暴牙,医学上常称为牙齿前突,是指上下颌牙齿向前突出,导致嘴唇无法自然闭合,影响面部美观和咀嚼功能,在上海这样注重生活品质的城市,越来越多暴牙患者选择通过牙齿矫正改善问题,矫正不仅能提升颜值,更能维护口腔健康,但面对多样的矫正方式和机构,患者需全面了解才能做出合适选择。
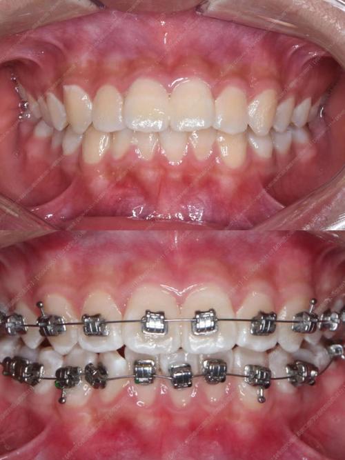
暴牙矫正的核心在于通过外力引导牙齿、牙槽骨及颌骨向正常位置移动,常见的矫正方式各有特点,传统金属托槽矫正性价比高,适用范围广,但美观性稍差;陶瓷托槽颜色接近牙齿,隐蔽性较好,但材质较脆;自锁托槽摩擦力小,可缩短矫正时间,复诊间隔较长;隐形矫正如隐适美、时代天使,可自行摘戴,美观舒适,适合对美观要求高的患者,但价格较高,复杂病例可能不适用;舌侧矫正完全隐藏在牙齿内侧,美观度最佳,但对医生技术要求极高,费用也最高,患者可根据牙齿畸形程度、美观需求及预算选择。

选择矫正机构时,医生资质是关键,上海正规的正畸医生需具备执业医师资格,且经过正畸专业培训(如硕士、博士学历或进修经历),建议优先选择公立医院口腔科或大型连锁私立诊所,这类机构通常配备数字化设备(如iTero口扫、CBCT),能精准分析牙齿情况,可通过查看医生案例库、患者评价了解其实际经验,面诊时重点询问矫正方案、预期效果及可能风险,确保沟通顺畅。
矫正流程通常包括初诊检查、方案设计、戴牙矫治、保持器佩戴四个阶段,初诊需进行口腔检查、取模、拍摄X光片,医生综合评估牙齿、颌骨及面部关系;方案设计阶段,医生会根据患者需求制定个性化计划,可能涉及拔牙、扩弓等;戴牙矫治是核心阶段,传统矫正需分次粘接托槽,隐形矫正则需定制多副牙套,每副佩戴1-2周,定期复诊调整力度;保持器佩戴至少2年,夜间为主,防止牙齿复发。
费用方面,上海暴牙矫正差异较大,传统金属托槽约1.5万-3万元,自锁托槽2万-4万元,陶瓷托槽2.5万-4.5万元,隐形矫正3.5万-6万元,舌侧矫正5万-8万元,费用受矫正方式、医生资历、机构类型影响,公立医院价格相对透明,私立诊所可能提供分期付款,建议选择正规机构,避免因低价选择无资质诊所,导致矫正失败。
矫正期间需注意口腔卫生,使用正畸专用牙刷、牙线、冲牙器,避免食物残渣堆积;饮食避免过硬、过黏食物,防止托槽脱落;初戴牙套可能出现疼痛、溃疡,属正常现象,可使用正畸蜡缓解;保持器需严格佩戴,否则牙齿可能反弹。
相关问答FAQs
-
暴牙矫正的最佳年龄是什么时候?
儿童青少年(8-12岁)骨性畸形可通过早期干预引导颌骨发育,成人因颌骨已定型,主要通过移动牙齿矫正,年龄并非绝对限制,只要牙周健康,任何年龄均可矫正,但成人矫正时间可能稍长。 -
矫正过程中牙齿会松动吗?会脱落吗?
矫正中牙齿轻微松动是正常现象,因牙齿需在牙槽骨中移动,移动结束后松动会逐渐消失,不会脱落,但需注意口腔卫生,避免牙周炎导致牙齿支持组织受损,否则可能影响矫正效果及牙齿稳定性。
