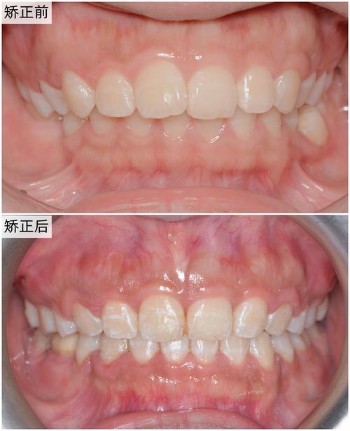
牙齿矫正后牙齿变长是不少矫正者会观察到的现象,这一变化可能源于多方面因素,既可能是矫正效果达成的正常表现,也可能与口腔健康状态相关,要理解这一现象,需从牙齿移动原理、牙龈组织变化及咬合调整等角度综合分析。
牙齿本身在矫正过程中的位置改变是导致“变长”的主要原因之一,矫正前,若存在牙齿拥挤、排列不齐等问题,部分牙冠可能被邻牙或异常咬合力遮挡,导致实际暴露的牙体长度不足,门牙因拥挤向舌侧倾斜,牙冠长度可能仅显示正常的一半;通过矫正器施加的持续轻力,牙齿会逐渐移动至理想位置,牙冠完全暴露,视觉上便感觉牙齿“变长”,这种变化本质上是牙齿原有长度的恢复,属于矫正成功的正常表现,无需过度担忧。

牙龈组织的形态变化也会影响牙齿长度的视觉感知,牙龈包裹在牙颈部,对牙根起保护作用,其高度受牙槽骨状况和口腔卫生直接影响,矫正过程中,若口腔清洁不到位,牙菌斑堆积可能引发牙龈炎,导致牙龈红肿、增生,掩盖部分牙冠;随着炎症消退,牙龈恢复健康高度,牙冠暴露增加,牙齿便显得变长,另一种情况是牙龈退缩,这可能因矫正力度过大(如牙根吸收风险高的患者)、矫正过程中牙周炎症未控制,或牙齿移动速度超过牙槽骨改建速度,导致牙槽骨吸收、牙龈萎缩,牙根暴露,牙齿实际长度增加,这种病理性退缩需及时干预,否则可能增加敏感、龋坏风险。
咬合关系的调整同样参与这一视觉变化,矫正前若存在深覆合(上牙过度覆盖下牙)、深覆盖等问题,下前牙可能被上前牙完全遮挡,矫正通过压低上前牙或伸长下前牙调整咬合,使上下牙列接触关系改善,原本被遮挡的牙齿充分显露,整体牙列长度协调,牙齿“变长”的感知更明显,这是咬合功能优化的结果,有助于提升咀嚼效率和面部美观。
不同原因导致的牙齿变长,其处理方式截然不同,以下是常见原因、表现及处理建议的对比:
| 原因类型 | 具体表现 | 是否正常 | 处理建议 |
|---|---|---|---|
| 牙齿排齐 | 牙冠完全暴露,牙体形态清晰,无红肿出血 | 正常 | 无需处理,属矫正效果 |
| 牙龈退缩 | 牙根暴露,牙齿敏感,可能伴随牙缝增大 | 异常 | 及时就医,排查牙周炎,使用抗敏感牙膏,必要时牙周手术 |
| 咬合调整 | 上下牙列接触改善,牙列长度协调,无不适 | 正常 | 无需处理,属功能优化 |
| 牙龈炎症消退 | 牙龈红肿消退,牙冠暴露增加,无出血 | 正常 | 加强口腔清洁,定期洗牙 |
为避免矫正后出现异常的牙齿变长,矫正期间需保持良好的口腔卫生,每天使用巴氏刷牙法刷牙,配合牙线、冲牙器清洁邻面,预防牙龈炎;定期复查,医生会根据牙齿移动速度调整矫正力度,避免过快移动导致牙槽骨吸收;若出现牙龈出血、牙齿松动等异常,及时与矫正医生沟通,进行牙周治疗或调整方案。

相关问答FAQs:
Q1:矫正后牙齿变长是永久性的吗?
A:牙齿变长是否永久取决于原因,若因牙齿排齐或咬合调整导致的视觉变长,通常是永久性的,且属于稳定效果;若因牙龈炎症消退后牙冠暴露增加,随着牙龈状态稳定,长度变化也会固定;但病理性牙龈退缩导致的牙根暴露,若不及时干预,退缩可能持续加重,需通过治疗控制进展。
Q2:矫正后牙齿变长并伴随敏感,怎么办?
A:牙齿变长伴敏感多与牙龈退缩、牙根暴露有关,建议使用抗敏感牙膏(含硝酸钾或氟化物)刷牙,减少冷热刺激;避免用牙齿啃咬硬物,防止磨损加重;及时到口腔科就诊,排查牙周炎或牙根吸收问题,医生可能建议涂氟、脱敏治疗或牙周手术,以缓解敏感并阻止牙龈进一步退缩。

