拔牙矫正是临床上常见的牙齿矫正方式,通过拔除部分牙齿为剩余牙齿的移动创造空间,从而解决牙列拥挤、前突等问题,但在矫正过程中,许多患者会经历牙齿松动的现象,这既可能是正常的生理反应,也可能是异常信号,需要正确区分和处理。
牙齿在口腔中并非固定不动,而是通过牙周膜连接于牙槽骨,具有一定的生理动度,正常情况下,牙齿轻微松动(约0.1-0.2mm)属于生理范围,有助于缓冲咀嚼压力,而在拔牙矫正中,牙齿需要在牙槽骨中移动,这种移动必然涉及牙周膜的改建和牙槽骨的重建,因此暂时性松动是矫正过程中的必然现象,当牙齿受到矫正力(如弓丝、橡皮筋等施加的力)时,牙周膜一侧会受到压力,另一侧会受到牵拉,压力侧牙槽骨发生吸收,牵拉侧则出现骨增生,牙齿便能在新位置上稳定下来,这一过程通常需要1-3个月,期间牙齿的松动感会逐渐减轻,直至在新位置上重新稳定。

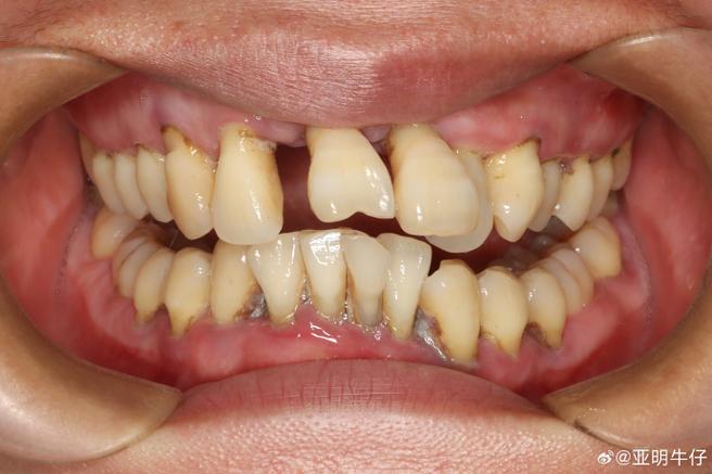
并非所有松动都属于正常范畴,若牙齿松动程度超过生理范围(如晃动明显、出现肉眼可见的位移),或伴随疼痛、牙龈出血、肿胀、咬合无力等症状,则可能提示病理性松动,需及时干预,病理性松动的原因多样,可能与矫正过程中的操作不当、牙周基础疾病、个体差异或不良习惯有关。
矫正过程中牙齿松动的常见原因可分为生理性和病理性两类,生理性松动主要源于牙齿移动的生物学机制,如上述的牙槽骨改建过程,这种松动通常无不适症状,且随着时间推移会逐渐改善,病理性松动则可能由以下因素导致:一是矫正力过大或施力不当,若医生设计的矫正方案不合理,或患者在矫正过程中自行调整矫正器(如弯折弓丝),可能导致牙齿受力过大,超出牙周组织的耐受范围,引发过度松动;二是牙周基础疾病,如牙龈炎、牙周炎等,患者若在矫正前存在未控制的牙周炎症,牙周组织已处于脆弱状态,矫正过程中炎症可能加重,导致牙槽骨吸收、牙齿支持丧失;三是牙根吸收,部分个体在矫正过程中牙根可能出现吸收,牙根长度变短会降低牙齿的稳定性,导致松动;四是不良习惯,如咬硬物、夜磨牙、用牙齿开瓶盖等,这些额外力量会干扰牙齿的正常移动,甚至导致牙周创伤;五是矫正器附件的影响,如托槽、结扎丝等若刺激牙龈或压迫牙周组织,可能引发局部炎症,间接导致牙齿松动。
区分生理性松动和病理性松动是关键,可通过以下特征进行初步判断:从松动程度看,生理性松动多表现为牙齿轻微晃动,用手指轻推时有轻微动度,但无移位;病理性松动则可能牙齿明显浮起,甚至出现唇舌向或近远中向的移位,从伴随症状看,生理性松动通常无疼痛、出血或不适;病理性松动常伴有牙龈红肿、疼痛、刷牙或咬合时出血、咬合无力或疼痛,从持续时间看,生理性松动一般在矫正开始后1-3个月内逐渐缓解;病理性松动若不及时干预,会持续存在甚至加重,从口腔检查看,生理性松动时牙周探诊深度正常(3mm),无牙槽骨吸收;病理性松动则可能探诊深度增加、牙龈萎缩、牙槽骨吸收(通过X光片可见)。
针对不同原因导致的松动,处理方式也有所不同,对于生理性松动,无需特殊处理,但需加强口腔护理,避免额外刺激,等待牙周组织改建完成,日常护理中,建议采用巴氏刷牙法(牙刷与牙齿呈45度角,水平震颤拂刷),每天至少两次,每次不少于3分钟,配合牙线、冲牙器清洁牙缝,避免食物残渣堆积引发炎症;饮食上避免过硬、黏性食物(如坚果、奶糖),减少牙齿承受的额外力量;矫正期间避免咬笔、啃指甲等不良习惯,夜磨牙患者可佩戴颌垫保护牙齿。

