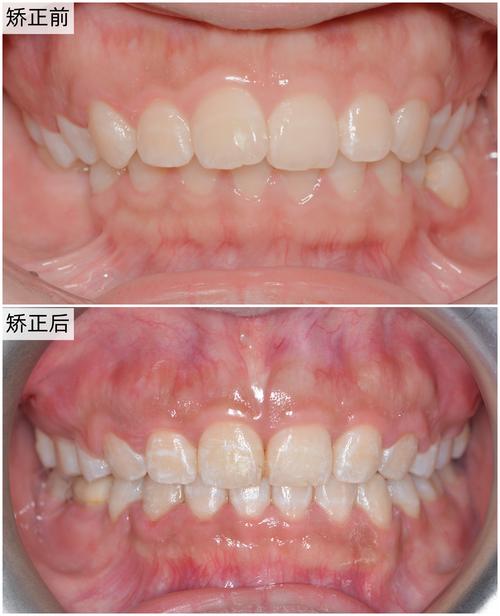
牙齿矫正是通过施加持续、温和的外力,引导牙齿在牙槽骨内缓慢移动,最终达到排列整齐、咬合功能正常的目的,在这一过程中,牙齿出现一定程度的松动是普遍现象,也是牙齿移动的生理基础,但部分患者可能因对松动机制不了解而产生焦虑,本文将从牙齿松动的成因、正常与异常的判断标准、应对措施及护理建议等方面,详细解析矫正中牙齿松动的相关问题,帮助患者科学应对这一过程。
矫正中牙齿松动的成因:生理改建的必然结果
牙齿并非直接“长”在牙槽骨中,而是通过一层富含血管、神经的牙周膜连接牙根与牙槽骨,正常情况下,牙齿有轻微的生理动度(约0.1-0.2mm),以适应咀嚼等功能,矫正时,正畸装置(如托槽、弓丝、橡皮筋等)会对牙齿施加持续力量,打破牙周膜原有的平衡:受压侧的牙周膜会发生血管压缩、组织缺血,进而引发“破骨细胞”活性增加,吸收少量牙槽骨;牵引侧则因血管扩张、组织增生,促进“成骨细胞”形成新骨,这种“破骨-成骨”的动态改建过程,是牙齿移动的核心机制,也是牙齿松动的直接原因——相当于牙齿在牙槽骨中“先松动,再移动,后稳固”。

个体差异也会影响松动的程度:青少年患者因牙槽骨代谢旺盛,改建速度快,松动可能较轻微;成年人骨密度较高,改建速度慢,松动感可能更明显;若患者本身存在牙周炎、牙槽骨吸收等问题,牙周支持能力较弱,松动也可能加剧,矫正力的大小与方向同样关键:力量过大或方向不当,可能导致超出生理范围的异常松动;而力量柔和、方向精准时,松动则会在可控范围内。
正常松动与异常松动:如何科学判断?
矫正中的牙齿松动需分为“生理性”和“病理性”两类,二者的处理方式截然不同,准确判断是避免过度干预或延误治疗的关键。
(一)生理性松动:正常且暂时的现象
生理性松动是牙齿移动的“必经之路”,主要表现为:
- 松动程度:牙齿在轻推(如用手指触碰)时有轻微晃动感,幅度通常不超过1mm,无“浮起感”或明显倾斜;
- 持续时间:多出现在加力后的3-7天,随着牙齿逐渐移动,松动感会在1-2周内逐渐缓解;
- 伴随症状:可能伴有轻微酸胀感,尤其在咬合时稍明显,但无自发性疼痛、牙龈红肿或出血;
- 规律性:正在移动的牙齿(如前牙内收、后牙压低)松动更明显,已移动到位的牙齿则逐渐恢复稳固。
这类松动无需特殊处理,是牙周膜正在改建的信号,表明矫正治疗按计划推进。

(二)病理性松动:需警惕的异常信号
病理性松动多因矫正力过大、牙周健康异常或牙齿移动受阻导致,可能造成牙根吸收、牙龈损伤等问题,需及时干预:
- 松动程度:牙齿晃动幅度大(如肉眼可见明显倾斜,轻推时移动超过2mm),或出现“浮起感”,咬合时疼痛加剧;
- 持续时间:超过2周无缓解,或松动程度进行性加重;
- 伴随症状:自发性疼痛、牙龈红肿、出血、溢脓,或牙齿表面出现“白斑”(牙釉质脱矿);
- 辅助检查:通过X光片可见牙根吸收、牙槽骨骨密度异常,或牙周探诊深度超过3mm(提示牙周炎)。
若出现上述情况,需立即复诊,医生可能调整矫正力(如更换更细的弓丝、减少牵引力度)、治疗牙周炎症(如洁治、上药),甚至暂停矫正直至牙齿恢复稳定。
矫正中松动的应对与护理:守护牙齿健康
无论是生理性还是病理性松动,科学的护理都能减少风险、促进恢复,以下是关键措施:
(一)饮食调整:避免“火上浇油”
生理性松动期间,牙齿咀嚼能力暂时下降,需避免过硬、过黏的食物(如坚果、牛肉干、口香糖),以免增加牙齿负担,导致松动加剧或托槽脱落,建议选择温凉、软烂的食物(如粥、面条、蒸蛋),细嚼慢咽,用两侧牙齿交替咀嚼,减少单颗牙齿受力。

