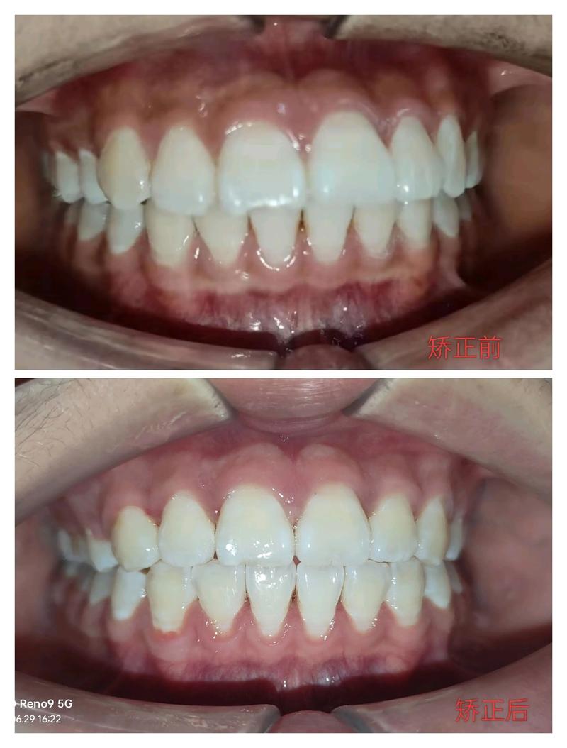
双颌前突是口腔正畸中常见的错颌畸形类型,主要表现为上下颌牙齿及牙槽骨同时向前突出,导致嘴唇无法自然闭合,侧面观呈“凸面型”,俗称“龅牙”,这种畸形不仅影响面部美观,还可能伴随咬合功能障碍、发音不清、牙龈萎缩等问题,甚至对心理健康造成负面影响,近年来,随着人们对口腔健康的重视,双颌前突的矫正需求逐渐增加,其矫正方案也因个体差异而多样化,需结合病因、严重程度及患者需求综合制定。
双颌前突的成因与危害
双颌前突的形成是多因素作用的结果,遗传因素是主要诱因之一,若父母存在双颌前突,子女患病的风险显著升高,后天因素也不容忽视:儿童时期的不良习惯,如长期吮指、咬唇、口呼吸、吐舌等,可能导致牙齿及颌骨向前异常发育;替牙期障碍,如乳牙早失、恒牙萌出顺序异常等,可能造成颌骨空间不足,迫使牙齿前突;部分疾病因素,如鼻呼吸道堵塞(如腺样体肥大)、内分泌失调等,也可能间接引发双颌前突。

从危害来看,双颌前突的影响涉及生理与心理双重层面,生理上,上下牙齿过度前突会导致咬合关系紊乱,如前牙深覆合、深覆盖,进而引发咀嚼效率降低、颞下颌关节紊乱(如张口弹响、疼痛);长期牙齿前突可能增加牙龈创伤风险,导致牙周炎;严重者甚至因嘴唇闭合不全,影响发音清晰度,心理上,面部“凸面型”外观易让患者产生自卑感,尤其在社交场合中不敢大笑或说话,对心理健康造成隐性伤害。
双颌前突的矫正方法
双颌前突的矫正需通过正畸治疗调整牙齿位置、改善颌骨关系,具体方案需由专业正畸医生根据患者年龄、骨骼发育情况、错颌严重程度等制定,目前主流的矫正方式包括传统托槽矫正、隐形矫正、舌侧矫正等,各具特点,适用人群也不同。
不同矫正方式的对比
| 矫正方式 | 原理 | 优点 | 缺点 | 适用人群 |
|---|---|---|---|---|
| 传统金属托槽矫正 | 通过金属托槽和弓丝施加持续力量,移动牙齿至理想位置 | 性价比高,力度稳定,适用复杂错颌(如严重双颌前突伴骨性问题) | 美观性差,口腔异物感强,刷牙清洁难度高 | 青少年、成人复杂病例 |
| 陶瓷托槽矫正 | 托槽材质为透明陶瓷,与牙齿颜色接近,原理同传统金属托槽 | 美观性提升,力度稳定,适合对美观有要求的患者 | 材质脆性较高,易损坏,价格高于金属托槽 | 成人轻中度双颌前突,注重美观者 |
| 隐形矫正(如隐适美) | 通过一系列透明牙套分阶段移动牙齿,每副牙套佩戴1-2周后更换 | 隐形美观,可摘戴,方便清洁,舒适度高 | 价格较高,对自律性要求高,严重骨性前突需联合正颌手术 | 成人轻中度双颌前突,无严重骨骼畸形者 |
| 舌侧矫正 | 托槽粘接在牙齿舌侧面,完全隐藏于口腔内 | 隐形效果最佳,不影响美观 | 价格昂贵,技术难度高,初期发音影响大,清洁难度极大 | 成人高美观需求,经济条件允许者 |
对于青少年患者,若处于生长发育高峰期(女孩8-10岁,男孩9-12岁),可通过功能性矫治器(如FRⅢ矫治器)引导颌骨向后正常发育,降低后期矫正难度,成人患者若存在严重骨性畸形(如下颌骨发育过度),单纯正畸效果有限,需联合正颌手术治疗,通过手术移动颌骨位置,再配合正畸精细调整牙齿咬合。
矫正过程中的注意事项
双颌前突矫正周期较长(通常为1.5-3年),患者需积极配合才能达到理想效果,口腔卫生维护至关重要,托槽周围易残留食物残渣,需使用正畸专用牙刷、牙线、冲牙器等工具彻底清洁,避免龋齿和牙龈炎,饮食需调整,避免啃咬硬物(如坚果、骨头)、黏性食物(如口香糖、年糕),防止托槽脱落或弓丝变形,需严格遵医嘱定期复诊(通常4-6周一次),医生会根据牙齿移动情况调整矫治力,确保矫正进度。

矫正结束后,需佩戴保持器防止复发,双颌前突尤其是遗传性或骨性因素导致的病例,复发风险较高,建议初期全天佩戴保持器(持续6-12个月),之后夜间长期佩戴,同时定期复查牙齿稳定性。
相关问答FAQs
Q1:双颌前突矫正的最佳年龄是什么时候?
A:双颌前突矫正的时机需分情况讨论:儿童替牙期(7-10岁),若存在不良习惯或颌骨发育异常,可通过功能性矫治器进行早期干预,引导颌骨正常生长;青少年恒牙早期(11-15岁),此时牙齿替换完成,颌骨仍有一定发育潜力,是传统矫正的“黄金期”,可通过固定矫治器高效调整牙齿位置;成人患者年龄无严格限制,只要牙周健康即可矫正,但严重骨性畸形可能需联合正颌手术,矫正周期相对较长。
Q2:矫正过程中牙齿酸痛正常吗?如何缓解?
A:牙齿酸痛是矫正过程中的常见现象,通常发生在加力后的1-3天,因牙齿受到矫治力移动,牙槽骨改建引发轻微疼痛,属于正常生理反应,无需过度担心,缓解方法包括:饮食上选择温凉、软质食物(如粥、酸奶、面条),避免咀嚼过硬食物;可局部冷敷面部(每次15-20分钟),减轻炎症反应;疼痛明显时,可在医生指导下服用非处方止痛药(如布洛芬),若酸痛持续超过1周或伴随剧烈疼痛、牙龈肿胀,需及时复诊检查。

