在牙齿矫正领域,哈尔滨凭借其专业的医疗资源、先进的技术水平和人性化的服务体验,成为不少求美者的优选之地,这里不仅有经验丰富的正畸团队,还能根据不同需求提供多样化的矫正方案,兼顾效果与舒适度。
专业医疗资源汇聚,技术实力领先
哈尔滨的正畸医疗资源主要集中在公立三甲医院与连锁口腔机构,哈尔滨医科大学附属第一医院口腔科、黑龙江省医院口腔科等公立医院,拥有数十年历史的正畸团队,医生多为硕士及以上学历,擅长处理复杂错颌畸形,如骨性龅牙、地包天等,且收费标准透明,适合追求性价比的人群,而瑞尔齿科、美奥口腔等连锁机构,则引入了数字化矫正技术,如3D口扫、CBCT影像分析等,能精准模拟牙齿移动路径,提升矫正效率与舒适度,更注重个性化服务与美学设计,受到年轻群体的青睐。

个性化矫正方案,满足多元需求
牙齿矫正并非“千人一方”,哈尔滨的机构会根据患者的年龄、牙齿畸形程度、美观需求及预算,制定专属方案,目前主流的矫正方式包括:
- 传统金属托槽:性价比最高,矫正力度强,适合青少年及复杂病例,但美观度较低;
- 陶瓷托槽:托槽颜色接近牙齿,兼顾美观与强度,适合对美观有一定要求的成人;
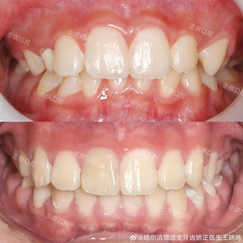
- 隐形矫正:如时代天使、隐适美等,可摘戴、美观舒适,适合职场人士及对美观需求高的人群,但价格较高;
- 舌侧矫正:完全隐藏在牙齿内侧,隐形效果最佳,但对医生技术要求极高,价格也最昂贵。
不同方式各有优势,患者可通过初诊检查,与医生充分沟通后选择最适合的方案。
数字化技术加持,矫正体验升级
近年来,哈尔滨多家机构引入了数字化矫正流程,从初诊到结束全程高效便捷,初诊时,通过口扫仪可快速获取牙齿数据,10分钟内生成3D模型,避免传统取模的恶心感;医生结合CBCT影像分析牙槽骨状况,制定可视化矫正方案,患者可提前看到矫正后的效果;矫正过程中,通过数字化监控牙齿移动进度,及时调整方案,缩短复诊时间(部分隐形矫正可3-6个月复诊一次),部分机构还提供术后维护服务,如保持器定制、定期复查等,确保矫正效果稳定。
选择机构与注意事项
选择正畸机构时,需重点关注医生资质(是否为正畸专科医生、从业年限、案例数量)、设备是否先进(是否有数字化口扫、3D打印技术)、服务流程是否规范(初诊沟通是否详细、复诊是否便捷)及患者口碑(可通过第三方平台查看评价),矫正期间,需注意口腔卫生,使用正畸牙刷、牙线清洁,避免啃硬物导致托槽脱落;同时严格遵循医嘱复诊,确保牙齿按计划移动。

相关问答FAQs
Q1:哈尔滨矫正牙齿一般需要多少钱?
A:费用因矫正方式、医院等级、病例复杂度而异,传统金属托槽约1.5万-3万元,陶瓷托槽约2万-3.5万元,隐形矫正(如时代天使)约3万-5万元,舌侧矫正约5万-8万元,公立医院价格相对透明,连锁机构可能有活动优惠,建议面诊后结合方案确定具体费用。
Q2:成年人矫正牙齿会不会很困难?
A:成年人矫正牙齿在生理上完全可行,但需注意:骨性畸形可能需联合正颌手术;矫正前需确保牙周健康(如有牙周病需先治疗);矫正周期可能比青少年略长(平均1.5-3年),但只要口腔条件允许、配合医生治疗,同样能取得理想效果,且成年人自律性更强,矫正效果往往更稳定。

