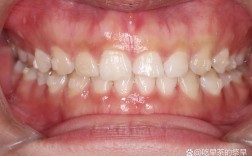
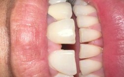
牙齿矫正过程中或结束后,部分患者可能会发现牙齿之间出现了小缝隙,呈三角形,颜色偏暗,俗称“黑三角”,这种问题不仅影响美观,还可能对口腔健康造成潜在威胁,是正畸治疗中常见的并发症之一,要理解黑三角的形成、影响及应对方法,需从多方面进行分析。
什么是牙齿矫正中的黑三角?
黑三角是指相邻牙齿的接触点下方,牙龈乳头(牙齿之间的“三角肉”)退缩,导致牙面与牙龈之间出现无法被牙龈组织完全填塞的三角形间隙,临床上,黑三角多见于前牙区(尤其是上颌前牙),因为该区域对美观要求高,且牙齿形态、牙龈厚度等因素较为特殊,从解剖学角度看,健康的牙龈乳头高度应占据牙齿邻间隙的1/2~2/3,当牙龈乳头高度降低或丧失时,黑三角便会显现。
黑三角形成的原因有哪些?
黑三角的出现并非单一因素导致,而是多种因素共同作用的结果,主要包括牙齿自身条件、牙周健康状况、矫正方案设计及患者年龄等。
牙齿形态与排列异常
牙齿的形态直接影响邻间隙的大小,若牙齿呈“三角形”(如侧切牙过小、牙冠近远中径较窄),或矫正前存在严重拥挤(牙齿排列不齐,相互挤压),矫正后排齐牙齿时,原本被挤压的牙龈乳头因长期受压而萎缩,牙槽骨也可能发生改建,导致无法完全填充新形成的邻间隙,牙齿“根分叉过大”(牙根在牙槽骨内分叉角度大)也会使牙冠接触点位置偏向牙根,牙龈乳头支撑不足,增加黑三角风险。
牙周组织健康与年龄因素
牙龈和牙槽骨的健康是维持牙龈乳头形态的基础,矫正前若患者存在慢性牙周炎(牙菌斑堆积导致的牙龈炎症、牙槽骨吸收),矫正过程中炎症可能加重,加速牙龈退缩,成年患者因牙龈细胞再生能力较弱、牙龈弹性较差,相比青少年更易出现黑三角,研究显示,30岁以上正畸患者黑三角发生率是青少年的2~3倍。
矫正过程中的力学因素
正畸治疗通过施加外力移动牙齿,若矫正力控制不当,可能对牙周组织造成损伤,过度倾斜移动牙齿(如将前牙过度向舌侧移动)、压低或伸长牙齿时力量过大,均可能压迫牙龈乳头,导致局部缺血坏死;关闭拔牙间隙时,若牙齿移动方向与牙槽骨长轴不一致,可能造成牙龈乳头“悬空”,无法随牙齿移动而重建,矫正时间过长(超过3年)或频繁调整弓丝,也可能增加牙周组织负担,诱发黑三角。
口腔卫生维护不足
矫正期间,托槽、弓丝等正畸附件容易堆积食物残渣和牙菌斑,若患者清洁不到位,易引发牙龈炎(牙龈红肿、出血),长期牙龈炎会导致牙龈纤维破坏、牙槽骨吸收,最终使牙龈乳头退缩,形成黑三角,临床数据显示,矫正期间口腔卫生差的患者,黑三角发生率是口腔卫生良好者的4倍以上。
黑三角对口腔健康的影响
黑三角并非单纯的美观问题,还可能引发一系列口腔健康问题:
- 食物嵌塞与龋齿风险:黑三角区域易嵌塞食物残渣,普通牙刷难以清洁,细菌滋生后易导致邻面龋(牙齿相邻面蛀牙),严重时可能引发牙髓炎。
- 牙周炎症加重:嵌塞的食物和牙菌斑会持续刺激牙龈,导致牙龈炎、牙周炎,进一步加速牙龈退缩和牙槽骨吸收,形成恶性循环。
- 咬合功能与发音影响:严重的黑三角可能改变牙齿邻接关系,影响咀嚼效率;若位于前牙区,还可能影响发音(如“斯”“齿”等音节)。
黑三角的处理方法
黑三角的处理需根据其形成原因、严重程度(轻、中、重度,以牙龈乳头退缩高度分级)及患者需求制定个性化方案,主要包括非手术治疗、修复治疗和手术治疗三类。
