35岁还可以矫正牙齿,这是一个越来越多人关注的话题,过去,人们常认为矫正牙齿是青少年的“专利”,但随着口腔医学的发展和人们对生活品质要求的提高,成年人正畸已成为常态,35岁不仅不是矫正的“终点”,反而可能是追求更健康、更自信笑容的“新起点”,从医学角度看,牙齿矫正的核心基础是牙槽骨的改建能力,而这种能力在成年后依然存在,只是相较于青少年可能需要更细致的评估和更个性化的方案。
35岁矫正牙齿的可行性:年龄不是绝对障碍
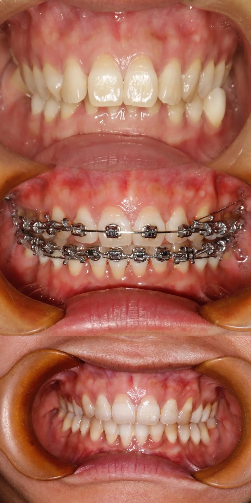
牙齿矫正的原理是通过施加持续、轻柔的力量,引导牙齿在牙槽骨中缓慢移动,最终排列到理想位置,这一过程依赖的是牙槽骨的“吸收与再生”能力——当牙齿受到压力时,受压侧的牙槽骨会逐渐吸收,受牵拉侧则会增生,从而为牙齿移动提供空间,研究表明,牙槽骨的改建能力会持续终身,只是成年后骨代谢速度较青少年略慢,牙齿移动速度可能稍缓,但这并不意味着无法矫正,相反,成年人的配合度高、自我管理能力强,只要口腔条件允许,矫正效果往往更稳定。

35岁矫正前需进行更全面的口腔检查,与青少年不同,成年人可能存在牙周炎、牙根吸收、牙齿磨损、缺失牙或修复体(如烤瓷牙、种植牙)等问题,这些因素会影响矫正方案的设计,若有未控制的牙周炎,需先进行牙周治疗,待炎症稳定后再开始正畸;若有牙根吸收,需调整移动力度以避免进一步加重,选择有丰富成人正畸经验的医生,制定个性化的“风险评估-方案设计-进度监控”流程,是35岁矫正成功的关键。
35岁矫正牙齿的独特优势:超越美观的健康投资
相较于青少年,35岁人群矫正牙齿往往有更明确的目标和更强的动力,这也让矫正过程更具“性价比”,从健康角度看,35岁后牙齿问题更易显现:拥挤的牙齿难以清洁,易堆积牙菌斑,导致龋齿、牙周炎;咬合异常(如深覆合、深覆盖)会增加颞下颌关节负担,引发关节疼痛、弹响;错位牙还可能影响咀嚼功能,增加胃肠道负担,矫正牙齿不仅能排列整齐,更能解决这些潜在健康风险,是一笔“长期健康投资”。
从心理需求看,35岁处于职场上升期和社交活跃期,整齐的牙齿能提升自信,改善个人形象,许多成年人因牙齿问题不敢大笑、不乐于公开演讲,矫正后这种心理上的“解放”往往比单纯的牙齿改变更让人惊喜,成年人的经济独立性更强,有能力选择更舒适、更美观的矫正方式(如隐形矫正、舌侧矫正),不必像青少年那样受限于传统托槽的美观顾虑。
35岁矫正的挑战与应对:科学方案规避风险
虽然35岁矫正可行,但也需正视其与青少年矫正的差异,提前做好应对准备,最大的挑战在于“时间成本”——成年人工作繁忙,可能难以频繁复诊(传统矫正通常4-6周复诊一次),且矫正周期可能比青少年长6-12个月(平均1.5-3年),对此,可选择“自锁托槽矫正”,其摩擦力更小,牙齿移动效率更高,可延长复诊间隔至8-10周;或“隐形矫正”,通过远程监控减少复诊次数,适合经常出差的人群。

另一挑战是“口腔条件复杂性”,成年人牙齿可能存在磨耗、缺损,矫正中需保护牙釉质;若有缺失牙,可能需结合种植修复或正畸关闭间隙;若有牙周问题,需在矫正期间加强牙周维护(如定期洁牙、刮治),成年人对疼痛更敏感,初期矫正可能出现牙齿酸痛、口腔溃疡,可通过使用正畸保护蜡、调整饮食(避免过硬食物)缓解,必要时在医生指导下使用止痛药。
不同矫正方式的适用性:根据需求选择
35岁人群对矫正的舒适度、美观度要求更高,以下是目前主流的矫正方式及其特点,可通过表格对比选择:
| 矫正方式 | 美观度 | 舒适度 | 价格范围(万元) | 矫正周期 | 适用人群 |
|---|---|---|---|---|---|
| 传统金属托槽 | 低 | 中 | 5-3 | 5-3年 | 预算有限、牙齿复杂错乱者 |
| 陶瓷托槽 | 中 | 中 | 2-4 | 5-3年 | 注重美观、预算中等者 |
| 隐形矫正(如隐适美) | 高 | 高 | 3-8 | 1-2.5年 | 职场人士、社交频繁、依从性好者 |
| 舌侧矫正 | 极高 | 低 | 5-10 | 2-3年 | 对美观要求极高、经济条件优越者 |
经常需要见客户的职场人士,可优先考虑隐形矫正,其透明牙套几乎隐形,可自行摘戴,不影响饮食和清洁;若牙齿错乱复杂(如需要拔牙、种植),传统托槽或舌侧矫正能提供更精准的控制。
矫正后的“终身维护”:保持器的重要性
牙齿矫正结束后,并非一劳永逸,由于牙齿周围的组织(如牙龈、牙周膜)需要时间重新稳定,且成年后牙槽骨的改建能力减弱,牙齿存在“复发”倾向(如回到原位、拥挤复发),佩戴“保持器”是矫正成功的“最后一道防线”,且需终身佩戴。

初期(矫正后6-12个月)需全天佩戴(除进食、刷牙外),之后可逐渐过渡到夜间佩戴,保持器有“哈雷保持器”(金属丝+树脂基托)和“透明保持器”(类似隐形牙套)两种,前者耐用性强,后者美观度高,需根据医生建议选择,即使佩戴保持器,也需每年进行口腔检查,监控牙齿稳定性。
相关问答FAQs
Q1:35岁矫正牙齿会比年轻人慢吗?会影响工作吗?
A:矫正速度主要取决于牙槽骨状况、牙齿移动距离和矫正方式,而非年龄本身,成年人骨密度较高,牙齿移动速度可能比青少年慢10%-20%,但可通过选择高效矫正方式(如自锁托槽、隐形矫正)缩短周期,初期1-2周可能出现牙齿酸痛、咀嚼无力,属正常现象,可调整为软食,通常1周后缓解;若选择隐形矫正,几乎不影响正常工作和社交,是成年人的优选。
Q2:矫正期间能正常刷牙吗?会不会清洁不到位?
A:矫正期间口腔清洁更重要!传统托槽周围易存留食物残渣,需使用“正畸牙刷”(小头、刷毛柔软)、牙线穿行器、冲牙器联合清洁:每天早晚刷牙,每次不少于3分钟,牙线清洁托槽邻面,冲牙器冲洗牙缝,若清洁不到位,易导致牙菌斑堆积、牙龈炎,表现为牙龈红肿、出血,建议每3个月做一次牙周检查,确保口腔健康,为矫正提供良好环境。
