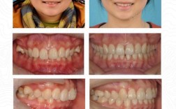
拔牙矫正牙齿数量是正畸治疗中一个核心且备受关注的问题,许多患者对“拔牙”存在恐惧心理,担心牙齿数量减少会影响口腔功能或美观,拔牙矫正并非“减少牙齿”,而是通过科学计算拔除部分牙齿,为剩余牙齿的排列和咬合关系的调整创造空间,最终实现健康、稳定、美观的矫治目标,拔牙数量的确定需要综合患者的口腔实际情况、骨骼发育、软组织侧貌等多方面因素,并非“拔越多越好”或“越少越好”,而是“恰到好处”的个体化方案。
拔牙矫正的核心目的:为何需要拔牙?
拔牙矫正是正畸治疗中常见的手段,其核心目的并非单纯减少牙齿数量,而是解决口腔中存在的多种问题:

- 解决牙齿拥挤:当牙弓长度不足以容纳所有牙齿时,会导致牙齿排列不齐、重叠、扭转(即“拥挤”),通过拔除部分牙齿,可释放牙弓空间,使剩余牙齿排列整齐,拥挤度超过10mm时,通常需要拔牙才能有效解除拥挤。
- 调整咬合关系:咬合异常(如深覆合、深覆盖、反颌、锁颌等)不仅影响咀嚼功能,还可能导致颞下颌关节紊乱、牙齿磨损等问题,拔牙可通过移动牙齿,建立稳定的咬合接触,改善咀嚼效率。
- 改善面部软组织侧貌:对于上颌前突(“龅牙”)或双颌前突的患者,拔牙后可通过内收前牙,减少唇部突度,使面部轮廓更协调美观。
- 为牙齿移动提供间隙:某些情况下(如修复缺失牙、纠正中线偏斜等),需要通过拔牙为牙齿的整体移动创造必要的间隙。
影响拔牙数量的关键因素
拔牙数量的确定是一个复杂的过程,正畸医生需通过全面检查和数据分析,综合评估以下因素:
牙齿拥挤度
牙齿拥挤度是决定是否拔牙及拔牙数量的核心指标,计算公式为:
拥挤度 = 现有牙弓弧长 - 必需牙弓弧长
- 现有牙弓弧长:牙弓中所有牙齿近远中接触点连线的总长度。
- 必需牙弓弧长:牙齿排列整齐所需的最小牙弓长度。
若拥挤度为正值,表示牙弓空间不足;正值越大,拥挤越严重,所需拔牙数量可能越多,轻度拥挤(拥挤度4-8mm)可通过扩大牙弓或邻面去解决;中度拥挤(8-12mm)通常需拔除1-2颗牙齿;重度拥挤(>12mm)可能需拔除2-4颗牙齿。
Bolton指数(牙量不匹配分析)
Bolton指数用于评估上下颌牙齿总量的协调性,分为前牙Bolton指数和全牙Bolton指数:
- 前牙Bolton指数 = 下颌6个前牙牙冠宽度总和 / 上颌6个前牙牙冠宽度总和 × 100%(正常值:77.2%±1.72%)
- 全牙Bolton指数 = 下颌12个牙齿牙冠宽度总和 / 上颌12个牙齿牙冠宽度总和 × 100%(正常值:91.3%±1.91%)
若Bolton指数异常(如下颌牙量相对过大或过小),可能导致上下颌牙齿无法正常咬合,此时需通过拔牙调整上下颌牙量比例,避免“深覆合”或“牙齿间隙过大”等问题。
面部软组织侧貌与骨骼型
患者的面部软组织形态(如唇部突度、颏部形态)和骨骼发育情况(如上下颌骨的位置关系)直接影响拔牙决策:

- 骨性Ⅰ类:上下颌骨位置关系正常,若伴有中度以上拥挤或前牙突度较大,通常拔除上下颌各1-2颗前磨牙(如第一前磨牙)。
- 骨性Ⅱ类:上颌前突或下颌后缩(“龅牙”),为改善侧貌常需拔除上颌2颗前磨牙,必要时下颌也拔除1-2颗,通过内收前牙改善突度。
- 骨性Ⅲ类:下颌前突或上颌后缩(“地包天”),若为牙性Ⅲ类,可能拔除下颌前磨牙;若为骨性Ⅲ类,拔牙需谨慎,需结合骨骼生长潜力综合判断。
生长发育阶段
- 青少年患者:处于生长发育高峰期,颌骨具有一定的生长潜力,可通过生长改良治疗(如功能矫治器)减少拔牙概率;若需拔牙,拔牙数量通常较少。
- 成人患者:颌骨已停止发育,无法通过生长调整解决问题,若存在拥挤或咬合异常,拔牙概率更高,且需更精细的牙齿移动控制。
口腔健康状况
