成人牙齿矫正是否有用,是许多成年人考虑口腔问题时会纠结的核心议题,随着正畸技术的发展和人们对口腔健康、美观需求的提升,成人牙齿矫正早已不是“青少年的专属”,而是兼具健康功能与心理价值的重要治疗手段,其“有用性”不仅体现在改善牙齿排列,更涉及口腔健康维护、面部美学优化、生活质量提升等多个维度,但同时也需要结合个体情况理性评估。
成人牙齿矫正的核心价值:超越美观的健康投资
成人牙齿矫正的首要意义在于解决因牙齿问题引发的口腔健康隐患,牙齿排列不齐(如拥挤、错位)、咬合异常(如深覆合、反颌)等问题,会直接导致清洁难度增加,食物残渣容易嵌塞在牙缝或牙龈边缘,长期积累可能引发龋齿(蛀牙)、牙周炎等疾病,数据显示,牙周炎是我国成年人牙齿缺失的首要原因,而牙齿不齐正是牙周炎的重要诱因之一——拥挤的牙齿会压迫牙龈,导致牙龈萎缩、牙槽骨吸收,最终使牙齿松动脱落,通过矫正将牙齿排列整齐,不仅能消除清洁死角,还能让牙龈恢复正常的生理形态,从根源上降低牙周病风险。

矫正对口腔功能的改善同样关键,正常的咬合关系(即上下牙齿尖窝相对、接触面积均匀)是咀嚼、发音、颞下颌关节功能的基础,反颌(俗称“地包天”)会导致前牙无法切割食物,后牙咀嚼效率低下,长期还可能引发颞下颌关节紊乱(表现为张口弹响、疼痛、头痛);深覆合则可能造成下前牙咬伤上前牙牙龈,导致牙龈萎缩、牙齿敏感,矫正通过调整牙齿位置、重建咬合平衡,能恢复正常的咀嚼功能,提升食物消化效率,同时避免颞下颌关节因受力异常而受损。
成人矫正对心理健康的促进作用不容忽视,牙齿问题(如龅牙、牙缝过大)常会影响个人笑容的自信,进而导致社交回避、焦虑等心理问题,许多成年矫正者反馈,矫正后“敢大方笑了”“拍照不再躲镜头”,这种自信心的提升往往能带来更积极的生活态度和社交体验,对于职场人士而言,良好的形象也可能在职业发展中形成隐性优势。
成人矫正与青少年矫正:差异与适配性
成人牙齿矫正并非简单“复制”青少年矫正流程,其特殊性在于颌骨发育状态的不同,青少年处于生长发育期,颌骨仍有改建潜力,部分骨性问题(如上颌发育不足、下颌发育过度)可通过生长改良治疗(如功能矫治器)引导颌骨生长,避免拔牙;而成年人颌骨已定型,牙齿移动只能通过牙槽骨的改建实现,无法改变骨骼形态,因此治疗方案更依赖牙齿本身的移动,拔牙概率相对更高(但并非绝对,需结合具体问题分析)。
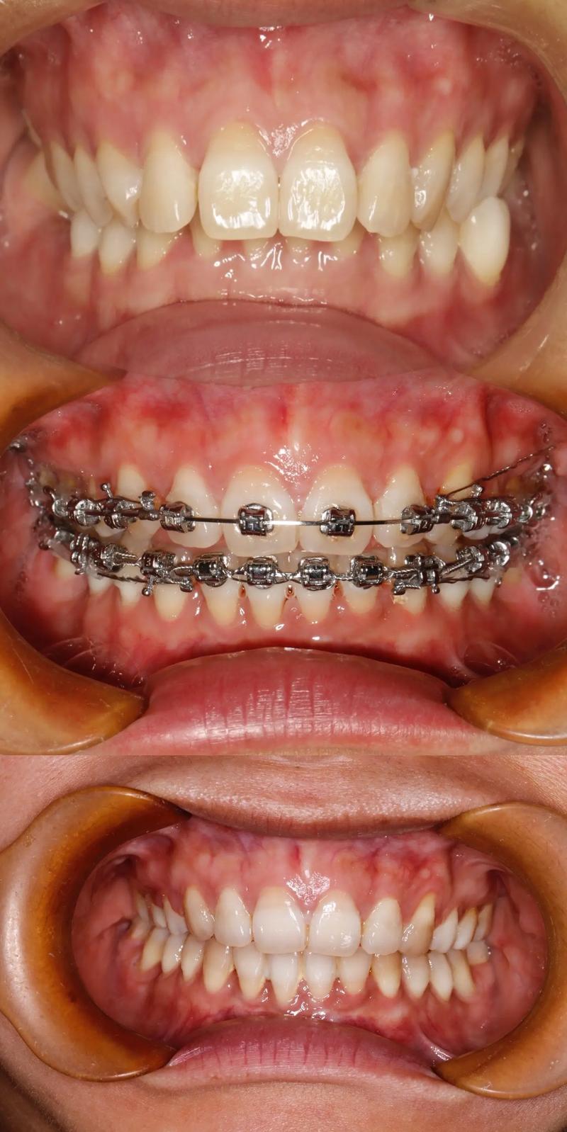
时间成本上,成人矫正通常需要1.5-3年,与青少年矫正周期相近,但成年人配合度更高(如能严格保持口腔卫生、按时复诊),治疗过程可能更顺利,成人矫正对美观的需求往往更迫切,因此隐形矫正、陶瓷托槽等“隐形”或“半隐形”方式更受欢迎——这些方式既能满足美观需求,又能实现与固定矫治器相当的效果,尤其适合对形象要求高的上班族或社交频繁的人群。

