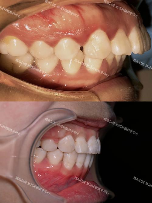
门牙内倾是常见的牙齿排列问题,指上颌中切牙(门牙)向口腔内部倾斜,牙冠长轴与正常牙列方向存在角度偏差,可能伴随牙齿拥挤、牙列不齐、深覆合等情况,从外观上看,门牙内倾可能导致“龅牙”反差(实际门牙位置靠后)、上唇扁平、笑容线不自然等问题;从功能角度看,可能影响咀嚼效率、发音清晰度,甚至因清洁困难增加龋齿、牙周炎风险,本文将从成因、危害、矫正方法及注意事项等方面详细解析门牙内倾的矫正问题。
门牙内倾的成因
门牙内倾的形成是多因素综合作用的结果,主要包括先天遗传和后天习惯两大类:

- 遗传因素:父母若存在牙齿排列异常、颌骨发育问题(如上颌骨发育不足、下颌骨发育过度),子女出现门牙内倾的概率较高,遗传因素导致的内倾通常伴随牙弓狭窄、牙齿整体排列异常,需通过正畸治疗调整。
- 后天习惯:儿童替牙期(6-12岁)的不良习惯是重要诱因,如长期吮指、咬唇(尤其是咬上唇)、吐舌、口呼吸等,这些习惯会持续对门牙施加异常力量,使其向内倾斜,咬唇习惯会使上唇压力压迫门牙舌侧,导致牙齿内收;吐舌习惯则可能因舌体前推下颌牙,造成上下牙弓关系不协调,间接引发门牙内倾。
- 替牙期障碍:乳牙早失、乳牙滞留或恒牙萌出顺序异常,可能导致邻牙移位,为恒牙萌出空间不足,迫使门牙向内倾斜萌出,乳牙早失后邻牙向缺隙移动,恒门牙萌出时因间隙不足只能向舌侧倾斜。
- 牙周问题:成年人因牙周炎导致牙槽骨吸收,牙齿支持力下降,也可能出现牙齿松动、移位,包括门牙向内倾斜,这种情况需先控制牙周炎症,再进行正畸治疗。
门牙内倾的危害
门牙内倾不仅影响美观,更可能对口腔功能和健康造成长期影响:
- 美观与心理影响:门牙作为“牙齿门面”,内倾会导致笑容不自信,甚至因露齿量少、上唇显平影响面部立体感,部分患者因此产生社交焦虑,尤其是青少年群体可能因外貌问题产生自卑心理。
- 口腔功能损伤:门牙内倾常伴随深覆合(上牙盖下牙过多),可能限制下颌运动,影响咀嚼效率;严重时可能干扰发音,如“s”“z”等齿音发音不清,内倾的门牙与下前牙的咬合关系异常,长期可能造成颞下颌关节紊乱,出现关节弹响、疼痛等症状。
- 口腔健康风险:内倾的门牙与邻牙重叠部分多,牙缝清洁困难,易堆积食物残渣和牙菌斑,增加龋齿(蛀牙)和牙龈炎、牙周炎的风险,若牙列拥挤严重,还可能形成“卫生死角”,进一步加剧口腔问题。
- 牙齿磨损:门牙内倾可能导致咬合时受力不均,部分牙齿承受过大咬合力,长期易出现牙釉质磨损、牙齿敏感,甚至牙折。
门牙内倾的矫正方法
门牙内倾的矫正需根据患者年龄、严重程度、病因(如牙性或骨性)选择个性化方案,核心目标是“排齐牙齿、调整咬合、改善面型”,以下是常用矫正方式:
传统固定矫治(金属托槽矫正)
通过金属托槽、弓丝等部件对牙齿施加持续、轻柔的力,将内倾的门牙逐步向唇侧移动,同时调整牙弓形态。
- 原理:利用弓丝的弹性形变和托槽的固定作用,通过“关闭间隙”“牙齿倾斜移动”“牙齿整体移动”等步骤,纠正门牙位置。
- 优点:性价比高,适用范围广,对复杂牙性内倾(如严重拥挤、深覆合)效果显著;医生控制力强,可精确调整牙齿移动方向。
- 缺点:美观度差(金属托槽明显),口腔清洁难度增加,部分患者初期可能不适(如口腔溃疡、异物感)。
- 适用人群:青少年及成人牙性门牙内倾,尤其适合需拔牙矫正(如牙弓狭窄、间隙不足)的患者。
隐形矫治(如隐适美、时代天使)
采用透明高分子材料制作可摘戴的牙套,通过每副牙套的微小形变,逐步移动牙齿至目标位置。

