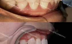
牙齿矫正美学矫正,是在传统牙齿矫正基础上,融合面部美学、微笑设计与口腔功能协同的综合性治疗理念,它不仅关注牙齿排列的整齐度,更强调矫正结果与患者面部轮廓、气质特征的和谐统一,让笑容自然、自信,兼具功能健康与视觉美感。
美学矫正的核心在于“个性化”与“整体性”,传统矫正多以“排齐牙齿”为目标,而美学矫正需综合考虑患者的面部比例(如三庭五眼)、微笑曲线(牙齿暴露量、牙龈形态)、唇齿关系(微笑时上唇与上前牙的位置)、咬合功能(咀嚼效率、颞下颌关节健康)等多维度因素,对于龅牙患者,单纯内收牙齿可能导致“瘪嘴”面容,美学矫正会通过代偿性设计(如适当保留少量前突)或联合正颌治疗,在改善突度的同时维持唇部饱满度;对于露龈笑患者,需结合牙龈切除术或正畸压低,让微笑时牙龈暴露量控制在2-4mm,符合“自然微笑美学”标准。

实现美学矫正的关键技术依托于数字化诊疗体系的成熟,通过口内扫描获取精准牙列数据,结合面部三维摄影、头影测量分析,医生可在数字化平台模拟矫正全过程,甚至预测治疗结束后的微笑效果,常见的美学矫正技术包括:
| 技术名称 | 特点 | 美学优势 |
|---|---|---|
| 隐形矫正(如隐适美) | 可摘戴的透明牙套,无托槽、无钢丝 | 几乎不影响美观,方便清洁,适合对美观要求高的成年患者 |
| 陶瓷托槽矫正 | 托槽采用透明陶瓷材质,接近牙齿颜色 | 半隐形效果,比传统金属托槽更美观,强度高,不易染色 |
| 舌侧矫正 | 托槽粘贴在牙齿舌侧面,完全隐藏在口腔内 | 完全隐形,社交零影响,适合对美观有极致需求的群体(如演员、主持人) |
| 数字化DSD微笑设计 | 结合面部分析、牙齿形态、牙龈曲线等,定制个性化微笑方案 | 精准设计牙齿长度、宽度、弧度,让笑容与面部特征高度匹配,如“定制式微笑” |
美学矫正的适用人群广泛,不仅包括牙齿拥挤、稀疏、龅牙、地包天等常见错颌畸形患者,还涵盖希望改善微笑美观度(如牙齿形态不佳、牙缝过大、微笑不对称)、提升面部轮廓(如改善“月牙脸”“下后缩”)的求美者,值得注意的是,美学矫正并非“网红脸”式的标准化改造,而是基于患者自身条件进行“优化设计”——对于方脸型患者,可通过适当延长牙齿视觉宽度(如制作牙体形态)增加柔和感;对于鹅蛋脸患者,则强调微笑时的“动态自然感”,避免过度雕琢的僵硬感。
治疗过程中,患者的配合度直接影响美学效果,隐形矫正需保证每日佩戴时间不少于20小时,陶瓷托槽需避免食用深色食物(如咖啡、酱油)以防染色,舌侧矫正则需适应初期对发音的影响,矫正后的保持至关重要,若不佩戴保持器,牙齿可能因牙周组织记忆性复发,导致美学效果前功尽弃。
FAQs

Q:美学矫正只适合年轻人吗?
A:并非如此,只要牙周健康状况允许(无严重牙周炎、牙槽骨吸收等),各年龄段均可进行美学矫正,成年患者因骨骼发育已完成,部分复杂病例可能需联合正颌手术或牙周治疗,但美学效果同样可控,中老年患者还可通过矫正联合修复(如种植牙、瓷贴面),同时解决牙齿排列、缺失及美观问题,实现“功能与美学双重年轻化”。
Q:做美学矫正一定会拔牙吗?拔牙会影响脸型吗?
A:拔牙与否需根据错颌类型、牙齿拥挤度、面部突度等综合判断,并非所有美学矫正都需要拔牙,对于轻度拥挤或面部凹陷者,可通过扩弓、磨牙远移等非拔牙方式解决,拔牙的目的是为牙齿排齐、内收提供空间,避免“强行排齐”导致的唇部塌陷、面型恶化,专业医生会在治疗前通过头影测量分析拔牙对面部软组织的影响,确保在改善美观的同时维持或优化面型轮廓,而非“破坏脸型”。

