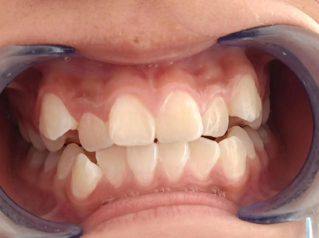
牙齿矫正过程中,“牙齿不贴合”是不少患者可能会遇到的问题,通常指牙齿与矫正装置(如托槽、弓丝、牙套等)之间出现异常接触,或牙齿在移动过程中未能按预期轨迹排列,导致矫正效果偏离目标,这种不贴合可能表现为托槽脱落、弓丝与牙齿间隙过大、牙齿扭转或倾斜角度偏差、咬合关系紊乱等,不仅影响矫正进程,还可能引发口腔健康问题。
牙齿不贴合的常见原因分析
牙齿矫正是一个动态的生物改建过程,涉及牙齿、牙槽骨、颌骨及矫正装置的复杂互动,不贴合现象的出现,往往是多因素共同作用的结果,具体可从医生、患者、材料及矫正进程四个维度展开:

医生因素:方案设计与操作精度
医生的专业水平是决定矫正效果的核心,若矫正方案设计不合理,如未充分考虑患者的骨骼形态、牙齿原始位置、咬合功能需求,可能导致牙齿移动路径设计偏差;或操作过程中托槽粘接位置误差、弓丝弯制不规范(如转矩、角度不足),都会使牙齿无法按预期移动,出现“不贴合”,上颌前牙需要内收时,若弓丝的转矩角度不足,牙齿可能会发生唇倾而非直立,与牙套内壁产生间隙。
患者因素:配合度与口腔习惯
患者的日常行为直接影响矫正装置的稳定性,咬硬物(如坚果、螃蟹壳)、用牙齿开瓶盖、咬笔等不良习惯,易导致托槽脱落或弓丝变形;口腔卫生不佳引发牙龈炎、牙周炎,可能导致牙槽骨吸收,牙齿移动异常;未按时佩戴矫治器(如隐形矫正中未按22小时/天要求佩戴),或自行调整矫治器,也会造成牙齿移动滞后,与牙套不贴合。
材料因素:装置性能与适配度
矫正装置本身的性能问题也可能导致不贴合,传统托槽的粘接剂强度不足,可能在咀嚼中脱落;隐形牙套的材料弹性不足或厚度不均,无法持续施加合适的矫治力;弓丝材质选择不当(如过细的弓丝无法提供足够的支抗力),或弓丝发生疲劳变形,都会影响牙齿移动的精准度。
矫正进程因素:个体差异与动态变化
牙齿移动存在个体差异,部分患者牙槽骨改建速度较慢,或牙齿移动过程中遇到阻力(如邻牙阻挡、骨皮质厚度不均),可能导致实际移动速度滞后于预期;矫正中后期需精细调整(如咬合、边缘嵴的修整),若阶段目标未达成,后续牙齿易出现位置偏差,与矫正装置不贴合。

牙齿不贴合的具体表现与潜在影响
牙齿不贴合的表现多样,需结合矫正类型判断:传统矫正中可见托槽与牙齿表面间隙、弓丝在托槽内滑动异常;隐形矫正则表现为牙套与牙齿间存在明显空隙、牙齿未被完全包裹或扭转未被纠正,其潜在影响主要包括:
- 延长矫正时间:牙齿需重新调整移动路径,导致治疗周期延长3-6个月不等;
- 降低矫正效果:若未及时处理,可能遗留牙齿倾斜、咬合创伤、中线偏移等问题;
- 增加口腔风险:托槽脱落易划伤口腔黏膜,弓丝末端刺激可能引发溃疡;食物嵌塞于牙齿与装置间隙,易诱发龋齿、牙周炎;
- 影响心理健康:牙齿排列异常可能降低患者信心,产生焦虑情绪。
牙齿不贴合的解决与预防策略
针对牙齿不贴合问题,需根据原因采取针对性措施,核心是“医生精准操作+患者积极配合”。
医生端:精准诊断与动态调整
- 优化方案设计:矫正前通过CBCT、口扫、模型分析等数据,结合患者骨骼、肌肉、咬合功能制定个性化方案,避免“一刀切”;
- 精细化操作:托槽粘接时使用数字化定位技术(如导航模板),确保位置精准;弓丝弯制需符合牙齿移动力学,必要时使用镍钛丝、澳丝等不同材质弓丝分阶段调整;
- 及时复诊调整:患者需每4-6周复诊,医生通过检查牙齿移动情况、弓丝变形程度,及时更换弓丝、调整托槽位置,纠正偏差。
患者端:严格配合与日常护理
- 避免不良习惯:矫正期间禁咬硬物、用牙开瓶,选择软食(如粥、面条),避免啃苹果、排骨等需直接啃咬的食物;
- 保持口腔卫生:使用正畸专用牙刷、牙缝刷、冲牙器,每日刷牙3次以上,清除托槽周围食物残渣,预防牙龈炎;
- 规范佩戴装置:隐形矫正需严格按医嘱佩戴,避免摘戴时用力拉扯;传统矫正若托槽脱落,需保存脱落部件并尽快复诊,切勿自行粘接。
材料与技术升级
选择质量可靠的矫正装置,如采用3D打印技术的隐形牙套可提升贴合度;粘接剂使用高强度树脂,降低托槽脱落率;对于复杂病例,可结合微种植体支抗,增强牙齿移动控制力。
牙齿不贴合的原因与解决方向对照表
| 原因类别 | 具体表现 | 解决方向 |
|---|---|---|
| 医生方案设计偏差 | 牙齿移动路径错误、咬合关系紊乱 | 数字化方案设计、个性化弓丝弯制 |
| 患者不良习惯 | 托槽频繁脱落、弓丝变形 | 纠正咬物习惯、选择软食、避免外力撞击 |
| 材料性能不足 | 隐形牙套弹性差、托槽粘接不牢 | 选用高弹性材料、高强度粘接剂 |
| 牙齿移动个体差异 | 移动速度滞后、骨改建缓慢 | 延长复诊间隔、调整矫治力大小 |
相关问答FAQs
Q1:矫正期间牙齿不贴合一定会影响最终效果吗?
A:不一定,轻微的不贴合(如隐形牙套与牙齿间存在0.5mm以内间隙)可能是牙齿移动过程中的正常现象,通过后续佩戴下一副牙套或医生调整可纠正,但若出现托槽脱落频繁、牙齿明显扭转、咬合紊乱等情况,需及时复诊处理,否则可能影响最终效果,建议患者定期拍摄口内照片或X光片,与医生沟通牙齿移动状态。
Q2:托槽频繁脱落是不是医生技术不好?
A:不一定,托槽脱落可能与多方面因素有关:患者若咬硬物、刷牙用力过猛,可能导致托槽脱落;牙齿形态异常(如牙冠过短、表面不平整)也会影响粘接强度;粘接剂调拌比例不当、口腔环境潮湿(如唾液分泌过多)等操作因素也可能导致脱落,若脱落频率超过每月1次,建议与医生沟通,排查原因并调整粘接方案,如使用含氟粘接剂增强粘接力,或指导患者改进刷牙方式。
牙齿矫正中“牙齿不贴合”是可控可解决的问题,关键在于医患双方的紧密配合,医生需凭借专业技术与经验精准把控矫正进程,患者则需严格遵循医嘱,做好日常护理,共同确保牙齿最终排列整齐、功能协调。
