突变,拔牙创造的空间更可靠。
(2)Bolton指数:牙齿大小的“比例密码”
Bolton指数是衡量上下颌牙齿总宽度是否协调的指标(前牙比正常值为77.2%±1.72%,全牙比为91.3%±1.91%),若患者上颌牙齿相对下颌过大(如前牙比<75%),即使拥挤度不高,也可能需拔除上颌部分牙齿,避免前牙“深覆盖”(“龅牙”)或咬合紊乱。

(3)面部突度与唇形:美观与功能的平衡
对于自然状态下嘴唇前突(上唇突度>3mm)、微笑时露龈过多或闭唇时颏肌紧张的患者,拔牙后通过内收前牙,可减少唇部前突度,使面部比例更协调,相反,若患者面部 already 平坦(“直面型”),医生会尽量避免拔牙,防止内收过度导致“瘪嘴”。
(4)牙周与牙根状况
牙齿移动的基础是健康的牙周组织,若患者存在牙周炎、牙槽骨吸收或牙根弯曲、融合,拔牙风险较高,需先治疗牙周病,或选择非拔牙方案。
(5)年龄与生长发育潜力
青少年患者处于生长发育高峰期,可通过颌骨生长(如使用功能性矫治器)扩大牙弓,减少拔牙概率;而成年人骨量已固定,更依赖拔牙等“减数”手段创造空间。
为更直观展示,以下为拔牙矫正的核心考量因素及临床意义:
| 考量因素 | 具体指标/表现 | 临床意义 |
|---|---|---|
| 拥挤程度 | 上下牙弓总拥挤度>10mm;单牙弓拥挤度>6mm;牙齿完全重叠或严重扭转(>45°) | 重度拥挤单纯非拔牙矫正难以解除,易导致矫正后复发或咬合异常 |
| Bolton指数 | 前牙比<77.2%;全牙比<91.5% | 牙齿大小比例不协调时,拔牙可调整牙量匹配,避免前牙深覆盖或反颌 |
| 面部突度与唇形 | 上唇前突(突度>3mm);微笑露龈;闭唇颏肌紧张 | 拔牙内收前牙可改善唇部丰满度,使面部比例更协调,避免“凸嘴”或“瘪嘴” |
| 牙周与牙根状况 | 牙周健康(无骨吸收、牙龈萎缩);牙根形态正常(无弯曲、融合) | 牙周条件差者需先治疗;牙根异常可能影响牙齿移动稳定性 |
| 年龄与生长发育 | 成年人(骨量固定);青少年(可利用生长潜力扩大空间) | 青少年可能避免拔牙,成年人更依赖拔牙等“减数”手段 |
拔牙后的“牙齿搬家”:矫正流程与效果保障
拔牙并非“结束”,而是牙齿重新排列的“开始”,拔牙后,医生会通过精密的矫治装置(如传统托槽矫治器、隐形矫治器),按照“关闭拔牙间隙—调整咬合—精细定位”三步走,实现牙齿的有序移动:
(1)拔牙时机与位置选择
通常在矫正初期(戴入矫治器后1-3个月)拔牙,此时牙齿尚未移动,可预留充足间隙,最常拔除的是上下颌第一前磨牙(位于尖牙与第一磨牙之间),原因有三:一是位置居中,便于前后牙均匀移动;二是对咀嚼功能影响最小;三是牙根形态规则,移动稳定性高。
(2)间隙关闭机制:牙齿的“集体协作”
拔牙后,医生会通过“滑动法”或“关闭曲法”,将后牙前移、前牙后移,逐步关闭间隙,拔除上颌第一前磨牙后,上颌后牙会向近中(靠近中线)移动,上前牙会向舌侧(向内)移动,最终使牙齿排列整齐、咬合紧密,这一过程依赖牙槽骨的“改建”——牙齿受压侧牙槽骨吸收,受牵拉侧牙槽骨增生,从而实现平稳移动。
(3)效果稳定性的关键:保持与咬合调整
矫正结束后,需佩戴保持器(通常为透明压膜保持器或 Hawley 保持器)至少1-2年,防止牙齿复发,医生会精细调整咬合关系,确保上下牙尖交错吻合、受力均匀,避免因咬合异常导致牙齿移位或颞下颌关节紊乱。
拔牙矫正的“利”与“弊”:客观看待风险与收益
(1)拔牙的“利”:从功能到美的全面提升
- 解决拥挤,降低口腔疾病风险:牙齿排列整齐后,清洁无死角,龋齿、牙周病发生率显著降低;
- 改善咬合功能:纠正咬合创伤、磨牙等问题,提升咀嚼效率,减轻胃肠负担;
- 优化面部美观:对“凸面型”患者,前牙内收后嘴唇轮廓更自然,侧面线条更流畅;
- 长期稳定性高:临床研究显示,拔牙矫正患者10年后牙齿稳定率达92%,与非拔牙组无显著差异。
(2)拔牙的“弊”:风险可控,无需过度担忧
- 面部形态轻微改变:仅表现为拔牙侧(如颊部)轻微凹陷,而非“脸垮”,且软组织会适应性调整;
- 矫正时间延长:需多1-3个月关闭间隙,但总体仍在18-24个月的正常范围内;
- 对医生技术要求高:需精确控制牙齿移动方向,避免牙根吸收或咬合紊乱,选择正规医疗机构可规避风险。
常见误区澄清:关于拔牙的“谣言”
-
误区1:“拔牙会让牙齿变松”
事实:矫正过程中牙齿轻微松动是正常现象(牙槽骨改建所致),间隙关闭后松动度会恢复正常,只要保持口腔卫生、遵医嘱复诊,牙齿不会因拔牙或移动而脱落。 -
误区2:“拔牙后牙齿会向中间空隙倒”
事实:现代正畸技术通过“支抗控制”(如种植钉、支抗弓丝)确保牙齿按预定方向移动,拔牙间隙会均匀关闭,不会出现牙齿倾斜。
相关问答FAQs
Q1:矫正拔牙后,牙齿会一直松动吗?
A1:不会,矫正过程中牙齿会有轻微松动(这是正常移动表现),但间隙关闭后,牙槽骨会重建,牙齿会重新稳固,矫正结束后佩戴保持器(通常1-2年),可防止牙齿复发,长期稳定性与未拔牙矫正者无差异。
Q2:所有牙齿拥挤都需要拔牙吗?
A2:不是,轻度拥挤(拥挤度<4mm)可通过扩大牙弓(如使用扩弓器)或邻面去釉解决;青少年患者若处于生长发育高峰期,可能利用颌骨生长增加空间,是否拔牙需医生通过X光片(全景片、头颅侧位片)、模型测量等综合评估,并非“一刀切”。
