拔掉四颗牙齿矫正在口腔正畸领域是一种常见的治疗手段,很多人听到“拔牙”可能会感到担忧,但实际上这是一种经过科学评估、为了达到更好治疗效果的必要措施,正畸的核心目标是通过移动牙齿,建立稳定的咬合关系、改善面部美观以及维护口腔长期健康,而拔牙正是实现这一目标的重要手段之一。
为什么需要拔四颗牙齿矫正?
牙齿在口腔中的排列需要满足“牙齿量”与“骨量”的平衡,当牙齿量大于骨量时,就会出现牙齿拥挤、排列不齐;或者当上下颌骨关系异常(如龅牙、地包天),单纯移动牙齿无法解决问题时,就需要通过拔牙释放空间,为牙齿移动创造条件,拔四颗牙齿通常适用于以下几种情况:

牙齿严重拥挤
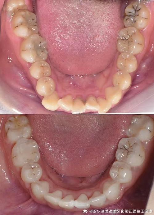
这是最常见的拔牙原因,如果牙齿过多,而牙弓空间不足,牙齿就会相互挤压、扭转、重叠,甚至部分牙齿完全被挤出牙弓外,此时拔除部分牙齿(通常为前磨牙),可以为其他牙齿提供移动空间,使其排列整齐,不仅改善美观,还能避免清洁困难导致的龋齿、牙周病等问题。
前牙深覆盖(龅牙)或深覆合
部分患者存在上颌前牙过度前突(龅牙)或上牙盖下牙过多(深覆合)的情况,这往往与上下颌骨大小、牙齿数量不匹配有关,通过拔除上下颌各两颗前磨牙,可以利用拔牙后的空间将前牙向后移动,改善牙齿突度,使上下颌关系更协调,嘴唇闭合更自然,侧面轮廓更美观。
上下颌牙量不匹配
比如上颌牙齿过多、下颌牙齿过少,或者相反,导致咬合关系紊乱,拔除四颗牙齿(通常上下颌各两颗)可以调整上下颌牙齿的数量比例,建立稳定的咬合接触,避免咬合创伤或颞下颌关节问题。
为修复或种植提供空间
部分患者因牙齿缺失需要做种植牙或修复,但邻牙位置不佳,缺乏足够的修复空间,此时通过拔除少数牙齿,移动邻牙至合适位置,可以为后续的修复治疗创造条件。

拔哪四颗牙?通常选择第一前磨牙
在拔四颗牙齿矫正的方案中,医生最常选择的是上下颌的第一前磨牙(位于尖牙和第二磨牙之间,每颗牙有一个较大的咬合面),选择这颗牙的原因主要有三点:
- 位置适中:位于牙弓中段,拔除后既能为前牙移动提供空间,也能为后牙调整留有余地;
- 功能影响小:第一前磨牙的咀嚼功能相对第二磨牙较弱,拔除后对咀嚼效率的影响较小;
- 牙根形态简单:通常为单根或双根,牙根直且短,拔除难度较低,对周围组织的损伤风险小。
具体拔哪颗牙需要根据患者的牙齿拥挤程度、咬合关系、面部形态等综合判断,个别情况下也可能选择第二前磨牙或其他牙齿,但第一前磨牙是最常见的选择。
拔牙矫正的流程:从评估到保持
拔牙矫正并非“拔完就戴牙套”,而是一个系统的治疗过程,需要严格把控每个环节:
术前全面评估
治疗前,医生会通过口腔检查、X光片(全景片、头颅侧位片)、CBCT(三维影像)等,分析患者的牙齿拥挤度、骨量、牙根形态、面部软组织情况以及颞下颌关节状态,判断是否需要拔牙、拔哪几颗牙,并制定详细的矫正方案。