- 原理:通过3D数字化设计模拟牙齿移动过程,患者按序佩戴牙套(每副戴1-2周),通过“包裹式”力量轻柔推动门牙向唇侧移动,同时调整咬合关系。
- 优点:美观度高(牙套透明,不易察觉),可摘戴(方便进食、清洁),舒适度较好(无托槽摩擦),适合对美观要求高的患者。
- 缺点:价格较高,对患者依从性要求高(需每天佩戴20小时以上),复杂病例(如骨性问题、严重拥挤)可能需配合附件(如小树脂凸点)或辅助治疗。
- 适用人群:轻中度牙性门牙内倾,成人及配合度高的青少年,尤其适合对外观敏感的患者(如职场人士)。
舌侧矫治
将托槽粘贴在牙齿舌侧(内侧),完全隐藏于口腔内,达到“隐形”效果。
- 原理:与传统固定矫治类似,但托槽和弓丝均为定制,通过舌侧施力移动牙齿。
- 优点:美观度极高(完全隐形),适合对形象要求极致的患者。
- 缺点:技术难度大,价格昂贵(约为传统矫正的3-5倍),初期异物感、发音障碍明显,口腔清洁难度极大,需专业正畸医生操作。
- 适用人群:经济条件允许、对美观要求极高且能配合复杂操作的成人患者。
功能性矫治(儿童替牙期适用)
针对替牙期儿童因不良习惯或颌骨发育问题导致的门牙内倾,使用功能性矫治器引导颌骨和牙齿正常发育。
- 原理:通过矫治器(如MRC肌功能训练器、双垫矫治器)调整口腔肌肉功能(如纠正口呼吸、吐舌习惯),同时刺激上颌骨发育,为门牙萌出创造足够空间。
- 优点:早期干预,可避免错颌畸形加重,部分患者可避免成年后复杂矫正(如拔牙)。
- 缺点:适用年龄有限(通常8-12岁),需患者配合佩戴(每天14小时以上),对骨性问题的改善效果有限。
- 适用人群:替牙期儿童,因不良习惯或轻度颌骨发育异常导致的门牙内倾。
不同矫治方式对比
| 矫治器类型 | 美观度 | 舒适度 | 价格范围(元) | 适用人群 | 参考周期 |
|---|---|---|---|---|---|
| 传统固定矫治 | 低 | 中 | 8000-15000 | 青少年及成人复杂牙性病例 | 5-3年 |
| 隐形矫治 | 高 | 高 | 20000-50000 | 轻中度牙性病例、成人及高配合度青少年 | 1-2年 |
| 舌侧矫治 | 极高 | 低 | 50000-80000 | 对美观要求极致的成人 | 2-3年 |
| 功能性矫治(儿童) | 中 | 中 | 10000-20000 | 替牙期儿童(伴不良习惯或骨性问题) | 6-12个月 |
矫正注意事项
门牙内倾矫正周期长(通常1-3年),需患者与医生密切配合,以确保效果:
- 矫正前检查:需进行全面口腔检查,包括口腔全景片、头颅侧位片(评估骨性关系)、CBCT(观察牙根位置)、牙周健康检查(若有牙周炎需先治疗),排除矫正禁忌症。
- 口腔卫生维护:矫正期间食物残易滞留,需使用正畸专用牙刷(如小头牙刷)、牙线、冲牙器每日清洁,避免托槽周围龋坏;隐形矫治者需摘下牙套刷牙,避免牙套染色和细菌滋生。
- 饮食调整:避免过硬(如坚果、骨头)、黏性(如口香糖、软糖)食物,防止托槽脱落;传统矫治者需细嚼慢咽,避免咬硬物导致弓丝变形。
- 定期复诊:传统矫治一般4-6周复诊一次,隐形矫治每6-8周复诊一次,医生根据牙齿移动情况调整矫治力,确保矫正方向正确。
- 矫正后保持:拆除矫治器后需立即佩戴保持器(通常透明压膜保持器或传统 Hawley 保持器),前6个月需全天佩戴(吃饭、刷牙时取下),之后逐渐过渡到夜间佩戴,至少持续2年,防止复发(因牙齿周围组织改建需时间,新位置不稳定)。
相关问答FAQs
Q1:门牙内倾矫正需要拔牙吗?
A:是否拔牙需根据患者具体情况判断,若牙弓狭窄、牙齿拥挤严重(如内倾门牙与邻牙重叠过多),或存在“骨性 discrepancy”(如上颌骨发育不足、下颌骨发育过度),可能需通过拔牙(通常拔除第一前磨牙)为牙齿移动创造空间,内倾门牙才能向唇侧移动并排齐,若牙齿拥挤较轻、牙弓空间充足,可通过扩展牙弓(如使用扩弓器)避免拔牙,医生会通过 X 光片、模型分析等综合评估,制定拔牙与否的方案。

Q2:成年人矫正门牙内倾效果好吗?会不会反弹?
A:成年人矫正门牙内倾效果良好,只要牙周健康(无严重牙槽骨吸收)、依从性好,同样可实现牙齿排齐和咬合改善,但成年人与青少年相比,牙齿移动速度较慢(因牙槽骨密度更高),矫正周期可能稍长,反弹风险主要与矫正后保持有关:若按要求佩戴保持器(尤其是夜间长期佩戴),可有效防止牙齿回到原位;若未坚持佩戴,或存在不良习惯(如吐舌、咬唇),可能复发,矫正后严格保持是维持效果的关键。
