牙齿缺失是口腔中常见的问题,不仅影响美观和咀嚼功能,还可能导致邻牙倾斜、对颌牙伸长、牙周组织病变等一系列连锁反应,很多人认为“缺牙了就不能矫正牙齿”,其实这是一个误区,牙齿缺失后不仅可以进行矫正,而且通过科学的正畸治疗,往往能同时解决缺牙带来的多种问题,恢复口腔健康与功能,本文将详细解析牙齿缺失矫正的可能性、方法、流程及注意事项,帮助大家全面了解这一治疗选择。
牙齿缺失矫正的原理与可能性
牙齿矫正的核心原理是通过施加持续、轻柔的生物力,引导牙齿在牙槽骨中缓慢移动,从而达到排齐牙齿、调整咬合、关闭间隙或为修复创造空间的目的,牙齿缺失后,矫正的可行性主要取决于缺牙的位置、数量、患者的年龄、口腔健康状况以及治疗目标。

单颗牙缺失后,邻牙可能会向缺牙间隙倾斜,对颌牙则可能伸长,导致咬合紊乱,通过矫正可以将倾斜的牙齿直立,伸长的牙齿压低,既关闭了间隙,又恢复了正常的咬合关系;如果患者希望保留缺牙间隙以便后续种植修复,矫正也可以通过调整邻牙位置,为种植牙创造足够的空间和良好的骨条件,对于多颗牙缺失或全口牙缺失的情况,矫正同样可以通过移动剩余牙齿,集中间隙、改善咬合,为义齿(活动假牙、固定桥)或种植体支持的修复体提供基础。
需要注意的是,牙齿缺失矫正的前提是牙周组织健康,如果存在严重的牙周炎、牙槽骨吸收等问题,需要先进行牙周治疗,待炎症控制、骨条件稳定后再开始矫正,成年患者的牙槽骨改建速度较慢,治疗周期可能比青少年更长,但只要方案设计合理,同样能达到理想效果。
不同缺失情况的矫正方案选择
牙齿缺失的矫正方案需根据缺牙数量、位置及患者需求个性化设计,常见的方案包括以下几种:
单颗牙缺失的矫正
- 关闭间隙:适用于前牙区或后牙区小间隙,通过移动邻牙向缺牙区靠拢,直接关闭间隙,优点是无需修复,牙齿数量不变;缺点可能需要少量磨除邻牙(关闭后牙间隙时),或可能影响面部丰满度(后牙间隙关闭后咀嚼功能略有下降)。
- 保持间隙并修复:适用于后牙区大间隙或希望保留咀嚼功能的患者,通过矫正将邻牙直立,防止其倾斜,同时为种植牙或烤瓷牙桥修复创造空间,种植修复是目前公认的最佳方式,能恢复接近天然牙的功能和美观。
多颗牙缺失的矫正
- 间隙集中与修复:如果多颗牙缺失导致间隙分散,可通过矫正将剩余牙齿移动,将分散的间隙集中到某一区域,再通过种植桥或活动义齿修复,这种方式减少种植体数量,降低治疗成本。
- 正畸-种植联合治疗:对于骨量不足的缺牙区,可先通过矫正(如牵引骨皮质切开术、正畸压入等)改善牙槽骨条件,再进行种植,提高种植成功率。
全口牙缺失的矫正
- 配合全口义齿:对于剩余牙列条件较差的患者,可通过矫正调整剩余牙齿的位置和角度,使义齿的基托与牙槽骨更贴合,增强义齿的固位力。
- 种植支持的正畸修复:通过植入多颗种植体作为“牙根”,再结合正畸调整牙齿位置,最终制作种植支持的固定义齿,实现类似天然牙的咀嚼功能。
矫治器选择与治疗流程
牙齿缺失的矫正中,矫治器的选择需兼顾移动牙齿的效率、舒适度和美观需求,目前常用的矫治器包括:

| 矫治器类型 | 优点 | 缺点 | 适用情况 |
