牙齿矫正不仅是改善美观的方式,更是关乎口腔健康与功能的重要选择,在众多口腔机构中,穗华口腔凭借其专业的技术团队、个性化的矫正方案以及完善的服务体系,成为许多牙齿畸形患者的信赖之选,无论是青少年常见的牙列拥挤、龅牙,还是成人存在的牙齿稀疏、咬合问题,穗华口腔都能提供针对性的矫正解决方案,帮助患者重拾健康自信的笑容。
穗华口腔在牙齿矫正领域的核心优势在于其“精准化、个性化、舒适化”的服务理念,在专家团队方面,穗华口腔汇聚了一批拥有十余年正畸临床经验的医生,他们均毕业于国内外知名院校,并定期参与国际正畸学术交流,掌握前沿技术,针对复杂病例,医生团队会联合口腔颌面外科、修复科等多学科专家进行会诊,确保矫正方案兼顾功能与美学,在技术设备上,穗华口腔引入了数字化矫正系统,通过3D口扫仪、CBCT影像设备等,可在10分钟内获取患者牙齿、颌骨、面部软组织的精准数据,结合AI方案设计软件,模拟出牙齿移动的全程轨迹,让患者在矫正前就能预见效果,避免传统矫正中“医生经验主导”的误差。

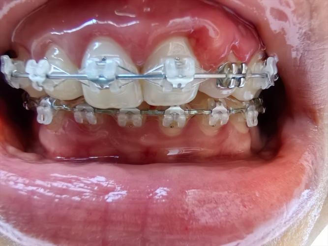
牙齿矫正技术的选择直接关系到矫正效果与体验,穗华口腔目前提供多种主流矫正方式,满足不同患者的需求,为方便患者对比,以下是各类矫正技术的详细说明:
| 矫正技术 | 特点描述 | 优势 | 适应人群 | 参考价格区间(元) |
|---|---|---|---|---|
| 传统金属托槽 | 使用金属托槽和弓丝,通过结扎丝固定 | 经济实惠,矫正力度强,适用范围广 | 牙齿畸形复杂、预算有限的患者 | 8000-15000 |
| 自锁托槽矫正 | 托槽带有闭锁装置,无需结扎丝,弓丝可自由滑动 | 复诊间隔延长(6-8周),疼痛感轻,效率高 | 对疼痛敏感、学业/工作繁忙的患者 | 15000-25000 |
| 陶瓷半隐形矫正 | 托槽采用透明陶瓷材料,接近牙齿颜色 | 美观度较高,抗染色,强度优于金属 | 对美观有要求、轻度至中度畸形患者 | 18000-30000 |
| 隐形矫正 | 使用透明高分子牙套,可自行摘戴 | 完全隐形,舒适度高,便于清洁 | 轻中度牙列拥挤、龅牙、牙齿稀疏等 | 25000-50000 |
| 舌侧矫正 | 托槽粘贴在牙齿内侧,完全外露 | 隐形效果最佳,个性化定制 | 对美观要求极高、经济条件好的患者 | 50000-80000 |
在矫正流程上,穗华口腔遵循“科学诊断-方案定制-精准实施-长期跟踪”的标准化服务,初诊时,医生会通过口内检查、曲面断层片、头影测量等数据,分析患者的牙齿问题类型、颌骨发育情况及面部美学比例;方案设计阶段,患者可参与方案讨论,结合自身需求调整细节;矫正实施中,医生会分阶段加力,并通过复诊监控牙齿移动速度,避免不必要的损伤;矫正结束后,需佩戴保持器1-2年,并定期回访,防止复发。
值得注意的是,牙齿矫正的效果不仅取决于医生技术,患者的配合度同样关键,穗华口腔的医生会在矫正前详细告知注意事项,如避免食用过硬、黏性食物(隐形矫正需摘下牙套进食),保持口腔卫生(使用正畸专用牙刷、牙缝刷),以及出现托槽脱落、疼痛加剧时及时复诊等,针对青少年患者,穗华口腔还提供“成长管理”服务,通过早期干预(如MRC矫治器),引导颌骨正常发育,降低后期矫正难度。
从临床案例来看,穗华口腔已成功帮助数万名患者实现牙齿蜕变,一位28岁的职场女性因“龅牙”导致自卑,选择隐形矫正,经过18个月的治疗,不仅牙齿排列整齐,侧颜线条也得到改善,重拾职场自信;另一位12岁的男孩因“地包天”影响咀嚼功能,通过双期矫正(先导萌后固定),纠正了咬合关系,促进了颌骨发育,这些案例印证了穗华口腔在功能与美学矫正上的综合实力。

相关问答FAQs
Q1:牙齿矫正过程中会出现疼痛吗?如何缓解?
A:牙齿矫正初期(佩戴后3-5天)及每次复诊加力后,可能会出现轻微酸胀感,属于正常现象,通常1周内会逐渐缓解,建议避免咀嚼过硬食物,可遵医嘱服用布洛芬等止痛药,或用冰袋敷面部减轻肿胀,若疼痛持续加剧或出现刺痛,需及时复诊检查是否存在托槽压迫或牙根吸收等问题。
Q2:矫正后牙齿会反弹吗?如何预防?
A:牙齿矫正后存在一定的反弹风险,尤其是若保持器佩戴不当或不良习惯(如吐舌、咬唇)未纠正,穗华口腔会在矫正结束后为患者定制专属保持器(通常为透明压膜保持器或舌侧丝保持器),要求每日佩戴至少22个月,期间每3-6个月复诊一次,检查牙齿稳定性,医生会指导患者纠正口腔不良习惯,从根本上降低复发概率。

