牙齿矫正在现代社会不仅是改善美观的重要方式,更是维护口腔健康的关键步骤,而珠海口腔医院作为区域内口腔医疗的标杆机构,在牙齿矫正领域凭借专业的技术团队、先进的设备设施和个性化的治疗方案,为众多患者带来了健康的牙齿与自信的笑容,牙齿矫正并非简单的“排齐牙齿”,它涉及咬合功能、牙周健康、面部美学等多方面综合考量,珠海口腔医院始终以“精准、舒适、长效”为核心理念,为不同年龄段的患者提供科学矫正服务。
在珠海口腔医院,牙齿矫正的第一步是全面的口腔检查与数据采集,医生会通过口腔CT、数字化口扫、X光片等设备,精确获取患者的牙齿排列、牙根形态、颌骨关系及面部软组织状况,这些数据是制定个性化方案的基础,对于青少年患者,医生会重点关注颌骨发育情况,结合生长潜力判断是否需要早期干预;而对于成人患者,则需考虑牙周健康、颞下颌关节功能等因素,确保矫正过程安全且效果稳定,医院还配备了数字化模拟系统,可在治疗前直观展示矫正后的效果,让患者对治疗预期有清晰认知。

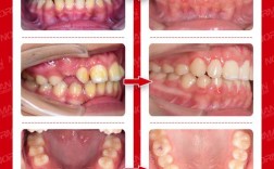
矫正方案的制定是珠海口腔医院的特色环节,医生会根据患者的具体情况,从传统矫正、半隐形矫正到隐形矫正等多种技术中选择最适合的方式,传统金属托槽矫正因其性价比高、适用范围广,仍是复杂错颌畸形的首选;陶瓷托槽托槽与牙齿颜色相近,兼顾美观与强度,受到许多成年患者的青睐;而隐形矫正则通过可摘戴的透明牙套实现,不影响正常社交,且方便清洁,特别对职场人士和学生群体友好,以下为不同矫正技术的对比:
| 矫正类型 | 优点 | 缺点 | 适用人群 |
|---|---|---|---|
| 金属托槽矫正 | 性价比高,适用范围广,矫正力度强 | 美观性较差,易刮伤口腔黏膜 | 复杂错颌畸形,青少年患者 |
| 陶瓷托槽矫正 | 美观性好,强度较高 | 价格稍高,部分患者可能染色 | 对美观有要求的成人及青少年 |
| 隐形矫正 | 隐形美观,可摘戴,舒适度高 | 价格较高,需患者高度配合 | 轻中度错颌畸形,成人患者 |
治疗过程中,珠海口腔医院注重细节把控与舒适体验,传统矫正采用自锁托槽技术,可减少复诊次数,缩短矫正周期;隐形矫正则通过3D打印技术定制牙套,每副牙套的移动数据均由计算机精确计算,确保牙齿按计划健康移动,医生会定期跟踪患者的矫正进展,根据牙齿移动情况动态调整方案,避免因牙齿移动过快导致牙根吸收或牙周损伤,医院还配备了专业的口腔护理指导,帮助患者在矫正期间保持口腔卫生,预防龋齿和牙周炎。
矫正结束后,保持器的佩戴是维持效果的关键,珠海口腔医院会为患者定制个性化保持器,并强调终身维护的重要性,建议患者定期复查,防止牙齿复发移位,对于有特殊需求的患者,如伴有颞下颌关节紊乱或面部不对称的情况,医院还会联合正畸科、颌面外科等多学科专家进行联合治疗,实现功能与美学的双重改善。
牙齿矫正是一个需要医患双方共同努力的过程,选择专业机构、信任医生方案、积极配合治疗,才能达到理想效果,珠海口腔医院始终以患者为中心,用技术守护口腔健康,用服务传递温暖关怀,让更多人拥有整齐健康的牙齿,绽放自信笑容。

相关问答FAQs
Q1:牙齿矫正的最佳年龄是什么时候?
A:牙齿矫正的最佳年龄因错颌类型而异,儿童在7-10岁(替牙期)可进行早期干预,纠正颌骨发育异常;青少年12-14岁(恒牙早期)是矫正的“黄金期”,此时牙齿移动快,颌骨仍有一定发育潜力,效果较好;成人矫正没有年龄限制,只要牙周健康,任何年龄都可以进行,但可能需要更长的矫正时间。
Q2:隐形矫正和传统矫正有什么区别?如何选择?
A:隐形矫正采用透明牙套,美观度高、可摘戴、舒适性好,适合轻中度错颌畸形(如牙列拥挤、牙缝大等),且需患者每日佩戴20小时以上,配合度高;传统矫正(金属/陶瓷托槽)适用范围广,可处理复杂病例(如骨性错颌、深覆合等),力度强,但美观性稍差,需注意口腔清洁,选择时应根据错颌类型、美观需求、预算及配合度,在医生建议下决定。

