日照大学城作为区域内重要的高等教育聚集地,汇聚了数万高校学子,其中不少学生因牙齿排列不齐、咬合问题或美观需求,开始关注牙齿矫正,对于大学生群体而言,牙齿矫正不仅关乎口腔健康,更与个人形象、社交自信密切相关,学生群体普遍存在预算有限、时间安排灵活、对矫正效果与安全性要求较高等特点,因此在日照大学城选择牙齿矫正服务时,需综合考量机构资质、矫正方式、费用及术后护理等多方面因素。
日照大学城牙齿矫正:需求与资源解析
大学城学生的牙齿矫正需求主要集中在“美观改善”与“功能矫正”两大类,前者如牙齿拥挤、牙缝过大、牙齿外凸(“龅牙”),影响拍照、社交时的自信;后者包括咬合深覆合、反颌(“地包天”)、偏颌等,可能引发咀嚼效率低、颞下颌关节不适等问题,相较于上班族,学生群体更倾向于选择性价比高、复诊灵活、对学业影响小的矫正方式,同时对医生的技术水平和沟通耐心有更高要求——毕竟矫正周期通常为1-3年,需长期与医生配合。

在日照大学城周边,牙齿矫正资源可分为公立医院口腔科、连锁口腔诊所及本土专业齿科三类,公立医院如日照市口腔医院、济宁医学院附属医院口腔科,拥有权威的医生团队和规范的诊疗流程,适合牙齿问题复杂、需联合治疗的学生,但预约周期较长,复诊排队时间可能影响学业;连锁口腔机构如瑞尔齿科、拜博口腔等,服务环境较好,预约灵活,常推出学生套餐,但价格相对较高;本土齿科则更熟悉本地学生需求,价格亲民,医生沟通更接地气,但需仔细甄别其资质与口碑。
主流矫正方式对比:如何选择适合自己的方案?
牙齿矫正方式多样,不同方式在美观度、舒适度、价格及适应症上差异较大,学生需结合自身牙齿情况、预算及美观需求综合选择,以下为几种主流矫正方式的详细对比:
| 矫正方式 | 美观度 | 舒适度 | 价格区间(元) | 复诊频率 | 适合人群 |
|---|---|---|---|---|---|
| 传统金属托槽矫正 | 较低(金属明显) | 一般(易磨口腔) | 8000-15000 | 1-2个月/次 | 预算有限、牙齿复杂(如严重拥挤、骨性问题)的学生 |
| 陶瓷半隐形矫正 | 中等(托槽透明) | 较好(材质光滑) | 12000-20000 | 1-2个月/次 | 希望兼顾美观与预算,牙齿中度拥挤、咬合问题的学生 |
| 隐形矫正(隐适美/时代天使) | 高(完全透明) | 好(可摘戴) | 20000-40000 | 1-2个月/次 | 美观要求高、时间灵活(如需参加实习、面试),牙齿轻度至中度问题的学生 |
