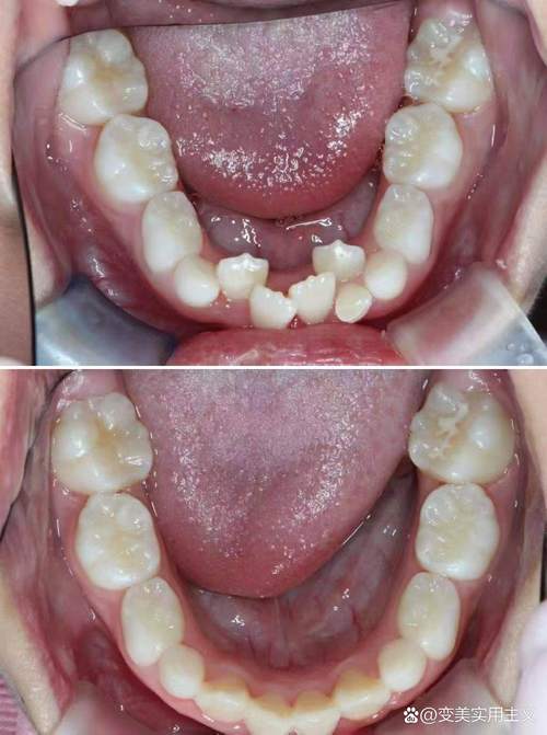
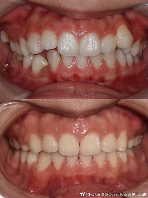
矫正牙齿后咬合不齐是指牙齿矫正治疗结束后,上下牙弓在咬合时无法达到理想的三维接触关系,表现为深覆合、深覆盖、反合、锁合、个别牙齿早接触或咬合干扰等情况,这一问题不仅影响咀嚼功能,还可能引发口腔健康、面部美观甚至心理问题,需明确原因并针对性处理。
矫正后咬合不齐的常见原因
矫正后咬合不齐的发生是多因素综合作用的结果,涉及方案设计、治疗过程、患者自身条件等多个环节,具体可分为以下几类:

(一)矫正方案设计问题
- 诊断不全面:矫正前未充分评估颌骨关系、颞下颌关节(TMJ)状态、牙周条件及面部肌肉功能,例如忽略骨性Ⅲ类错合患者的颌骨不对称问题,导致矫正后咬合代偿性不齐。
- 目标设定不合理:过度追求牙齿排齐而忽视咬合平衡,例如在拔牙矫正中未正确设计支抗,导致前牙过度唇倾或后牙支抗丧失,引发咬合紊乱。
- 方案设计错误:如托槽位置粘贴错误(转矩、角度偏差)、未考虑牙齿生理性磨耗或颌曲线形态,导致牙齿移动后无法形成稳定咬合。
(二)矫正过程中操作与配合问题
- 医生操作误差:在牙齿移动过程中,对转矩、倾斜角度的控制不足,例如磨牙近中移动过多导致后牙反合,或前牙转矩丢失引发深覆合复发。
- 患者配合不良:未按时佩戴橡皮筋、颌垫等辅助装置,或矫正期间频繁咬硬物、夜磨牙等不良习惯,导致牙齿移位偏离预期位置。
- 治疗中断或未完成:因托槽脱落、复诊间隔过长等原因中断治疗,或未完成后期精细调整(如颌平面平衡、尖窝交错打磨),导致咬合细节未完善。
(三)患者自身因素
- 骨性与软组织代偿:骨性畸形患者(如下颌后缩、上颌前突)单纯通过正畸矫正无法完全改善颌骨关系,矫正后咬合可能因代偿机制出现不齐。
- 牙周与牙根条件:牙周支持组织不足(如牙槽骨吸收)或牙根形态异常(如弯根、短根),导致牙齿移动后稳定性差,易出现咬合变化。
- 生长发育影响:青少年患者矫正后仍处于生长发育期,颌骨持续生长可能导致原有咬合关系改变,尤其垂直向生长异常者更易出现咬合不齐。
为更直观展示原因与对应表现,可参考下表:
| 原因类别 | 具体表现 | 可能导致的咬合问题 |
|---|---|---|
| 方案设计问题 | 未评估颌骨关系、支抗设计不当 | 前牙深覆盖、后牙反合、中线偏斜 |
| 操作误差 | 托槽转矩偏差、牙齿移动控制不足 | 个别牙齿早接触、尖窝交错不良 |
| 患者配合不良 | 未戴橡皮筋、咬硬物、夜磨牙 | 牙齿移位、咬合干扰、复发 |
| 自身生长发育 | 青少年患者矫正后持续颌骨生长 | 垂直向咬合加深、中线偏移 |
矫正后咬合不齐的危害
咬合不齐不仅影响口腔功能,还可能引发一系列连锁健康问题,具体包括:
(一)咀嚼功能下降
咬合接触点分布不均导致咀嚼效率降低,食物无法被充分研磨,增加胃肠消化负担,长期可能引发消化系统疾病,例如后牙锁合患者无法有效磨碎食物,常表现为进食费力、易腹胀。
(二)颞下颌关节紊乱(TMD)
异常咬合力通过牙齿传导至颞下颌关节,导致关节弹响、疼痛、张口受限等,临床数据显示,约30%的TMD患者与咬合紊乱相关,严重者甚至出现关节盘移位、骨关节炎。