若存在严重龋坏、牙周病或牙齿损伤的牙齿,医生会优先考虑拔除这些患牙,而非健康的牙齿,一颗无法保留的第一磨牙,可作为拔牙对象,既解决牙齿问题,又避免额外拔除健康牙。
常见拔牙模式与数量选择
根据错颌类型和个体差异,临床中常见的拔牙模式及数量如下表所示:
| 错颌类型 | 典型拔牙数量 | 拔牙牙位 | 适用情况 |
|---|---|---|---|
| 安氏Ⅰ类(中度拥挤) | 4颗 | 上下颌各拔除第一前磨牙(4号牙) | 上下颌拥挤度8-12mm,无明显面部突度 |
| 安氏Ⅱ类1类(上颌前突) | 4-6颗 | 上颌拔2颗前磨牙,下颌拔1-2颗前磨牙 | 上颌前突明显,深覆盖>5mm,伴中度拥挤 |
| 安氏Ⅱ类2类(上颌前牙深覆合) | 4颗 | 上下颌各拔除第一前磨牙 | 上颌前牙直立,深覆合,Spee曲线较深 |
| 安氏Ⅲ类(下颌前突) | 2-4颗 | 下颌拔除第一或第二前磨牙,上颌不拔或拔1颗 | 牙性Ⅲ类,下颌拥挤,反颌明显 |
| 双颌前突 | 4-8颗 | 上下颌各拔除2颗前磨牙(或第二前磨牙) | 上下颌前牙均前突,唇部丰满度不足 |
注:拔牙数量并非固定,例如轻度拥挤(拥挤度<8mm)可通过“非拔牙矫治”解决(如扩大牙弓、邻面去釉);若患者存在“牙弓大小与牙齿量不匹配”或“Bolton指数异常”,可能需调整拔牙数量,如下颌牙量过大时,即使拥挤度不大,也可能需拔除下颌牙齿。
拔牙数量的计算与间隙分配
确定拔牙数量后,需合理分配拔牙间隙,确保每颗牙齿都能移动到理想位置:
- 间隙需求计算:总间隙需求 = 拥挤度 + Spee曲线曲度(每mm Spee曲线需1mm间隙) + 必要的磨牙调整间隙(通常2-4mm)。
- 间隙供给:每颗前磨牙可提供约5-7mm的间隙(牙根宽度+移动距离),拔除2颗上颌前磨牙可提供10-14mm间隙,若总需求为12mm,则刚好满足。
- 间隙分配:拔牙间隙主要用于内收前牙(改善突度)、排齐后牙(调整咬合)及纠正中线(解决偏颌),上颌前突患者,拔牙间隙的60%-70%用于内收前牙,30%-40%用于调整后牙咬合。
拔牙矫正的风险与注意事项
拔牙矫正虽是成熟的治疗手段,但仍存在一定风险,需患者配合:
- 邻牙损伤:拔牙过程中可能损伤邻牙牙根,但发生率极低(<1%),选择经验丰富的医生可避免。
- 牙根吸收:牙齿移动过程中可能出现牙根轻微吸收,通常不影响牙齿功能,需定期拍片监测。
- 正畸后复发:若保持器佩戴不足或口腔卫生不良,可能导致牙齿复发移位,需终身佩戴保持器(夜间为主)。
- 咀嚼功能影响:拔牙后短期内可能出现咀嚼无力,但随着牙齿排列整齐和咬合稳定,功能会逐渐恢复甚至改善。
拔牙矫正的牙齿数量并非“一刀切”,而是基于患者的牙齿拥挤度、咬合关系、面部形态、生长发育等综合因素制定的个性化方案,现代正畸技术已非常成熟,通过精准的测量和合理的间隙分配,拔牙不仅能解决牙齿排列问题,更能改善面部美观和咀嚼功能,患者无需对“拔牙”过度恐惧,选择正规医院和经验丰富的正畸医生,积极配合治疗,即可获得健康、美观的牙齿和稳定的咬合关系。
相关问答(FAQs)
问题1:拔牙矫正后牙齿数量会比以前少吗?
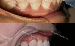
解答:不会,拔牙矫正只是暂时减少牙齿数量,通过正畸移动关闭拔牙间隙后,最终牙齿数量与拔牙前一致,拔除4颗前磨牙后,通过内收前牙和前移后牙,所有牙齿会重新排列整齐,既不“缺牙”,也不“拥挤”,只是牙齿的位置发生了改变。
问题2:拔牙矫正会影响老了以后的牙齿稳固吗?
解答:不会,只要拔牙操作规范、正畸过程中牙齿移动控制得当,且患者保持良好的口腔卫生(定期洗牙、正确刷牙),老了以后牙齿的稳固性不受影响,相反,拔牙矫正后牙齿排列整齐,更利于清洁,可减少龋齿和牙周病的发生,反而有助于长期维护牙齿健康。