非手术治疗(适用于轻度黑三角)
- 牙周基础治疗:通过洁治(洗牙)、刮治清除牙菌斑和牙结石,控制牙龈炎症,为牙龈恢复创造条件,若存在牙周炎,需先进行系统牙周治疗(如根面平整、牙周上药),待炎症稳定后再处理黑三角。
- 口腔卫生指导:教授使用正畸牙刷(如“U型牙刷”)、牙线(正畸专用蜡牙线)、冲牙器等工具,加强矫正附件周围的清洁,减少刺激。
- 调整矫正方案:若矫正中尚未结束,可调整牙齿移动方向(如避免过度倾斜),或使用“关闭曲”等技术辅助牙龈乳头重建;对于轻微黑三角,矫正结束后可能通过自然改建(尤其是青少年)部分改善。
修复治疗(适用于中重度黑三角)
- 树脂充填:使用牙科树脂材料直接填充黑三角,操作简便、费用较低,适合小间隙(<1mm)且对美观要求不高的患者,缺点是树脂易染色、寿命较短(通常3~5年需更换)。
- 贴面/全瓷冠修复:通过制作薄瓷贴面或全瓷冠,改变牙齿邻面形态,关闭黑三角,瓷材料美观度高、耐磨性强,适合前牙区美观要求高的患者,但需磨除少量牙体组织,费用较高。
牙龈手术治疗(适用于牙龈严重退缩者)
- 牙龈乳头成形术:通过移植自体牙龈组织(如颚部牙龈)重建牙龈乳头,适合牙龈量充足的患者,成功率达60%~80%,但需二次手术,恢复期较长。
- 引导性组织再生术(GTR):利用生物膜引导牙周组织再生,促进牙槽骨和牙龈乳头生长,适用于牙槽骨吸收明显的患者,需联合骨移植材料,技术要求高。
黑三角的预防措施
预防黑三角的关键在于“矫正前评估到位、矫正中控制得当、矫正后维护持续”:
矫正前全面评估
- 牙周检查:拍摄全口曲面断层片、根尖片,评估牙槽骨状况;若存在牙周炎,需先治疗至炎症控制(牙龈无出血、牙周袋深度<3mm)。
- 牙齿形态分析:通过模型测量牙齿近远中径,若牙冠过窄,可提前进行树脂改形(适当加宽牙冠)或修复,为牙龈乳头预留足够空间。
- 年龄与风险沟通:成年患者需提前告知黑三角风险,制定更保守的矫正方案(如避免拔牙、减少牙齿移动距离)。
矫正中精细控制
- 轻柔施力:采用“持续轻力”原则,避免牙齿大幅度倾斜或移动过快(每月移动距离控制在1mm以内)。
- 维护口腔卫生:每3个月复查口腔卫生状况,及时清除菌斑;推荐使用含氟牙膏,预防龋齿。
- 保护牙龈乳头:关闭拔牙间隙时,可使用“滑动杆”技术配合“结扎丝”,减少牙龈乳头受压。
矫正后长期管理
- 佩戴保持器:矫正结束后严格佩戴保持器(至少2年,夜间长期佩戴),防止牙齿移位复发。
- 定期牙周维护:每3~6个月进行洁牙和牙周检查,及早处理牙龈问题。
相关问答FAQs
问题1:矫正后出现黑三角一定会持续存在吗?
解答:不一定,部分轻度黑三角(尤其是青少年患者)在矫正结束后1~2年内,可能通过牙龈自然改建(牙龈纤维重塑、牙槽骨修复)部分或完全恢复,若黑三角伴随牙龈炎症,经牙周治疗后炎症消退,牙龈乳头也可能有一定程度回升,但严重的黑三角(如牙龈退缩高度>2mm、牙槽骨吸收明显)通常需积极干预(如修复或手术),否则可能长期存在。
问题2:如何判断黑三角是否需要处理?
解答:需结合美观和健康两方面判断:①美观上,若黑三角位于前牙区,微笑时明显可见,影响患者自信,建议处理;②健康上,若出现食物嵌塞、牙龈红肿出血、刷牙时疼痛,或黑三角区域易堆积牙垢导致龋齿,需及时处理,可通过临床检查(牙周探诊测量牙龈乳头高度、X光片评估牙槽骨状况)评估严重程度,由医生制定治疗方案。