拔牙时机
通常在矫正开始前拔牙,但也有特殊情况:比如患者有严重的牙周炎,需要先治疗牙周再拔牙;或者拔牙后需要等待创口愈合再戴矫治器,拔牙一般由口腔外科医生或正畸医生完成,拔牙后会有1-2周的愈合期,期间需注意口腔卫生,避免感染。
戴矫治器与牙齿移动
拔牙后,医生会根据患者情况选择矫治器类型(如传统金属托槽、陶瓷托槽、隐形牙套等),通过施加持续、轻柔的力,牙齿会在牙槽骨中缓慢移动:拔牙间隙两侧的牙齿会向中间靠拢,前牙会向后移动关闭间隙,后牙可能前移调整咬合关系,整个移动过程通常需要1.5-2年,期间每4-6周复诊一次,调整矫治力。
保持阶段
矫正结束后,牙齿需要时间在新位置稳定,此时必须佩戴保持器,前半年需全天佩戴(吃饭、刷牙时取下),之后逐渐过渡到夜间佩戴,保持器是防止牙齿复发的重要措施,不可忽视。
拔牙矫正的风险与注意事项
虽然拔牙矫正技术成熟,但仍需关注潜在风险和注意事项:
常见风险及应对
- 拔牙相关风险:如出血、感染、神经损伤(如下牙槽神经损伤可能导致下唇麻木,但概率极低,多为暂时性),选择正规医院和经验丰富的医生可降低风险;
- 牙齿移动风险:如牙齿移动过快导致牙根吸收(通常通过定期X光片监测,发生率较低)、咬合关系不佳(需医生精细调整方案);
- 复发风险:若矫正后未戴保持器、不良习惯(如吐舌、咬唇)未纠正,牙齿可能复发拥挤,需严格遵医嘱佩戴保持器,并纠正口腔不良习惯。
日常注意事项
- 口腔卫生:戴矫治器后食物易嵌塞,需使用正畸牙刷、牙缝刷、冲牙器等清洁,避免龋齿和牙周炎;
- 饮食调整:避免过硬(如坚果、骨头)、过黏(如口香糖、年糕)的食物,防止矫治器脱落或牙齿损伤;
- 定期复诊:严格按照医生时间复诊,及时调整矫治力,确保治疗效果;
- 心理适应:矫正初期可能出现牙齿酸痛、溃疡等不适,通常1周内缓解,无需过度焦虑。
拔牙矫正的效果:不止于“排齐牙齿”
很多人认为矫正只是为了“牙齿整齐”,但实际上拔牙矫正的效果远不止于此:
- 功能改善:建立稳定的咬合关系,提高咀嚼效率,避免咬合创伤导致的颞下颌关节紊乱;
- 美观提升:解除龅牙、地包天等畸形,改善面部轮廓(如嘴唇突度、下巴后缩),笑容更自然自信;
- 健康维护:牙齿排列整齐后,口腔清洁更方便,降低龋齿、牙周病风险,长期保护口腔健康。
不同错颌类型的拔牙矫正适用情况
为了更直观理解,以下通过表格总结常见错颌类型与拔四颗矫正的关联:
| 错颌类型 | 典型表现 | 拔牙目的 | 预期效果 |
|---|---|---|---|
| 牙齿严重拥挤 | 牙齿重叠、扭转、部分牙齿挤出牙弓 | 解除拥挤,提供排齐空间 | 牙齿整齐,易于清洁,避免邻面龋 |
| 前牙深覆盖(龅牙) | 上前牙前突,嘴唇闭合困难,侧面突 | 内收前牙,改善侧貌突度 | 嘴唇自然闭合,面部轮廓协调 |
| 上下颌牙量不匹配 | 咬合时上下牙齿交错过多或过少 | 调整牙齿数量比例,建立稳定咬合 | 咬合功能正常,避免关节紊乱 |
| 深覆合 | 上牙盖下牙过多,下颌显短 | 压低上前牙,升高下后牙,打开咬合 | 避免下颌创伤,改善面部高度 |
相关问答FAQs
Q1:拔四颗牙齿会让脸型变塌吗?
A:不会“变塌”,反而可能改善面部突度,拔牙后,前牙会向后移动,嘴唇前突的情况会得到缓解,侧面轮廓会更柔和,部分人担心拔牙后“脸瘪”,这通常与拔牙量过大或牙齿过度内收有关,但专业正畸医生会通过精确计算拔牙空间,确保在改善突度的同时保留适当的软组织支撑,避免面部凹陷,对于龅牙患者,拔牙矫正后脸型往往会更协调。
Q2:拔牙矫正后牙齿会松动吗?会不会容易掉?
A:矫正过程中牙齿出现轻微松动是正常现象,因为牙齿需要在牙槽骨中移动,牙骨会暂时改建,但矫正结束后,随着牙槽骨的稳定,牙齿会重新稳固,不会“容易掉”,相反,如果牙齿本身拥挤不齐,长期清洁不到位会导致牙周炎,反而会使牙齿松动脱落,拔牙矫正通过排齐牙齿,更有利于维护牙周健康,长期来看对牙齿稳固是有益的,矫正后需严格佩戴保持器,并定期复查,确保牙齿稳定在新位置。
