牙齿矫正器的佩戴已成为越来越多关注口腔健康与美观人群的选择,但“是否需要佩戴”“如何选择”“佩戴时要注意什么”等问题常让人犹豫,牙齿矫正不仅是“变美”,更是解决口腔健康隐患、提升生活质量的重要手段,本文将从矫正的必要性、常见矫正器类型、佩戴流程及注意事项等方面展开,帮助大家全面了解牙齿矫正。
为什么需要佩戴牙齿矫正器?
牙齿排列不齐、咬合异常等问题看似“小毛病”,实则可能引发一系列健康问题,牙齿拥挤会导致清洁困难,食物残渣堆积易引发龋齿、牙周炎;牙列稀疏可能影响咀嚼效率,增加胃肠负担;深覆合、深覆盖会加剧牙齿磨损,甚至诱发颞下颌关节紊乱(表现为张口弹响、疼痛);反颌(俗称“地包天”)则可能影响面部发育,导致自卑心理,整齐的牙齿能提升笑容自信,改善社交质量,因此矫正不仅是健康需求,也是心理需求。

常见的牙齿矫正器类型
随着技术发展,矫正器已从传统的“钢牙”发展为多种选择,不同类型适用于不同的牙齿问题和人群需求,以下是常见矫正器的对比:
| 类型 | 原理 | 优点 | 缺点 | 适用人群 |
|---|---|---|---|---|
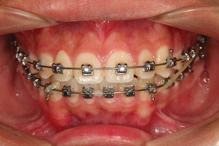
| 传统金属托槽 | 金属托槽粘接在牙齿表面,通过弓丝施加力 | 价格亲民,适用范围广(复杂错颌畸形) | 美观性差,口腔异物感强,易刮伤黏膜 | 牙齿严重拥挤、反颌、深覆合等复杂病例 |
| 陶瓷托槽 | 透明陶瓷材质托槽,与牙齿颜色相近 | 美观度较高,强度接近金属托槽 | 价格较高,脆性大,易染色(咖啡、茶等) | 对美观有要求,但无需完全隐形的成年人 |
| 舌侧矫正器 | 托槽粘接在牙齿舌侧面,完全隐藏 | 隐形性最佳,不影响外观 | 价格昂贵(是传统矫正的3-5倍),清洁难度大,初戴不适感明显 | 对美观要求极高、经济条件允许的成年人 |
| 隐形矫正器 | 透明牙套覆盖牙齿,通过更换牙套加力 | 完全隐形,可自行摘戴,舒适度高,方便清洁 | 价格较高(1.5万-5万元),需严格佩戴(每天22小时以上),复杂病例可能不适用 | 轻中度错颌畸形(如牙列稀疏、轻度拥挤),注重美观和便利的年轻人 |
佩戴矫正器的完整流程
牙齿矫正是一个“量体裁衣”的精细过程,通常包括以下步骤:
- 初诊检查:医生通过口腔检查、X光片(曲面断层片、头颅侧位片)、取模(或口扫)等,分析牙齿、颌骨、面部关系,判断是否需要矫正及矫正难度。
- 方案设计:根据检查结果,医生制定个性化方案,包括矫正目标、治疗周期(一般1-3年)、矫正器类型,并通过3D动画模拟矫正效果,患者确认后开始治疗。
- 粘接托槽/佩戴牙套:传统矫正需在牙齿表面酸蚀、粘接托槽,再安装弓丝;隐形矫正则通过3D打印技术定制牙套,患者自行佩戴。
- 定期复诊加力:每4-6周复诊一次,医生调整弓丝或更换隐形牙套,施加适当力使牙齿移动。
- 保持阶段:矫正结束后,牙齿需佩戴保持器(传统保持器或隐形保持器)1-2年,甚至终身(夜间佩戴),防止复发。
佩戴矫正器期间的注意事项
矫正期间,牙齿和牙周组织处于改建状态,需特别注意以下几点:
- 口腔卫生:矫正器易藏食物残渣,若清洁不到位,易导致龋齿和牙龈炎,建议使用正畸专用牙刷(如小头软毛牙刷)、牙线、冲牙器,每次进食后立即刷牙,睡前仔细清洁托槽周围。
- 饮食调整:避免食用过硬(坚果、骨头)、过黏(口香糖、年糕)、带壳(虾蟹)的食物,以防托槽脱落或弓丝变形;隐形矫正者虽可摘戴进食,但仍需避免染色食物(如咖啡、酱油),以免牙套变黄。
- 疼痛管理:初戴矫正器或每次加力后3-5天,牙齿可能出现酸痛,属正常现象,可通过温敷、吃软食缓解;若疼痛持续加剧或出现口腔溃疡,可涂抹正畸蜡保护黏膜,并及时复诊。
- 避免意外损坏:传统矫正者避免啃咬硬物,托槽脱落时保存好部件,及时联系医生处理;隐形矫正者需注意牙套佩戴时间,避免丢失或损坏。
矫正后的效果与维护
矫正完成后,牙齿排列整齐、咬合关系改善,不仅提升颜值,更能降低龋齿、牙周病风险,改善咀嚼功能,但牙齿具有“记忆性”,若不坚持佩戴保持器,可能出现复发,保持阶段需严格遵医嘱,定期复查(每3-6个月一次),同时保持良好的口腔习惯(如避免咬唇、吐舌等不良习惯)。

相关问答FAQs
Q1:矫正期间可以正常刷牙吗?会不会损坏矫正器?
A:可以正常刷牙,且需更频繁(每天至少3次),建议使用正畸专用牙刷,采用“巴氏刷牙法”(刷毛与牙齿呈45度角,小幅度水平震颤),重点清洁托槽周围和牙龈边缘,只要动作轻柔,不会损坏矫正器,反而能有效预防龋齿和牙龈炎。
Q2:成年人矫正效果会比青少年差吗?会不会反弹?
A:成年人矫正效果与青少年相当,但治疗时间可能稍长(因成年人牙槽骨改建速度较慢),反弹风险主要与保持器佩戴有关,而非年龄,只要在矫正后严格佩戴保持器(至少1-2年,终身夜间佩戴),并避免不良习惯(如咬硬物),基本可维持矫正效果。