| 舌侧矫正 | 极高(粘在牙齿内侧) | 较差(异物感强) | 35000-60000 | 1个月/次 | 对美观极致追求,且预算充足的学生(如艺术、表演专业) |
选择建议:若牙齿问题简单(如轻微拥挤、牙缝大),且预算充足,隐形矫正是首选,因其可自行摘戴,不影响进食和口腔清洁,复诊间隔较长(部分可达2-3个月),适合学业繁忙的学生;若预算有限但牙齿复杂,传统金属矫正性价比最高;陶瓷半隐形则介于两者之间,适合对美观有一定要求但预算有限的学生,舌侧矫正因价格高、舒适度差,仅推荐少数特殊需求学生。
日照大学城矫正全流程:从初诊到保持的注意事项
牙齿矫正是一个长期过程,了解每个阶段的重点,有助于学生更好地配合治疗,确保效果。

初诊检查:明确牙齿问题与矫正方案
初诊时,医生会进行口腔检查(包括牙齿龋坏、牙周健康状况)、拍摄X光片(全景片、头颅侧位片)、取模(传统藻酸盐取模或口扫数字化取模),综合评估牙齿、颌骨、面型关系,制定矫正方案,学生需主动沟通自身需求(如“希望改善侧脸轮廓”“不希望影响拍照”),医生会结合医学可行性调整方案。注意:若存在牙周炎、牙结石等问题,需先进行牙周治疗,待口腔健康后再开始矫正。
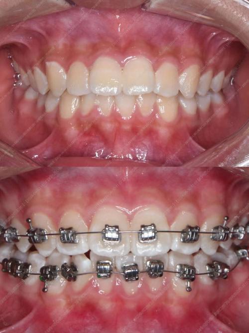
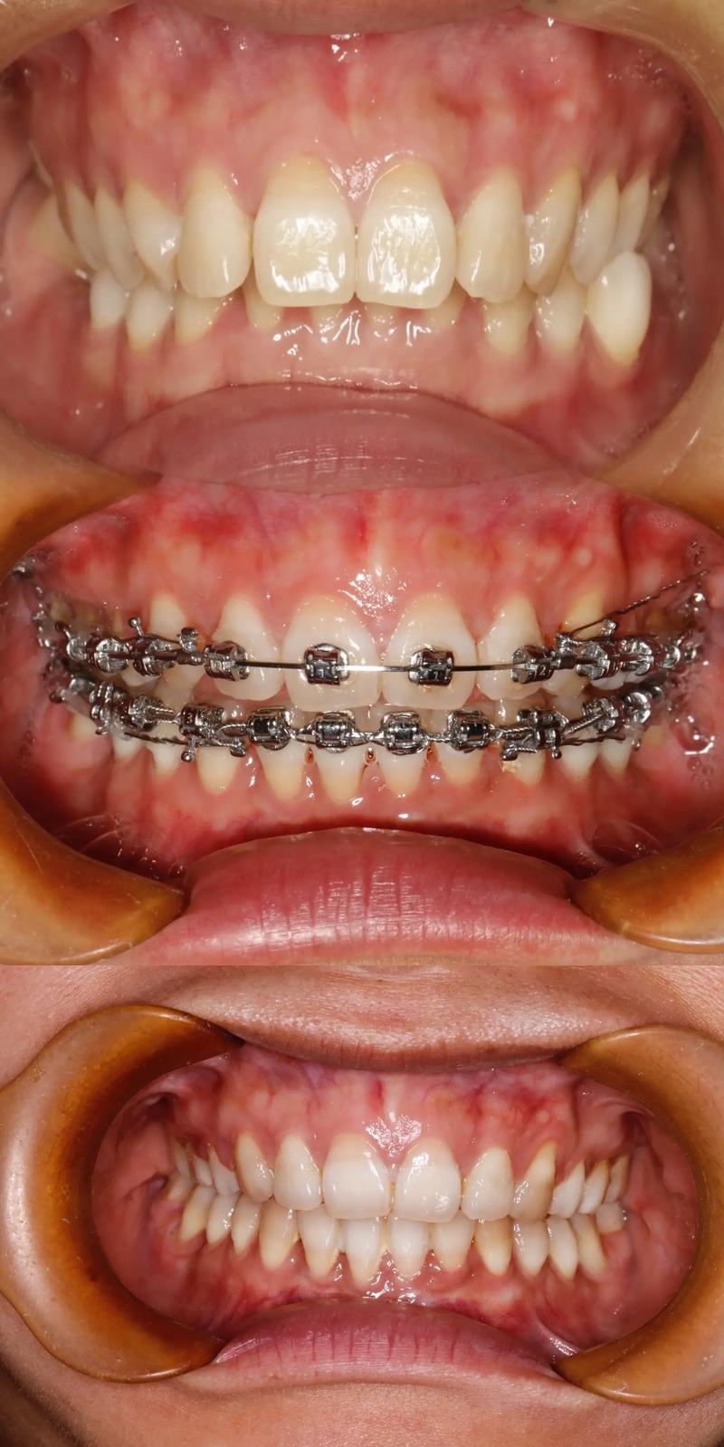
矫治器佩戴:适应与调整的关键期
方案确定后,即可佩戴矫治器,传统矫正需“粘托槽”,过程约1-2小时,初戴1-2周内可能出现口腔溃疡、牙齿酸痛(可吃软食、使用正畸蜡缓解);隐形矫正需“取牙套”,医生会指导佩戴方式及摘戴技巧,初期可能说话不顺畅,通常1周内适应。提醒:佩戴后需严格按照医嘱使用(如隐形矫正每天需戴20小时以上),避免自行调整托槽或牙套。
复诊调整:矫正效果的“保障线”
复诊是调整矫治力度、引导牙齿移动的重要环节,传统矫正需更换弓丝、调整托槽位置;隐形矫正需更换下一副牙套,复诊间隔通常1-2个月,大学城学生建议优先选择周末或下午的复诊时段,部分机构提供“预约制”,可减少排队时间,若复诊间隔过长,牙齿可能移动停滞,延长矫正周期。
保持阶段:防止复发的“最后一步”
拆除矫治器后,需立即佩戴保持器(活动保持器或固定保持器)。前6个月需全天佩戴(吃饭、刷牙时摘下),之后逐渐过渡到夜间佩戴,持续1-3年,牙齿矫正后,牙齿位置尚未稳定,若不戴保持器,极易复发(如牙齿拥挤反弹),学生需妥善保管保持器,避免丢失或损坏(隐形保持器可多备一副)。

费用与支付:学生群体的“省钱攻略”