|---|---|---|---|
| 传统金属托槽 | 矫治力精准,性价比高,适用复杂病例 | 美观度差,舒适度较低 | 需要大范围移动牙齿、多颗牙缺失的复杂病例 |
| 陶瓷托槽 | 美观度较好,接近牙齿颜色 | 矫治力略弱于金属托槽,价格较高 | 对美观有要求的前牙区缺失矫正 |
| 隐形牙套(如隐适美) | 美观度高,可自行摘戴,舒适度高 | 矫治力相对温和,复杂病例需配合附件,价格高 | 缺牙数量少、移动不复杂的成年患者 |
| 舌侧托槽 | 完全隐形,不影响美观 | 矫治难度大,价格昂贵,适应期长 | 对美观要求极高、经济条件好的患者 |
治疗流程通常包括以下几个阶段:
- 初诊检查:进行口腔检查、X光片(全景片、头颅侧位片)、CBCT(评估骨量)、取模等,全面了解口腔状况。
- 方案设计:正畸医生根据患者需求、缺牙情况及检查结果,制定个性化方案,包括是否关闭间隙、是否需要种植、矫治器选择等,并与患者充分沟通。
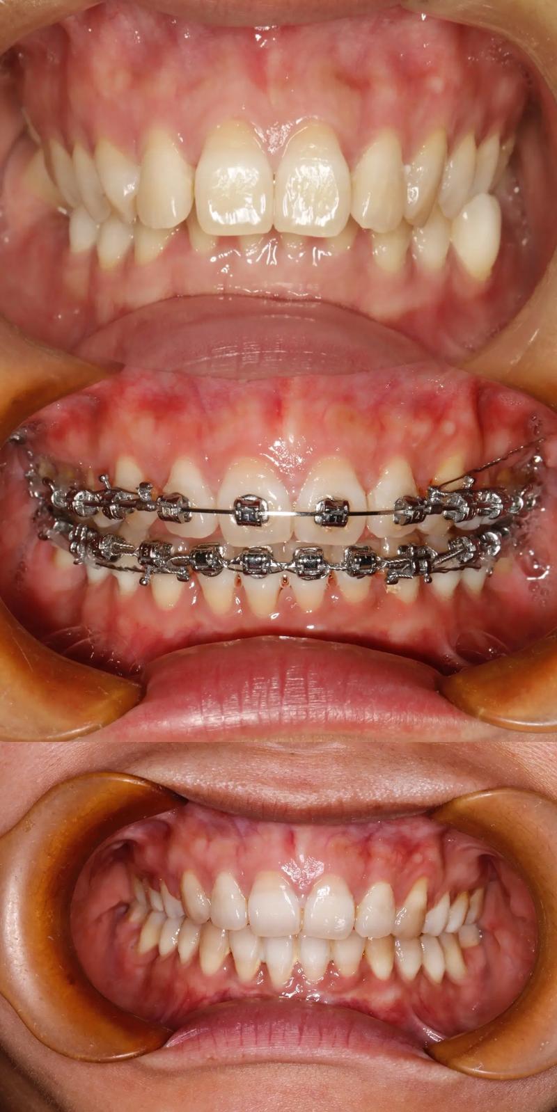
- 矫治器佩戴:根据方案选择合适的矫治器,传统托槽需粘接在牙齿表面,隐形牙套则需定制多副牙套,每1-2周更换一次。
- 复诊调整:通常每4-6周复诊一次,医生检查牙齿移动情况,调整矫治力,必要时添加附件或进行牵引。
- 保持与修复:矫正结束后,需佩戴保持器防止复发,若选择种植或修复,需在保持稳定后进行,确保修复体与矫正后的牙齿完美匹配。
牙齿缺失矫正的优势与注意事项
优势
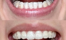
- 恢复功能与美观:通过矫正关闭间隙或为修复创造条件,恢复咀嚼效率和面部美观。
- 预防继发问题:避免邻牙倾斜、对颌牙伸长导致的咬合紊乱、牙周损伤等问题。
- 联合修复效果更佳:正畸可为种植牙等修复方式提供理想的空间和位置,提高修复体的长期成功率。
注意事项
- 治疗周期较长:牙齿移动速度较慢,尤其是成年患者,可能需要1-3年不等,需有耐心。
- 口腔卫生维护:矫正期间牙齿清洁难度增加,需使用正畸牙刷、牙线、冲牙器等工具,避免龋齿和牙周炎。
- 费用较高:矫正本身费用加上可能的种植或修复费用,总成本较高,需提前了解并做好预算。
相关问答FAQs
Q1:牙齿缺失矫正需要拔牙吗?
A:不一定是否需要拔牙,主要取决于缺牙数量、间隙大小及治疗目标,如果缺牙间隙较小,且希望关闭间隙,可能需要拔除对颌伸长的牙齿或邻牙以提供空间;如果缺牙间隙较大,或计划通过种植修复,则通常不需要拔牙,而是通过移动邻牙为种植体创造位置,具体是否拔需由医生根据检查结果和方案设计决定。
Q2:矫正后缺牙位置一定要种牙吗?
A:不一定,是否种牙取决于患者的需求、间隙大小、咬合功能需求及经济条件,如果缺牙位置在后牙区,且对咀嚼功能要求高,种植牙是最佳选择,能恢复接近天然牙的功能;如果前牙区间隙较小,或患者对活动义齿接受度高,也可通过活动义齿或烤瓷牙桥修复,但需注意,长期不修复缺牙间隙会导致邻牙倾斜、对颌牙伸长,影响口腔健康,因此建议在矫正后及时修复。