若出现病理性松动,需及时复诊,由医生评估原因并采取针对性措施,若因矫正力过大,医生会调整矫正力(如更换较细的弓丝、减少牵引力度),甚至暂停加力,给牙周组织恢复时间;若因牙周疾病,需先进行牙周治疗(如龈上洁治、龈下刮治、牙周上药等),控制炎症后再继续矫正;若因牙根吸收,需通过X光片评估牙根吸收程度,轻度吸收可密切观察,严重吸收则可能需要调整矫正方案甚至终止矫正;若因矫正器附件刺激,医生会调整附件位置或更换材质,避免对牙周组织的压迫。
拔牙矫正后的牙齿稳定是一个长期过程,矫正结束后并非万事大吉,拆除矫正器后,牙齿仍处于不稳定状态,需佩戴保持器(如透明保持器、 Hawley保持器等)至少2年,期间夜间需终身佩戴,以防止牙齿回到原位,需定期进行口腔复查(一般每3-6个月一次),医生会检查牙齿位置、牙周健康状况及保持器适配情况,牙周维护至关重要,即使矫正结束,仍需坚持每年1-2次洁牙,控制牙菌斑和牙结石,预防牙周疾病复发,因为牙周健康是牙齿长期稳定的基础。
拔牙矫正后牙齿松动是常见现象,多数情况下是生理性的,会随着时间逐渐改善,但患者需密切关注松动程度、伴随症状,若出现异常松动或不适,应及时就医,避免延误治疗,通过规范的矫正方案、良好的口腔护理和定期的复查维护,牙齿可在矫正后稳定在新位置,恢复美观与功能。
相关问答FAQs

Q1:矫正后牙齿松动多久能恢复正常?
A:生理性松动是牙齿移动的正常过程,通常在矫正开始后的1-3个月内,随着牙槽骨改建完成,牙齿会逐渐在新位置上稳定,松动感会明显减轻直至消失,若松动持续超过3个月,或伴随疼痛、出血等症状,则可能是病理性松动,需及时复诊检查,明确原因后针对性处理,恢复时间因病因不同而异(如牙周治疗可能需要数周至数月)。
Q2:拔牙矫正会导致牙齿提前脱落吗?
A:规范的拔牙矫正不会导致牙齿提前脱落,拔牙是为了解除拥挤、为牙齿移动提供空间,矫正过程中牙齿的松动是暂时的生理现象,矫正结束后通过保持器佩戴和牙周维护,牙齿可长期稳定,但如果矫正前存在未控制的牙周疾病,或矫正过程中护理不当(如口腔卫生差导致牙周炎加重)、矫正力过大引发牙根吸收等,则可能影响牙齿寿命,增加脱落风险,矫正前需进行全面的牙周检查,矫正中加强护理,是避免牙齿脱落的关键。
