牙齿畸形是口腔科常见问题,不仅影响面部美观,还可能导致咀嚼功能下降、口腔清洁困难甚至心理健康问题,随着正畸技术的发展,通过矫正治疗改善牙齿畸形已成为普遍选择,而“畸形矫正牙齿图片”作为直观的参考工具,能帮助患者了解畸形类型、矫正方案及预期效果,本文将结合图片示例,详细解析常见牙齿畸形类型、矫正流程及方法,为读者提供全面参考。
常见牙齿畸形类型及图片示例
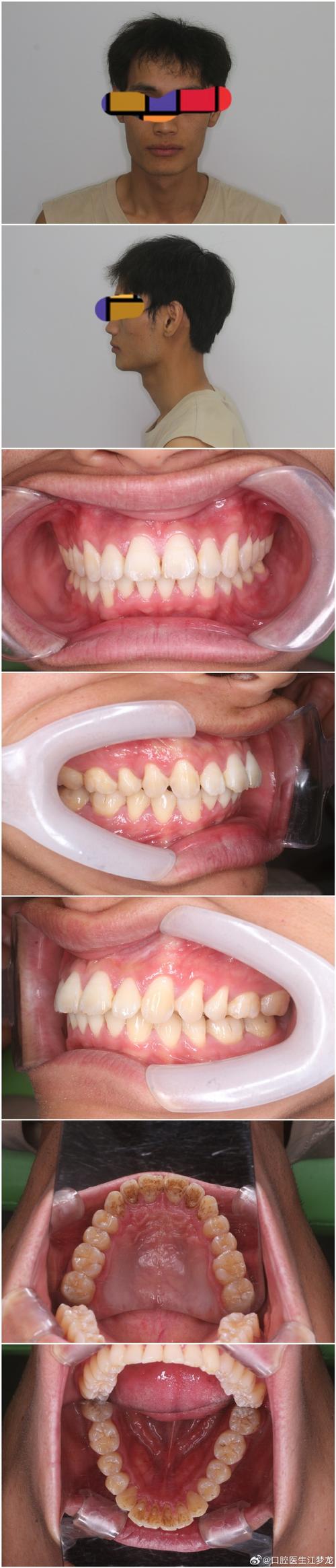
牙齿畸形的表现形式多样,通过典型图片可清晰识别不同类型,以下是临床常见的畸形类别及其特征描述(配合图片观察更直观):

龅牙(上颌前突)
图片特征:上颌牙齿明显超出下颌,嘴唇闭合时费力,侧面观可见“凸嘴”轮廓,部分患者伴随露龈笑,龅牙多与遗传、不良习惯(如咬唇、口呼吸)或替牙障碍有关,不仅影响美观,还可能增加前牙外伤风险,矫正后图片显示上颌牙齿回收,唇部形态自然改善。
地包天(反颌)
图片特征:下颌牙齿覆盖上颌牙齿,正面观呈“月牙脸”,侧面观下巴前突,地包天分为牙性反颌(仅牙齿排列异常)和骨性反颌(上下颌骨发育异常),后者可能需要配合正颌手术,矫正后图片可见上下颌牙齿咬合关系恢复正常,面部轮廓协调。
牙齿拥挤
图片特征:牙齿大小与颌骨空间不匹配,导致牙齿排列不齐、重叠,部分牙齿可能萌出不全(如“虎牙”外突),拥挤牙齿易藏匿食物残渣,引发龋齿、牙周病,矫正后图片显示牙齿整齐排列,牙列弧线流畅。
牙缝过大(散在间隙)
图片特征:牙齿间存在明显缝隙,多因牙量骨量不调(如过小牙)、牙周病或不良习惯(如咬笔)导致,图片可见牙齿间黑色间隙,影响美观和发音,矫正后图片通过关闭牙缝,牙列紧密贴合。

