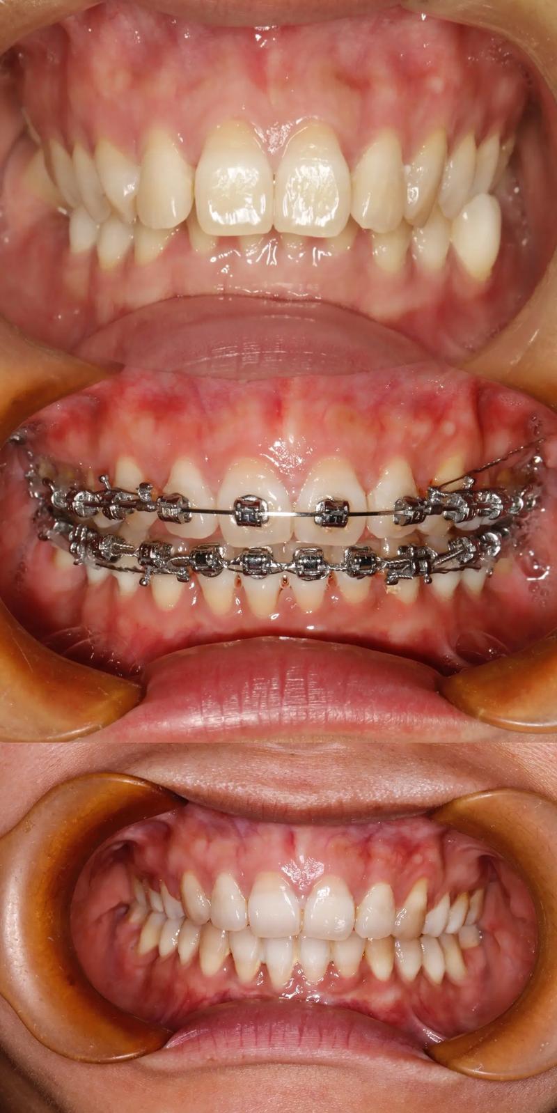
矫正牙齿过程中,门牙出现松动是许多患者常遇到的现象,尤其当牙齿开始移动或调整弓丝时,轻轻晃动门牙会感到“晃悠悠”,这让不少人担心“牙齿是不是要掉了”,矫正中牙齿松动大多是生理性过程,但需警惕异常松动信号,科学应对才能保障矫正效果和牙齿健康。
牙齿并非“长死”在牙槽骨中,而是通过牙周膜连接牙根与牙槽骨,牙周膜内含有神经、血管和胶原纤维,如同牙齿的“减震器”,矫正时,正畸医生通过施加持续、轻柔的力量,引导牙齿在牙槽骨内移动——受压侧的牙槽骨会逐渐吸收,牵引侧则会增生,这个“破骨-成骨”过程中,牙周膜会暂时处于“改建状态”,牙齿出现轻微松动(通常动度不超过1毫米)是正常的生理反应,门牙位于牙弓前方,是矫正中移动幅度较大的牙齿,受力集中,因此松动感可能比后牙更明显。

但并非所有松动都正常,需通过指标判断是否为病理性异常:
| 指标 | 正常松动(生理性) | 异常松动(病理性) |
|---|---|---|
| 动度 | 轻微晃动,≤1毫米 | 明显晃动,>2毫米或伸长感 |
| 疼痛感 | 无疼痛,咬合无不适 | 自发疼痛或咬合时疼痛加剧 |
| 牙龈状态 | 颜色粉红,无红肿出血 | 牙龈红肿、出血、萎缩或牙周袋形成 |
| 移动方向 | 沿矫正方向有序移动 | 出现非计划性倾斜、扭转或移位 |
| 伴随症状 | 无,口腔卫生良好时无其他异常 | 可能伴随牙齿敏感、咬合无力、牙根吸收影像 |
若门牙松动超出上述正常范围,需警惕病理性因素,常见原因包括:①矫正力度过大:医生施力超过牙槽骨改建承受能力,导致牙周膜损伤;②牙根吸收:多见于成年矫正患者或有根尖炎症史者,牙根逐渐变短,牙齿固位力下降;③牙周基础疾病:矫正前未控制的牙龈炎、牙周炎,牙槽骨已吸收,矫正中炎症加重;④口腔卫生不佳:食物残渣堆积引发牙菌斑,导致牙槽骨进一步破坏;⑤意外碰撞:外力撞击导致牙齿松动,甚至牙根损伤。
正常松动无需特殊处理,只需遵医嘱佩戴矫治器,保持口腔卫生,定期复诊让医生监控牙齿移动情况,异常松动则需及时复诊:医生会通过口腔检查、X光片判断原因,若为力度过大可调整弓丝或更换轻力矫治器;牙周问题需先进行牙周治疗(如洁治、刮治);牙根吸收严重者可能调整矫正方案,甚至终止矫正;意外撞击需评估牙髓活力,必要时进行根管治疗。
日常需避免咬硬物(如坚果、螃蟹壳、冰块),用软毛牙刷采用“巴氏刷牙法”清洁牙齿,配合牙线、冲牙器清除邻面菌斑,每3-6个月进行牙周检查,维护口腔健康。

相关问答FAQs
Q1:矫正中门牙松动多久能恢复正常?
A:生理性松动通常在牙齿移动到位、停止施力后2-4周逐渐缓解,随着牙槽骨改建完成,牙齿会重新稳固,若松动持续超过1个月或加重,需及时复诊排查异常。
Q2:门牙松动伴随疼痛,咬东西时更明显,怎么办?
A:疼痛伴咬合异常可能提示牙根吸收、牙周炎或牙髓损伤,需立即复诊,医生会通过X光片观察牙根情况,若为牙髓炎可能需根管治疗,牙周炎则需先控制炎症,避免牙槽骨进一步吸收。