哪些成人牙齿问题适合矫正?
并非所有牙齿问题都需要矫正,但以下情况通常建议通过正畸干预:
- 牙列拥挤:牙齿过多导致颌骨空间不足,牙齿排列不齐,影响清洁和美观。
- 牙缝过大:牙齿间存在明显缝隙,不仅影响美观,还可能引发食物嵌塞和牙周问题。
- 龅牙/暴牙:上前牙过度前突,嘴唇难以自然闭合,可能导致侧脸凸、嘴唇肌肉紧张。
- 反颌(地包天):下前牙咬在上前牙外侧,不仅影响咀嚼,还可能造成面部凹陷。
- 深覆合/深覆盖:上下牙咬合过深(深覆合)或上前牙前伸过多(深覆盖),易导致牙齿磨损和牙周创伤。
- 中线不齐:上下牙列中线不一致,可能影响面部对称性和咬合平衡。
需要强调的是,矫正并非“越早越好”,成年人的骨性问题(如下巴后缩、面部不对称)若伴有严重的咬合功能障碍,可能需要联合正颌手术(通过手术移动颌骨)才能达到理想效果,单纯正畸效果有限。
成人矫正方式选择:如何找到适合自己的方案?
目前成人牙齿矫正主要有以下几种方式,可根据需求、预算和口腔条件选择:
| 矫正方式 | 优点 | 缺点 | 适合人群 |
|---|---|---|---|
| 传统金属托槽 | 性价比高,强度大,适用范围广 | 美观性差,易刮嘴,口腔异物感强 | 预算有限、对美观要求不高、复杂错颌畸形 |
| 陶瓷托槽 | 托槽颜色接近牙齿,美观性较好,强度较高 | 价格较高,部分材质易染色,仍可见金属丝 | 对美观有要求、复杂错颌畸形 |
| 隐形矫正(如隐适美) | 完全隐形,可摘戴,方便清洁,舒适度高 | 价格昂贵(3-5万元),需自律佩戴(每天22小时以上),复杂病例效果受限 | 注重美观、能配合佩戴、轻中度错颌畸形 |
| 舌侧矫正 | 托槽粘在牙齿内侧,完全隐形,美观性最佳 | 价格极高(5-10万元),操作复杂,对医生技术要求高,初期发音影响大 | 追求极致美观、预算充足、对社交形象要求极高者 |
成人矫正的注意事项:理性决策与科学护理
成人矫正前需进行全面口腔检查,包括牙周健康评估(若有牙周炎需先控制炎症)、龋齿治疗、根管治疗等,确保口腔处于稳定状态,矫正期间需加强口腔卫生,使用正畸专用牙刷、冲牙器、牙缝刷等工具,避免托槽周围积牙菌斑导致“脱矿”(牙齿表面出现白斑),矫正后必须佩戴保持器(通常夜间佩戴,至少1-2年,甚至终身),防止牙齿复发——成年人的牙齿记忆更强,复发风险高于青少年,保持器是维持效果的关键。

成人矫正的“有用性”取决于需求与科学规划
成人牙齿矫正绝非“可有可无”的美容项目,而是兼顾健康、功能与心理需求的“投资”,对于存在牙齿排列异常、咬合问题或因牙齿影响自信的成年人而言,只要符合适应症、选择正规机构和专业医生、做好长期护理,矫正带来的改变将是全方位的——不仅拥有整齐的牙齿和灿烂的笑容,更能远离口腔疾病风险,提升生活品质,矫正并非“万能”,需结合自身情况理性评估,与医生充分沟通后制定个性化方案,才能让矫正效果最大化。
相关问答FAQs
Q1:成人矫正会很疼吗?
A:矫正初期(戴牙套后1-3天)牙齿会有酸胀、轻微疼痛感,属于正常现象,是牙齿开始移动的信号,疼痛程度通常在可忍受范围内,类似“刚吃完硬食物”的酸胀感,3-5天后会逐渐缓解,后续每次复诊调整加力后,可能出现短暂不适,但不会影响正常生活,若疼痛剧烈或持续加重,需及时复诊排查问题。
Q2:矫正后牙齿会反弹吗?如何避免?
A:牙齿矫正后存在复发风险,主要原因包括:牙齿周围牙龈、牙周组织改建未完全稳定(通常需1-2年)、不良口腔习惯(如吐舌、咬唇、夜磨牙)未纠正、未按医嘱佩戴保持器等,避免反弹的关键是:①严格佩戴保持器(初期全天,后期仅夜间,至少1-2年,建议长期夜间佩戴);②矫正后若发现牙齿轻微移位,及时联系医生调整;③改掉不良口腔习惯,定期进行口腔检查和牙周维护。