(三)牙齿及牙周组织损伤
- 牙齿磨耗:个别牙齿早接触或咬合干扰,导致该牙长期承受过大咬合力,出现牙釉质磨损、牙本质敏感,甚至牙折。
- 牙周问题:咬合力不均使牙周组织受力失衡,引发牙龈萎缩、牙槽骨吸收,牙齿松动度增加,加速牙周病进展。
(四)面部美观与心理影响
咬合异常可能导致面部轮廓改变,如下颌偏斜、面部不对称,影响患者自信心,尤其对青少年及年轻群体易引发社交焦虑、自卑等心理问题。
矫正后咬合不齐的处理方法
根据咬合不齐的严重程度、原因及患者需求,可选择以下处理方式:
(一)轻度咬合不齐:观察与调整
- 保持器优化:更换为个性化热压成型保持器或活动保持器,通过精准适配调整咬合接触点;对于伴有夜磨牙者,可制作颌垫式保持器,夜间佩戴以分散咬合力。
- 咬合打磨:医生通过咬合纸标记早接触点,精细调磨牙齿干扰点,建立均匀咬合接触,通常无需二次矫正。
(二)中度咬合不齐:二次矫正或辅助治疗
- 微种植体支抗辅助移动:通过植入微种植体作为支抗,精准调整牙齿位置(如压低伸长牙、纠正扭转牙),一般需3-6个月治疗周期。
- 隐形矫正精细调整:使用隐形牙套(如隐适美、时代天使)进行小范围移动,针对个别牙齿倾斜、咬合干扰等问题进行精细调整,兼顾美观与舒适。
- 颌板治疗:对于伴有TMD的患者,可佩戴稳定颌垫(上颌平面导板或再定位颌垫),调整肌肉与关节协调性,待咬合稳定后再进行咬合调整。
(三)重度咬合不齐:多学科联合治疗
- 正畸-正颌联合治疗:针对骨性畸形导致的严重咬合不齐(如骨性Ⅲ类反合、开合),需通过正颌手术矫正颌骨位置,术后配合正畸精细调整咬合,恢复面部功能与美观。
- 牙周与修复联合治疗:对于牙周支持不足者,先进行牙周基础治疗(洁治、刮治、植骨),待牙周稳定后通过修复治疗(全瓷冠、嵌体)恢复牙齿形态与咬合关系。
- 修复体咬合重建:对于多牙缺失或严重磨耗导致的咬合垂直距离降低,可通过固定桥、种植牙或覆盖义齿进行咬合重建,恢复颌间垂直关系与咀嚼功能。
矫正后咬合不齐的预防
预防优于治疗,通过以下措施可显著降低矫正后咬合不齐的风险:
(一)矫正前全面评估
通过CBCT、头影测量、关节镜检查、牙周探诊等手段,全面分析牙齿、颌骨、关节、牙周及面部肌肉状况,制定个性化矫正方案,避免因诊断不足导致的方案偏差。

(二)矫正中精细化操作
医生需严格遵循生物力学原理,精确控制牙齿移动的三维方向(唇舌向、近远中向、垂直向),阶段性进行咬合调整,确保每颗牙齿移动至理想位置。
(三)患者积极配合
- 严格佩戴辅助装置:按时佩戴橡皮筋、颌垫等,确保牙齿按预期方向移动。
- 纠正不良习惯:戒除咬硬物、夜磨牙等习惯,必要时佩戴夜磨牙垫。
- 定期复查:矫正期间每4-6周复查一次,治疗结束后第一年每3-6个月复查,之后每年复查,及时发现并处理咬合问题。
(四)保持器终身维护
矫正结束后需严格佩戴保持器(前两年夜间佩戴,之后可逐渐减少频率),避免因牙齿自然移位导致咬合复发。
相关问答FAQs
Q1:矫正后咬合不齐,是不是说明矫正失败了?
A:不一定,咬合不齐可能是轻微的、可调整的,也可能是多种因素共同作用的结果,部分患者矫正后仅有个别牙齿轻微早接触,通过简单调磨即可改善,不影响整体矫正效果,只有当咬合问题严重影响功能或美观,且未达到矫正前设定的目标时,才可能视为矫正失败,需通过专业检查评估严重程度,再判断是否需要进一步治疗。
Q2:矫正后咬合不齐,能自己调整吗?比如咬硬物“磨合”?
A:绝对不能,自行咬硬物(如坚果、骨头)试图“磨合”咬合,不仅无法改善问题,还可能导致牙齿移位、牙根吸收、牙周损伤,甚至加重咬合紊乱,正确的做法是及时复诊,医生会通过专业检查(如咬合分析、模型测量)明确问题原因,再选择调磨、保持器调整或二次矫正等方式处理,避免因自行操作造成不可逆损伤。