牙齿矫正费用是学生最关心的问题之一,日照大学城矫正费用因方式、机构不同差异较大,传统金属矫正约8000-15000元,隐形矫正20000-40000元。省钱技巧:
- 选择学生套餐:部分机构针对大学生推出“学生季折扣”,或与学校合作提供优惠(如凭学生证减免10%-20%);
- 分期付款:连锁机构支持免息分期(如12期免息),减轻一次性支付压力;
- 避开高峰期:寒暑假是矫正旺季,价格可能上浮,可选择学期初或末就诊;
- 医保与商业保险:矫正本身通常不可用医保,但拔牙、补牙等前期治疗可走医保;部分商业保险(如平安、太平洋的齿科险)可报销部分矫正费用,需提前确认。
注意:避免因贪图低价选择无资质机构,或使用劣质材料(如非正规品牌的隐形牙套),可能导致矫正失败、牙齿损伤,反而增加后续治疗成本。
矫正期间的日常护理:避免“白折腾”
矫正期间,口腔卫生与饮食管理直接影响矫正效果和舒适度。
- 口腔卫生:佩戴托槽或牙套后,食物易嵌塞,需使用“巴氏刷牙法”(刷毛与牙齿呈45度,小幅度震颤),配合牙线、冲牙器清洁牙缝;隐形矫正需每餐后刷牙,避免食物残渣留在牙套内滋生细菌。
- 饮食禁忌:传统矫正需避免硬物(坚果、骨头)、粘物(口香糖、年糕),防止托槽脱落;隐形矫正虽可摘戴,但仍需避免喝碳酸饮料(易腐蚀牙套、导致牙齿脱矿),吃色素重食物(如咖啡、酱油)后及时漱口。
- 不适处理:初戴牙齿酸痛可服用布洛芬(遵医嘱);托槽脱落或钢丝扎嘴,可用正畸蜡暂缓,并及时联系医生处理;若出现牙龈出血、肿痛,可能是牙周炎,需立即就诊。
相关问答FAQs
Q1:在大学城矫正牙齿,如果期间寒暑假回家,复诊怎么办?
A:若假期时间较长(如1-2个月),可提前与医生沟通,安排假期复诊:①选择支持“异地复诊”的连锁机构(如隐适美医生可通过远程监控调整方案);②若机构无异地服务,可提前取够2-3副隐形牙套(适用于隐形矫正),或要求医生调整弓丝、延长复诊间隔(传统矫正);③若假期较短(1周内),可暂不复诊,但需注意口腔卫生,避免托槽脱落,返程后尽快复诊。
Q2:隐形矫正摘戴麻烦吗?会影响上课或参加社团活动吗?
A:初期佩戴隐形矫正器时,摘戴可能需要1-3分钟适应,熟练后30秒内即可完成,摘戴时需注意力度,避免指甲刮伤牙套,上课或参加活动时,牙套完全透明,不会影响外观;说话初期可能有轻微“大舌头”,通常1周内适应,饮食时可摘下牙套,正常进食后刷牙再戴回,不影响正常生活,社团活动(如辩论、演讲)无需担心牙套脱落,因其紧密贴合牙齿,稳定性较好。