(二)口腔清洁:预防并发症的核心
矫正期间,牙齿和托槽周围易积累食物残渣,若清洁不到位,可能引发牙龈炎、牙周炎,加重松动,需做到:
- 刷牙工具:选用正畸专用牙刷(刷头小、刷毛软),配合牙缝刷或冲牙器,清洁托槽与牙齿的邻面;
- 刷牙方法:采用“巴氏刷牙法”,每次刷牙不少于3分钟,重点清洁托槽周围及牙龈缘;
- 辅助用品:每日使用含氟牙膏(含氟量1000-1500ppm),必要时配合漱口水(如氯己定漱口水)减少细菌滋生,但需遵医嘱使用,避免长期使用导致口腔菌群失调。
(三)避免不良习惯:减少额外刺激
戒除用牙齿咬笔、开瓶盖、啃指甲等习惯,这些动作会给牙齿施加非矫正方向的额外力量,可能导致异常松动或牙齿移位,若托槽、弓丝等装置刮伤口腔黏膜,可使用正畸保护蜡覆盖尖锐部位,避免溃疡加重疼痛。
(四)定期复诊:动态监测松动情况
矫正期间需严格按医生要求复诊(通常4-6周一次),医生会通过临床检查和X光片评估牙齿松动度、移动速度及牙周健康状况,及时调整矫正方案,若出现异常松动,切勿自行调整装置(如弯动弓丝),以免造成不可逆的损伤(如牙根吸收)。
矫正中牙齿松动的关键信息对比
为更直观区分正常与异常松动,以下表格总结二者的核心差异:
| 对比维度 | 生理性松动 | 病理性松动 |
|---|---|---|
| 松动程度 | 轻微(<1mm),无浮起感 | 明显(>2mm),可见倾斜或浮起 |
| 持续时间 | 加力后1-2周内逐渐缓解 | 超过2周无缓解或进行性加重 |
| 伴随症状 | 轻微酸胀,无疼痛、牙龈红肿 | 自发性疼痛、牙龈红肿出血、牙釉质脱矿 |
| 处理方式 | 无需特殊处理,注意饮食和清洁 | 立即复诊,调整矫正力或治疗牙周问题 |
矫正中牙齿松动的护理要点总结
矫正期间的牙齿护理需兼顾“促进移动”与“保护健康”,以下表格列出核心措施:
| 护理方向 | 具体措施 |
|---|---|
| 饮食管理 | 避免过硬、过黏食物,选择软烂饮食,细嚼慢咽 |
| 口腔清洁 | 正畸牙刷+牙缝刷+冲牙器,每日3次,每次3分钟 |
| 习惯纠正 | 戒除咬物、开瓶盖等习惯,使用保护蜡防黏膜溃疡 |
| 复诊配合 | 严格按医嘱复诊,异常松动及时沟通 |
相关问答FAQs
问题1:矫正中牙齿松动到什么程度需要担心?
解答:若牙齿松动符合以下任一情况,需立即复诊:① 轻推时晃动幅度超过2mm,或出现明显“浮起感”;② 伴有自发性疼痛、牙龈红肿出血或溢脓;③ 松动持续超过2周无缓解,或夜间疼痛加剧,这些可能是病理性松动的信号,可能与矫正力过大、牙周炎或牙根吸收有关,需医生通过专业检查明确原因并调整方案。
问题2:矫正结束后牙齿会恢复稳固吗?
解答:会的,矫正结束后,牙齿进入“保持期”,此时需佩戴保持器(通常保持2年以上,部分患者需长期佩戴),保持器的作用是维持牙齿在牙槽骨中的新位置,等待牙周膜进一步改建、牙槽骨完全稳定,在此期间,牙齿的松动感会逐渐消失,最终恢复到正常的生理动度(约0.1-0.2mm),若保持期不注意口腔卫生或未按要求佩戴保持器,可能导致牙齿移位,再次出现松动。