开颌与深覆颌
- 开颌:图片特征为上下颌牙齿在咬合时无接触,前牙或后牙呈“开口状”,可能与吮指、吐舌习惯有关,导致咀嚼效率低下。
- 深覆颌:图片显示上颌牙齿覆盖下颌牙齿过多,严重时可能咬伤上牙龈,引发牙周问题,矫正后图片可见咬合关系恢复正常,牙齿接触面积适宜。
矫正前的专业检查与图片解读
制定矫正方案前,医生需通过多项检查获取牙齿、颌骨及面部数据,相关图片是诊断的核心依据:
口腔内窥镜图片
清晰显示牙齿排列、龋齿、牙周状况及黏膜健康情况,帮助判断畸形是否伴随其他口腔问题,图片可见牙龈红肿、牙结石时,需先治疗牙周再开始矫正。
X光片检查
- 全景片(曲面断层片):图片展示全口牙齿、牙根、牙槽骨及颌骨情况,可判断是否存在埋伏牙、多生牙或牙根吸收。
- 头颅侧位片:通过测量骨骼角度(如SNA、SNB角)分析骨性畸形类型,是制定骨性畸形矫正方案的关键依据。
数字化模型与3D动画
利用口内扫描获取牙齿3D模型,生成矫正过程模拟动画,患者可通过图片直观了解牙齿移动路径、预期效果及治疗周期,增强治疗信心。
主流矫正方法及图片对比
不同矫正技术各有特点,以下通过表格对比常见方法,并附图片特征描述:

| 矫正方法 | 图片特征描述 | 优缺点 | 适用人群 |
|---|---|---|---|
| 传统金属托槽矫正 | 图片可见银色金属托槽粘贴于牙齿表面,弓丝嵌入托槽槽沟,橡皮圈用于调整咬合。 | 优点:性价比高、适用范围广;缺点:美观性差、口腔异物感强。 | 各类牙齿畸形,尤其复杂错颌畸形。 |
| 陶瓷托槽矫正 | 图片托槽为透明陶瓷材质,与牙齿颜色接近,弓丝仍为金属,整体美观度提升。 | 优点:兼顾美观与强度;缺点:托槽脆性较高,需避免啃咬硬物。 | 对美观有要求的中轻度畸形患者。 |
| 隐形矫正(隐形牙套) | 图片展示多副透明牙套,牙套紧密贴合牙齿,表面光滑无托槽,可自行摘戴。 | 优点:美观舒适、方便清洁;缺点:价格较高,对依从性要求高,复杂畸形效果受限。 | 轻中度拥挤、龅牙、牙缝过大等。 |
| 舌侧矫正 | 图片显示托槽粘贴于牙齿舌侧面,完全隐藏于口腔内,从外部看不到矫正装置。 | 优点:美观性最佳;缺点:异物感强、价格昂贵、清洁难度大。 | 对美观要求极高、经济条件允许者。 |
矫正过程中的阶段性变化图片
矫正治疗通常需1-3年,不同阶段牙齿变化可通过图片跟踪:
初始阶段(戴入矫治器后1-3个月)
图片显示牙齿无明显移动,但托槽、弓丝已就位,患者可能感到轻微酸胀,此阶段需注意口腔清洁,避免食物残渣堆积。
调整阶段(每4-6周复诊)
每次复诊医生会调整弓丝或更换托槽,图片可见牙齿逐渐向目标位置移动,拥挤患者图片显示牙齿间隙逐渐增大,龅牙患者图片可见上颌牙齿轻微回收。
保持阶段(矫正结束后)
拆除矫治器后需佩戴保持器,图片显示牙齿排列整齐,咬合关系稳定,保持器分为透明压膜式和 Hawley 保持器,前者图片为透明牙套状,后者为金属丝+树脂基托结构。
矫正后效果对比与维护
矫正前后对比图片是最直观的效果展示:左侧为畸形牙齿(如拥挤、龅牙),右侧为矫正后整齐的牙列、协调的咬合及改善的面部轮廓,为维持效果,需注意:
- 佩戴保持器:至少夜间佩戴1-2年,终身佩戴更佳;
- 避免不良习惯:如咬硬物、吐舌;
- 定期复查:每6个月检查一次牙齿稳定性及牙周健康。
相关问答FAQs
Q1:矫正牙齿过程中会疼吗?如何缓解?
A:矫正过程中牙齿移动会引起轻微酸胀感,通常在戴入矫治器或调整后3-5天内缓解,属于正常现象,可通过温盐水漱口、避免咀嚼过硬食物、遵医嘱服用非处方止痛药(如布洛芬)缓解,若疼痛持续加重或出现溃疡,需及时复诊调整。
Q2:矫正后牙齿会反弹吗?如何预防?
A:牙齿矫正后存在反弹风险,尤其是未佩戴保持器或保持不良,预防措施包括:严格按医嘱佩戴保持器(初期全天,后期仅夜间);避免用牙齿咬硬物(如坚果、螃蟹壳);纠正吐舌、咬唇等不良习惯;定期复查,医生会通过图片对比监测牙齿稳定性,必要时调整保持方案。
